Stéatose hépatique
La stéatose hépatique est une lésion du foie correspondant à la surcharge de graisse dans le cytoplasme des hépatocytes.
La prévalence de la stéatose hépatique est estimée entre 20 %[1] et 30 %[2] dans les pays développés. Il s'agit donc d'une pathologie extrêmement fréquente. Sa prévalence tend de plus à augmenter[2] parallèlement à l'accroissement de la population obèse ou diabétique.
Anatomopathologie

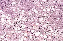
La stéatose est définie comme l'accumulation de matériel lipidique au sein du cytoplasme des hépatocytes[2]. Ces lipides correspondent principalement à des triglycérides[2].
Il existe deux types de stéatose hépatique aux étiologies bien différentes : la stéatose macro-vésiculaire et la stéatose micro-vésiculaire. La stéatose macro-vésiculaire est la plus fréquente majoritairement associée à la consommation excessive d'alcool. Elle est caractérisée par la présence d'une unique vésicule volumineuse au sein du cytoplasme[1],[2]. La stéatose micro-vésiculaire est plus sévère[1] et correspond à la présence de multiples petites vésicules lipidiques[1].
La sévérité de la stéatose est déterminée histologiquement par le pourcentage en hépatocytes comportant une ou des vacuoles dans leur cytoplasme[1]. On parle de stéatose légère en dessous de 30 %, de stéatose modérée entre 30 et 60 % et de stéatose sévère au-delà de 60 %[1]. Cette mesure ne correspond donc pas à un volume en graisse.
Des phénomènes inflammatoires et fibrosants peuvent être mis en évidence lors de l'évolution de la stéatose vers la stéato-hépatite voire la cirrhose.
Epidémiologie
Le sucre, en particulier le fructose, joue un rôle majeur dans la stéatose hépatique[3].
Étiologies
Stéatose macrovésiculaire
De nombreuses causes sont impliquées dans la survenue de la stéatose hépatique macro-vésiculaire. Parmi les principales causes, on retiendra notamment l'obésité, le diabète et l'intoxication alcoolique[2],[1]. Une origine iatrogène est également possible : prise de corticoïdes, chirurgie bariatrique (by-pass gastrique) ou encore nutrition parentérale[2],[1]. Enfin la stéatose macrovésiculaire peut s'observer dans le cadre de la maladie de Wilson[2], la galactosémie[2], l'hépatite C[2] ou l'infection par le VIH[2].
Stéatose microvésiculaire
Parmi les causes de stéatose microvésiculaire on notera : la stéatose aiguë gravidique[2],[1], le syndrome de Reye[1], ou encore la maladie des vomissements de la Jamaïque.
Classification
Les maladies du foie gras ont été classées en plusieurs catégories:
- La stéatose hépatique non alcoolique (NAFLD) composée de[4]:
- Dystrophie hépatique non alcoolique (NAFLD)ou dystrophie hépatique simple
- Stéatohépatite non alcoolique (NASH)
- la maladie alcoolique du foie (ALD)[5].
En 2023, une nouvelle nomenclature a été choisie[6], avec des classifications comprenant:
- Maladie stéatosique du foie associée à un dysfonctionnement métabolique (MASLD), dont:
- Stéatohépatite associée à un dysfonctionnement métabolique (MASH).
- Maladie métabolique du foie liée à l'alcool (metALD). Décrit les patients atteints de MASLD qui consomment une plus grande quantité d'alcool par semaine, mais pas suffisamment pour être classés dans la catégorie ALD.)
- Maladie hépatique liée à l'alcool (ALD)
Traitement
La réduction de l'apport calorique d'au moins 30 % ou d'environ 750-1000 kcal par jour entraîne une amélioration de la stéatose hépatique. Il a été démontré que chez les personnes atteintes de NAJBPou de NASH, la perte de poids par une combinaison de régime et d'exercice physique améliore l'évolution de la maladie[7],[8]. Dans les cas plus graves, les médicaments qui réduisent la résistance à l'insuline, l'hyperlipidémie et ceux qui induisent une perte de poids, comme la chirurgie bariatrique, ainsi que la vitamine E, se sont révélés capables d'améliorer ou d'éliminer la fonction hépatique[9].
La chirurgie bariatrique, bien qu'elle ne soit pas recommandée en 2017 comme traitement de la DLF seule, a permis d'éliminer la DLF, la NAFLD, la NASH et la stéatohépatite progressive chez plus de 90 % des personnes ayant subi cette chirurgie pour traiter l'obésité.
Dans un cas de stéatose hépatique de longue durée causée par une nutrition parentérale totale, la choline a permis de soulager les symptômes[10]. Cela peut être dû à une déficience dans le cycle de la méthionine[11].
Évolution
La stéatose hépatique est généralement bénigne[2]. Toutefois, son évolution peut se faire vers l'apparition d'une inflammation au sein du parenchyme hépatique : on parle alors de stéato-hépatite[2]. Le cas le plus fréquemment observé étant celui de la stéato-hépatite non alcoolique (NASH). Enfin la stéato-hépatite peut elle-même évoluer sur un versant fibrosant et aboutir à une cirrhose.
Clinique
Dans la grande majorité des cas, la stéatose hépatique non compliquée est asymptomatique. On peut toutefois rencontrer :
- une hépatomégalie ;
- une sensation de gêne au niveau de l'abdomen en regard du foie (hypochondre droit) ;
- une sensibilité du foie lors de la palpation.
Biologie
- Pendant la phase de l'évolution de la stéatose, à la suite de la compression et de la nécrose de cellules hépatiques, on peut retrouver une augmentation. :
- des transaminases, SGOT (ASAT) , SGPT (ALAT)
- des phosphatases alcalines (PAL)
- des Gamma-GT +++ (surtout dans les stéatoses alcooliques)
On peut retrouver une augmentation des triglycérides et des signes d'alcoolisme (CDT +++, GGT +++, VGM ++).
Les stéatoses hépatiques non-évolutives peuvent s'accompagner d'un bilan enzymatique normal, et éventuellement une bilirubine conjuguée augmentée par défaut d'élimination (canalicules biliaires comprimés).
Imagerie
L'échographie peut permettre de mettre en évidence la stéatose hépatique en retrouvant un parenchyme hépatique hyperéchogène comparativement au cortex rénal[1],[12]. Une comparaison à l'échogénicité de la rate est également possible[12]. L'examen Fibroscan peut permettre de quantifier la stéatose hépatique à l'aide du paramètre CAP (mesure de l’atténuation ultrasonore)[13],[14]. La tomodensitométrie peut diagnostiquer facilement la stéatose hépatique sur des coupes non injectées en révélant une inversion du gradient de densité hépato-splénique[1]. Le meilleur examen d'imagerie reste cependant l'IRM qui permet de plus une quantification de la stéatose[2].
Chez les autres espèces animales
Chez les oiseaux migrateurs, elle est physiologique et consécutive à la zugunruhe (agitation migratoire). Elle est provoquée chez les oiseaux non migrateurs en élevage avicole afin de produire du foie gras par gavage.
La stéatose hépatique chez l'oie ou le canard est un processus naturel, non-pathologique et totalement réversible. Dans la nature, ce phénomène biologique permet aux oiseaux de stocker d’importantes réserves d’énergie en vue d’un long voyage migratoire[15].
Notes et références
- Valérie Vilgrain et Denis Régent, Imagerie de l'abdomen, Paris, Médecine sciences publications-[Lavoisier], , 1056 p. (ISBN 978-2-257-20417-2, lire en ligne)
- Christophe Aubé, IRM du foie et des voies biliaires, Montpellier, Sauramps médical, , 277 p. (ISBN 978-2-84023-695-5, lire en ligne)
- « Santé. Maladies du foie : quelles alternatives au sucre ? », sur www.ledauphine.com (consulté le )
- (en) « Fatty liver disease--a practical guide for GPs », sur pubmed.ncbi.nlm.nih.gov (consulté le )
- (en) « Nonalcoholic Fatty Liver Disease & NASH », sur www.niddk.nih.gov (consulté le )
- (en) « A multisociety Delphi consensus statement on new fatty liver disease nomenclature », sur journals.lww.com (consulté le )
- (en) « The diagnosis and management of nonalcoholic fatty liver disease: Practice guidance from the American Association for the Study of Liver Diseases », sur journals.lww.com (consulté le )
- « La stéatose hépatique non alcoolique », sur www.omni-biotic.com (consulté le )
- (en) « Nonalcoholic fatty liver disease », sur pubmed.ncbi.nlm.nih.gov (consulté le )
- (en) « Choline deficiency: A cause of hepatic steatosis during parenteral nutrition that can be reversed with intravenous choline supplementation », sur aasldpubs.onlinelibrary.wiley.com (consulté le )
- (en) « The Importance of Being Choline », sur www.jandonline.org (consulté le )
- Olivier Lucidarme, Echographie abdominale, Elsevier Health Sciences France, , 480 p. (ISBN 978-2-294-74360-3, lire en ligne)
- MENNECIER didier, « Fibroscan », sur hepatoweb.com (consulté le )
- « JFHOD | SNFGE.org - Société savante médicale française d'hépato-gastroentérologie et d’oncologie digestive », sur www.snfge.org (consulté le )
- BAÉZA E, MARIE-ETANCELIN C, DAVAIL S et DIOT C, « La stéatose hépatique chez les palmipèdes » [archive], sur inra.fr, (consulté le ), p. 5
Autres :
- Portail de la médecine