Tumeur médiastinale
Une tumeur médiastinale est une tumeur, bénigne ou maligne, localisée dans le médiastin. Les tumeurs médiastinales sont d'origines très diverses, et on les caractérise en premier lieu par leur localisation dans le médiastin (médiastin antérieur, médiastin moyen, ou médiastin postérieur). Le syndrome médiastinal est l'aspect radiologique d'une tumeur médiastinale à la radiographie thoracique.
Rappels anatomiques
Le médiastin est la région de la cage thoracique située entre les deux poumons contenant le cœur, l'œsophage, la trachée et les deux bronches souches. De gros vaisseaux sanguins et lymphatiques, ainsi que des nerfs, y passent également.
Il est habituellement divisé, par convention, en trois compartiments d'avant en arrière[1], qui contiennent les éléments suivants[2],[3] :
- médiastin antérieur : thymus et ganglions lymphatiques ;
- médiastin moyen : cœur, péricarde, aorte ascendante, veines brachocéphaliques, trachée et ganglions lymphatiques ;
- médiastin postérieur : œsophage, veine azygos, ganglions nerveux sympathiques, ganglions lymphatiques et aorte descendante.
On divise également la région en médiastin supérieur et médiastin inférieur[4].
D'autres classifications ont été développées pour un usage radiologique, en compartiment pré-vasculaire, viscéral et paravertébral[1].
L'exploration globale du médiastin se fait principalement grâce au scanner et à l'imagerie par résonance magnétique.
Les tumeurs médiastinales sont principalement localisées dans le médiastin antérieur (54 %). Le médiastin postérieur contient 26 % des tumeurs médiastinales, et le médiastin moyen 20 %[5].
Différents types de tumeurs selon la localisation
Médiastin antérieur

Les masses médiastinales antérieures recouvrent une grande variété de diagnostics, et sont d'approche parfois complexe[6]. Les tumeurs primitives du médiastin antérieur comprennent principalement[7] les thymomes (30 %), les lymphomes (20 %) et les tumeurs germinales (18 %). Les tumeurs secondaires sont plus fréquentes que les tumeurs primitives et sont généralement des métastases ganglionnaires de cancer du poumon, de cancer de l'œsophage ou de cancer du testicule[5]. D'autres séries[6] retrouvent 35 % de thymomes, 25 % de lymphomes (13 % de maladie de Hodgkin et 12 % de lymphome non hodgkinien), 15 % de tumeurs thyroïdiennes ou endocrines, 10 % de tumeurs germinales (4 % de séminomes et 6 % de tumeurs germinales non séminomateuses) et 5 % de lésions thymiques bénignes. Différents profils de patients peuvent être établis selon l'âge et le sexe, influant la probabilité de chaque maladie[6]. Enfin, il existe des tumeurs rares du médiastin antérieur, totalisant moins de 2 % des tumeurs[8], en particulier le lipome et le liposarcome du médiastin.
Les thymomes, ou tumeurs épithéliales thymiques, sont des tumeurs solides développées aux dépens du thymus, un organe intrathoracique du système immunitaire. Les thymomes atteignent plutôt l'adulte. Il en existe plusieurs sortes, et ils sont généralement asymptomatiques, mais peuvent être associées dans certains cas à des maladies systémiques comme la myasthénie (une maladie auto-immune caractérisée par une faiblesse musculaire) ou le syndrome de Good (une défaillance du système immunitaire). Le diagnostic s'effectue habituellement par analyse radiologique ; le traitement appliqué est en premier lieu chirurgical. Malgré le caractère a priori bénin des thymomes, ils ont un potentiel d'invasivité locale non nul, ce qui incite à les prendre en charge comme des cancers. Le pronostic des thymomes varie selon le type et le stade de la tumeur, mais demeure globalement bon. La plupart des thymomes sont en effet diagnostiqués à un stade précoce, accessible à un traitement curatif de manière souvent définitive.
Les lymphomes sont des cancers du système lymphatique, qui se développent aux dépens des lymphocytes. Ils sont caractérisés par des proliférations cellulaires malignes dans les organes lymphoïdes secondaires, ici les chaînes ganglionnaires du médiastin. Les lymphomes sont souvent révélés par la découverte d'une adénopathie.
Les tumeurs germinales sont des cancers développés à partir des cellules des lignées ovariennes et testiculaires ; la localisation médiastinale est rare et concerne 1 à 3 % des tumeurs germinales[9]. Il en existe plusieurs grands types : tératome mature, séminome et tumeur germinale non séminomateuse. Les marqueurs tumoraux (alphafœtoprotéine et βHCG), très spécifiques, ne sont pas élevés dans toutes les tumeurs germinales du médiastin. Les hommes jeunes sont les plus touchés par les tumeurs germinales du médiastin.
Médiastin moyen
Les tumeurs du médiastin moyen comprennent principalement[7] les kystes bronchogéniques et les lymphomes.
Les kystes bronchogéniques sont des malformations apparaissant pendant la formation de l'arbre bronchique, à partir de bourgeons bronchiques autonomes. Ils sont tapissés à l'intérieur d'un épithélium respiratoire et remplis de mucus[10]. Ils sont souvent asymptomatiques[11]. En cas de compression de l'arbre bronchique, une toux et un essoufflement peuvent être présents, mais ils peuvent aussi être découverts lors d'une infection (par contamination depuis l'arbre bronchique) ou d'un épisode de saignement.
Médiastin postérieur
Les tumeurs du médiastin postérieur comprennent principalement[7] les tumeurs nerveuses (les plus fréquentes des tumeurs du médiastin postérieur[12]), les kystes para-œsophagiens, les duplications œsophagiennes et les méningocèles.
Les tumeurs nerveuses représentent 20 % des tumeurs médiastinales chez l'adulte et 35 % chez l'enfant, et comprennent les schwannomes (50 %), les neurofibromes (20 %) et les tumeurs malignes de la gaine d'un nerf périphérique[13]. Elles sont principalement développées aux dépens[13] des nerfs intercostaux ou d'un nerf spinal, et beaucoup plus rarement à partir du nerf phrénique, du nerf vague ou du nerf laryngé récurrent. Les tumeurs des nerfs périphériques peuvent être liées à une neurofibromatose.
Signes cliniques
La plupart des tumeurs médiastinales sont peu voire pas symptomatiques[4],[14]. Les signes cliniques apparaissent en cas d'envahissement ou de compression des organes adjacents.
Les tumeurs du médiastin antérieur sont symptomatiques dans 70 % des cas, toutes causes confondues[4], en particulier les lymphomes, en raison de l'altération de l'état général souvent associée. Dans 10 à 15 % des cas, des adénopathies extra-thoraciques accompagnent les lymphomes médiastinaux. Toute tumeur du médiastin antérieur est susceptible de causer une toux chronique, par contact avec la trachée et les bronches souches, ainsi qu'une sensation de pesanteur ou d'oppression thoracique. Le syndrome cave supérieur apparaît lorsque la tumeur comprime la veine cave supérieure. Les tumeurs du médiastin antérieur peuvent entraîner une dysphonie (modification de la voix) en cas d'atteinte du nerf laryngé récurrent ou une paralysie phrénique en cas d'atteinte du nerf phrénique[14].
En revanche, les tumeurs du médiastin moyen et postérieur sont peu symptomatiques[4]. Les kystes bronchogéniques et péricardiques, notamment, sont souvent de petite taille. Toutefois, en cas d'infection, le kyste peut devenir symptomatique et, en cas de grande taille et de compression de l'œsophage, une dysphagie peut apparaître. Les tumeurs les plus postérieures peuvent causer un syndrome de Claude Bernard-Horner si les nerfs sympathiques sont touchés, voire un déficit sensitivomoteur avec le plexus brachial[14].
Imagerie
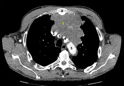
L'imagerie la plus fréquemment réalisée[8] est la tomodensitométrie, qui peut être complétée par une IRM, qui permet de mieux caractériser certaines tumeurs kystiques. Enfin, le TEP scanner est surtout utilisé dans le bilan d'extension et le suivi des lymphomes.
Radiographie pulmonaire
La radiographie de face montre le plus souvent un élargissement du médiastin, appelé « syndrome médiastinal »[15]. En cas de tumeur de petite taille, la radiographie peut être normale, surtout pour les tumeurs du médiastin postérieur. La tumeur se traduit par une opacité, souvent homogène, convexe vers le poumon et se confondant avec le médiastin du côté médial.
La localisation exacte de la tumeur est parfois difficile à préciser, et plusieurs signes radiologiques doivent être recherchés[15], notamment le signe de la silhouette, positif pour les tumeurs médiastinales antérieures[5]. En présence d'une tumeur du médiastin antérieur, la ligne médiastinale antérieure (correspondant à l'espace de contact entre l'avant des deux poumons) est élargie, mais c'est un signe inconstant, la ligne n'étant visualisée que chez 20 % des patients sains[8].
Tomodensitométrie
Le scanner permet de localiser la tumeur dans le médiastin et d'évaluer son extension locale[5]. L'analyse des caractéristiques de la tumeur[8] (taille, tumeur bien limitée ou non, contenu solide, kystique ou graisseux) et la présence de signes associés (nodules pulmonaires, épanchement pleural, syndrome cave supérieur) permet d'orienter le diagnostic. Certaines tumeurs peuvent être identifiées avec précision sur la combinaison du scanner et de l'examen clinique[8] : goître thyroïdien ectopique, thymome, tératome ou kyste bronchogénique ou péricardique. Pour d'autres, une biopsie est nécessaire à l'affirmation du diagnostic[8].
Le TEP scanner caractérise l'activité des cellules tumorales et est particulièrement utile dans le diagnostic et le suivi des lymphomes et des tumeurs germinales[5],[8].
IRM
L'imagerie par résonance magnétique permet une meilleure distinction des tissus mous, notamment entre la graisse et les muscles ou les nerfs. Dans les tumeurs médiastinales, elle est particulièrement utilisée pour évaluer l'envahissement du rachis et caractériser les tumeurs nerveuses[5],[13]. Un autre apport majeur de l'IRM vis-à-vis du scanner est la différenciation entre les lésions kystiques et les lésions solides[16].
Bilan biologique
Le bilan biologique est orienté par la clinique et la radiologie. Il comprend, le plus souvent[6], un dosage de LDH (élevé dans les lymphomes), d'alpha-fœtoprotéine et de bêta-HCG (élevés dans certaines tumeurs germinales).
Traitement
Le traitement des tumeurs médiastinales doit être adapté à la nature exacte de la tumeur. Il peut être chirurgical (pour un thymome ou un kyste bronchogénique), ou relever d'une chimiothérapie (pour un lymphome par exemple) avec le cas échéant une radiothérapie associée (pour un cancer bronchique à petites cellules). En cas de symptômes gênants, ceux-ci peuvent être traités indépendamment de la cause.
Notes et références
- (en) Brett W. Carter, Noriyuki Tomiyama, Faiz Y. Bhora, Melissa L. Rosado de Christenson, Jun Nakajima, Phillip M. Boiselle, Frank C. Detterbeck et Edith M. Marom, « A Modern Definition of Mediastinal Compartments », Journal of Thoracic Oncology, Elsevier BV, vol. 9, no 9, , S97-S101 (ISSN 1556-0864, DOI 10.1097/jto.0000000000000292, lire en ligne).
- (en) Beau V. Duwe, Daniel H. Sterman et Ali I. Musani, « Tumors of the Mediastinum », Chest, Elsevier BV, vol. 128, no 4, , p. 2893-2909 (ISSN 0012-3692, DOI 10.1378/chest.128.4.2893, lire en ligne).
- A. Leguerrier, Nouveaux dossiers d'anatomie : Thorax, Thoiry, Heures de France, , 250 p. (ISBN 2-85385-122-2, BNF 35713496, lire en ligne)
- (en) Russell S. Ronson, Ignacio Duarte et Joseph I. Miller, « Embryology and surgical anatomy of the mediastinum with clinical implications », Surgical Clinics of North America, Elsevier BV, vol. 80, no 1, , p. 157-169 (ISSN 0039-6109, DOI 10.1016/s0039-6109(05)70400-x, lire en ligne).
- (en) Ching Ching Ong et Lynette L.S. Teo, « Imaging of anterior mediastinal tumours », Cancer Imaging, E-MED LTD, vol. 12, no 3, , p. 506-515 (ISSN 1470-7330, DOI 10.1102/1470-7330.2012.0039, lire en ligne).
- (en) Brett W. Carter, Edith M. Marom et Frank C. Detterbeck, « Approaching the Patient with an Anterior Mediastinal Mass: A Guide for Clinicians », Journal of Thoracic Oncology, Elsevier BV, vol. 9, no 9, , S102-S109 (ISSN 1556-0864, DOI 10.1097/jto.0000000000000294, lire en ligne).
- « Tumeurs du médiastin (diagnostic) », sur Oncologik, (consulté le ).
- (en) Brett W. Carter, Meinoshin Okumura, Frank C. Detterbeck et Edith M. Marom, « Approaching the Patient with an Anterior Mediastinal Mass: A Guide for Radiologists », Journal of Thoracic Oncology, Elsevier BV, vol. 9, no 9, , S110-S118 (ISSN 1556-0864, DOI 10.1097/jto.0000000000000295, lire en ligne).
- E Lemarié, « Formes cliniques des cancers thoraciques - Tumeurs du médiastin », Revue des Maladies Respiratoires, Elsevier-Masson, vol. 23, no 5-C3, , p. 170-176 (lire en ligne).
- M. Radermecker, A. Moscato, K. Delbecque et Raymond Limet, « Les kystes bronchogeniques: observation clinique et revue de la littérature », RMLG. Revue médicale de Liège, vol. . 57, no 1, , p. 45-48 (ISSN 0370-629X, lire en ligne).
- A. Taytard, « Kyste bronchogénique », sur Respir.com, (consulté le ).
- (en) Diane C. Strollo, Melissa L. Rosado-de-Christenson et James R. Jett, « Primary Mediastinal Tumors », Chest, Elsevier BV, vol. 112, no 5, , p. 1344-1357 (ISSN 0012-3692, DOI 10.1378/chest.112.5.1344, lire en ligne).
- (en) Takahiko Nakazono, Charles S. White, Fumio Yamasaki, Ken Yamaguchi, Ryoko Egashira, Hiroyuki Irie et Sho Kudo, « MRI Findings of Mediastinal Neurogenic Tumors », American Journal of Roentgenology, American Roentgen Ray Society, vol. 197, no 4, , W643-W652 (ISSN 0361-803X, DOI 10.2214/ajr.10.6119, lire en ligne).
- A. Taytard, « Syndromes médiastinaux », sur Respir.com, (consulté le ).
- (en) « Chapitre 8 - le Syndrome Médiastinal », sur Faculté de Médecine Pierre et Marie Curie (consulté le ).
- (en) Jeanne B. Ackman, « MR Imaging of Mediastinal Masses », Magnetic Resonance Imaging Clinics of North America, Elsevier BV, vol. 23, no 2, , p. 141-164 (ISSN 1064-9689, DOI 10.1016/j.mric.2015.01.002, lire en ligne).
Voir aussi
Articles connexes
- Anatomie : médiastin ;
- Exploration : médiastinoscopie, médiastinotomie ;
- Causes les plus fréquentes : thymome, lymphome, tumeur germinale, kyste bronchogénique.
Liens externes
- « Tumeur du médiastin », sur Infopoumon.com (consulté le ).
- A. Taytard, « Syndromes médiastinaux », sur Respir.com, (consulté le ).
- Portail de la médecine