Syndrome d'achalasie-microcéphalie
Le syndrome d'achalasie-microcéphalie est une maladie génétique extrêmement rare possédant les symptômes de l'achalasie de l'œsophage, de la microcéphalie et du retard mental. Ce syndrome s'accompagne d'un grand nombre de symptômes et il aurait, par ailleurs, une grande composante héréditaire [1],[2].
| Syndrome d'achalasie-microcéphalie | ||
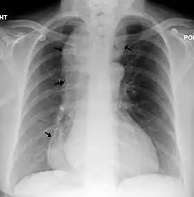
Radiographie thoracique d'un individu atteint d'achalasie. Les flèches indiquent les zones de dilatation œsophagienne extrême. | ||
| Liste des maladies génétiques à gène identifié | ||
|---|---|---|
Définition
Les principaux signes du syndrome d'achalasie-microcéphalie impliquent la manifestation des symptômes des 3 troubles associés au syndrome. La microcéphalie peut être primaire, lorsqu'il y a développement anormal du cerveau durant la grossesse, ou secondaire, lorsqu'il y a développement anormal du cerveau après la naissance[3]. Des anomalies de type retard de croissance et de développement cognitif sont aussi fréquemment détectes chez l'enfant. Le diamètre occipito-frontal est proche de l'extrémité inférieure de la courbe ou à proximité du troisième centile, ce qui indique une microcéphalie[4]. Les causes de cette microcéphalie peuvent être à la fois génétiques et comportementales[3].
L'achalasie, ou achalasie œsophagienne, est un trouble de la motricité du sphincter inférieur de l’œsophage. Celui-ci ne parvient pas à se détendre complètement, ce qui entraîne des vomissements et des régurgitations fréquentes, généralement une à deux heures après les repas[5],[4]. Si elle n'est pas traitée, la santé à long terme de l'individu sera compromise, conduisant au développement d'une dysphagie, d'une perte de poids et d'une aspiration chronique[5]. Il est très rare chez les enfants, en particulier les frères et sœurs[4]. La mortalité, en particulier chez les jeunes enfants, peut survenir[4].
Signes et symptômes

Les principaux symptômes du syndrome d'achalasie-microcéphalie sont les symptômes associés aux maladies individuelles, chez les jeunes enfants.
L'achalasie provoque une dysphagie, qui entraîne des difficultés à manger, des vomissements fréquents après les repas et un éventuel arrêt respiratoire dû à une aspiration chronique[5],[6],[7]. Les symptômes peuvent se manifester dès l'âge de six semaines[7].
En plus de la dysphagie proéminente, l'enfant présentera une microcéphalie, caractérisée par une tête anormalement petite. Une scapocéphalie légère peut également être observée[4]. Cela peut se manifester à la naissance ou après[3]. Un lent développement cognitif et moteur fin ainsi qu'un retard de la parole seront observés[4],[7]. Une dysmorphie craniofaciale, comme un nez globuleux, une micrognathie et un front aplati peut également être impliquée, mais n'est pas observée dans tous les cas[6],[7]. La camptodactylie de certains doigts peut également se manifester[8].
Épidémiologie
L'achalasie familiale seule est rare, surtout dans les cas pédiatriques[9]. Par conséquent, le syndrome d'achalasie-microcéphalie, qui a une prédisposition familiale, est un syndrome extrêmement rare.
Les cas actuels de syndrome d'achalasie-microcéphalie n'ont impliqué que des enfants dans sa pathogenèse et il n'y a que cinq cas connus et séparés en 2017. Ces cas concernent un total de neuf enfants, chaque cas se référant à des familles affectées individuelles. Tous les cas, sauf un, impliquent des parents consanguins.
Traitement
En raison de la nature des maladies individuelles, il n'existe aucun remède contre le syndrome d'achalasie-microcéphalie.
Le traitement de l'achalasie implique des médicaments et une intervention chirurgicale, comme la myotomie de Heller, dans le but de soulager la pression du sphincter. La gestion des symptômes est importante pour le maintien de la qualité de vie de l'enfant et la prévention de la progression vers des complications plus graves. Ceux-ci incluent la perforation d'organe, la pneumonie par aspiration et la mort[5],[10],[7]. De même, il n'y a pas de remède contre la microcéphalie et, à la place, une intervention précoce, comme la parole et la physiothérapie est recommandée[11] .
Les familles qui ont une prédisposition génétique à la microcéphalie peuvent impliquer un conseil génétique dans leur planification de la grossesse[12]. En 2017, 5 cas de syndrome d'achalasie microcéphalie ont été recensés, tous impliquant des enfants[7].
Références
- Gockel HR, Schumacher J, Gockel I, Lang H, Haaf T, Nöthen MM, « Achalasia: will genetic studies provide insights? », Human Genetics, vol. 128, no 4, , p. 353–64 (PMID 20700745, DOI 10.1007/s00439-010-0874-8)
- « Le syndrome d'achalasie-microcéphalie », sur www.orpha.net, (consulté le )
- Woods CG, « Human microcephaly », Current Opinion in Neurobiology, vol. 14, no 1, , p. 112–7 (PMID 15018946, DOI 10.1016/j.conb.2004.01.003)
- Khalifa MM, « Familial achalasia, microcephaly, and mental retardation. Case report and review of literature », Clinical Pediatrics, vol. 27, no 10, , p. 509–12 (PMID 3048841, DOI 10.1177/000992288802701009)
- A.E Spiess et P.J Kahrilas, « Treating achalasia: from whalebone to laparoscope », Journal of the American Medical Association, vol. 280, no 7, , p. 638–642 (PMID 9718057, DOI 10.1001/jama.280.7.638)
- Kreuz FR, Nolte-Buchholtz S, Fackler F, Behrens R, « Another case of achalasia-microcephaly syndrome », Clinical Dysmorphology, vol. 8, no 4, , p. 295–7 (PMID 10532181, DOI 10.1097/00019605-199910000-00012)
- Wafik M, Kini U, « Achalasia-microcephaly syndrome: a further case report », Clinical Dysmorphology, vol. 26, no 3, , p. 190–192 (PMID 28471776, DOI 10.1097/MCD.0000000000000181)
- Hernández A, Reynoso MC, Soto F, Quiñones D, Nazará Z, Fragoso R, « Achalasia microcephaly syndrome in a patient with consanguineous parents: support for a.m. being a distinct autosomal recessive condition », Clinical Genetics, vol. 36, no 6, , p. 456–8 (PMID 2591072, DOI 10.1111/j.1399-0004.1989.tb03376.x)
- (en) L Polonsky et P.H Guth, « Familial achalasia », The American Journal of Digestive Diseases, vol. 15, no 3, , p. 291–295 (ISSN 0002-9211, PMID 5435950, DOI 10.1007/BF02233464)
- D Pohl et R Tutuian, « Achalasia: an Overview of Diagnosis and Treatment. », Journal of Gastrointestinal and Liver Diseases, vol. 16, no 3, , p. 297–303 (PMID 17925926, lire en ligne)
- « Microcephaly Information Page: National Institute of Neurological Disorders and Stroke (NINDS) », sur web.archive.org, (consulté le )
- N.S.D. Hollander, M.W. Wessels, F.J. Los, N.T.C. Ursem, M.F. Niermeijer et J.W. Wladimiroff, « Congenital microcephaly detected by prenatal ultrasound: genetic aspects and clinical significance », Ultrasound in Obstetrics and Gynecology, vol. 15, no 4, , p. 282–287 (ISSN 0960-7692, PMID 10895445, DOI 10.1046/j.1469-0705.2000.00092.x, lire en ligne)
- Portail de la médecine
