Solitude
La solitude (du latin solus signifiant « seul ») est l'état, ponctuel ou durable, plus ou moins choisi ou subi, d'un individu qui n’est engagé dans aucun rapport avec autrui.

Certains auteurs parlent de solitude objective pour distinguer cet état du sentiment subjectif associé à l'isolement social.
La solitude est très différente selon qu'elle soit choisie ou subie. Un individu peut temporairement choisir intentionnellement la solitude, pour s'éloigner de problèmes interpersonnels, ou pour avoir le temps de développer une activité créative, intellectuelle, spirituelle. La solitude est alors une situation appréciée et voulue. En revanche, la situation subie de solitude chronique et intense est très douloureuse. De nombreuses études montrent que l'isolement social est associé à des risques accrus de problèmes de santé physique et mentale (dépression, suicide) et corrélé à une mortalité et un risque de maladies de longue durée accru.
La solitude est un sujet étudié sur le plan scientifique depuis la fin du XIXe siècle, avec les débuts de la sociologie (avec Durkheim et le concept d'anomie), et de la psychologie de l'enfant (Bowlby et ses études sur l'attachement), les études sur le deuil et la mortalité associée. Depuis le début du XXIe siècle, la solitude est particulièrement étudiée par les neurosciences sociales. Des études sur les moyens de remédier ou de prévenir la solitude et les problèmes qui lui sont souvent associés se multiplient.
Définitions
    
La langue française et d'autres langues latines utilisent le mot solitude (en espagnol, soledad) pour désigner à la fois le fait d'être seul et le sentiment douloureux qui accompagne parfois cette situation. Ces mots dérivent du latin solitudo.
Les langues germaniques distinguent deux notions : le fait d'être seul ou le fait d'en souffrir. En Allemand, « Je suis seul » se dit « Ich bin allein. » et « je me sens seul » se dit « Ich fühle mich einsam » (nom commun : Einsamkeit). En néerlandais, ces deux phrases sont traduites respectivement par : « Ik ben alleen » et « Ik voel me eenzaam » (nom commun : eenzaamheid). En langue anglaise, le sentiment douloureux de solitude est appelé loneliness (de l'adjectif lonely). À l'origine, lone signifie avoir été rejeté, exclu[1]. L'utilisation du mot solitude est plus récent dans la langue anglaise (il est emprunté au français) et désigne le fait d'être seul, isolé[2]. Ainsi, le mot solitude en anglais peut désigner la situation d'une personne heureuse d'être seule (par exemple, un artiste cherchant l'inspiration dans la solitude)[3].
Psychologie sociale
    

La solitude peut faire référence à un sentiment : c'est le fait de se sentir seul et d'en souffrir. Dans ce sens, elle est décrite comme une souffrance sociale — un mécanisme psychologique alertant un individu d'un isolement non désiré et le motivant à chercher une connexion sociale [4].
Le sentiment de solitude peut être douloureux. Il est souvent décrit par une douleur physique dans le langage courant de plusieurs langues (un « cœur brisé »). Depuis les descriptions de l'attachement entre l'enfant et sa mère (ou autre caretaker) par le chercheur anglais John Bowlby, la solitude a été décrite comme un état de souffrance sociale (social pain)[réf. nécessaire]. Tout comme le corps peut avoir faim ou soif car il manque de nourriture ou d'eau, la personne seule manque d'une relation à autrui qui se traduit par une douleur, jouant le rôle d'un signal d'alerte. Tout comme la soif protège l'animal de la déshydratation, la solitude est un signal qui protégerait l'individu, très précocement, contre l'abandon et favoriserait ainsi la survie des espèces animales grégaires[4]. Pendant l'enfance, l'objet d'attachement est la mère ou la personne qui joue ce rôle. Les attachements se diversifient ensuite. À l'adolescence commence un nouveau type d'attachement, l'attachement amoureux[5].
La solitude serait une réponse normale à certaines situations, et non pas un indice de faiblesse psychologique, selon le psychologue américain Robert S. Weiss, qui s'est spécialisé sur la question dans les années 1970[6],[5]. Selon Weiss, la solitude peut être soit un isolement émotionnel, soit un isolement social. La solitude s'accompagne de sentiments de vide, d'anxiété, d'agitation et de marginalisation[6].
Lorsque la solitude est de brève durée, elle augmente la motivation de l'individu à chercher de nouvelles connexions[4]. Cependant, si les sentiments de déconnexion se prolongent, la solitude commence à engendrer des effets négatifs sur l'individu et ses interactions sociales[4].
La solitude serait associée au sentiment de peur. La connexion sociale rassure, par exemple la présence des parents rassure l'enfant et la présence du groupe de pairs rassure le jeune adolescent. Le manque de connexion sociale serait, à l'inverse, associé à un sentiment d'insécurité et de danger[4]. La solitude peut être utilisée comme punition, par un groupe entier contre les individus qui commettent ce qui est considéré comme des infractions ou déviances des conventions sociales. C'est l'ostracisme (observé dans les sociétés humaines et dans les groupes de grands singes), l'isolement dans les prisons, le bannissement, l'exclusion d'un groupe. L'ostracisme du groupe provoque beaucoup de douleurs, ou souffrances, chez la personne (ou l'animal) qui en est victime[4].
Cognition et régulation des émotions
    
Au-delà des circonstances de la vie, certaines personnes se sentent seules plus que d'autres. Spécialiste en neurosciences sociales et ayant publié un grand nombre d'études sur la solitude, John Cacioppo (en), de l'Université de Chicago, défend l'idée que les personnes souffrant de solitude ne diffèrent pas beaucoup des autres sur le plan physique ou intellectuel : elles ne diffèrent pas quant à leur quotient intellectuel, quant à leur apparence physique, quant à leur âge ou à leur poids. Les personnes qui souffrent de solitude ne passent pas forcément plus de temps seules que d'autres : Cacioppo observe qu'il y a une corrélation mais une corrélation cependant assez faible entre l'isolement objectif (le fait d'être seul) et le ressenti de solitude. Selon lui, ces personnes n'auraient pas moins d'habiletés sociales que d'autres mais elles les emploieraient moins souvent.
Cacioppo défend que le sentiment douloureux de solitude a pour origine trois facteurs qui sont essentiellement d'ordre psychologique, cognitif et émotionnel[4] :
- La sensibilité à l'exclusion sociale. Cette sensibilité pourrait être d'ordre génétique. Cette sensibilité provoque des signaux de détresse, une douleur ressentie lorsqu'un besoin de connexion est ressenti. Or le seuil de douleur diffère selon les personnes. Lorsque ce seuil est bas, la personne souffre plus rapidement et plus intensément que d'autres lors de situations d'isolement (ou perçues comme telles).
 - La capacité à auto-réguler les émotions ressenties lors d'un ressenti d'isolement. Il s'agit de la capacité de résilience lorsque la solitude (objective ou ressentie) commence à se faire sentir et vient interférer avec les processus de pensée. Il s'agit de la capacité d'une personne à aller trouver des activités ou pensées qui vont soigner et apaiser ce sentiment (le sommeil par exemple ; les personnes qui souffrent de solitude ont des troubles du sommeil). Cette capacité peut aider des personnes à faire face, en attendant de retrouver de nouveaux liens sociaux (amour, amitié).
 - La capacité à raisonner, les attentes et les représentations mentales c'est-à-dire la cognition sociale en lien avec la situation de solitude. Ces représentations sont influencées par le bien-être ou la souffrance de la personne et influencent son habileté à faire face, à être résiliente. Ainsi, certaines personnes entrent dans des pensées et des comportements contre-productifs et auto-destructeurs (destructeurs de relations) : sous l'effet de la solitude, une personne sourit moins, se méfie des autres, interprète incorrectement certains signaux sociaux, etc. et finalement n'attire pas autrui autant qu'une personne sans cette souffrance.
 
Cacioppo et ses collaborateurs ont mené de nombreuses études cherchant à comprendre les particularités de la cognition sociale des personnes qui se sentent seules. Cacioppo défend l'idée que la solitude engendre une distorsion cognitive et augmente la fréquence des interactions auto-destructrices, en augmentant l'agressivité et l'hostilité, lorsque la solitude est prolongée et chronique. Dans une série d'expériences menées sur des étudiants d'un campus américain, Cacioppo et plusieurs collaborateurs montrent que les personnes qui se sentent seules sont engagées dans une spirale dont il est difficile de se dégager: se sentant seule, insatisfaite, et souffrant d'une plus mauvaise estime de soi, la personne se montre plus irritée et désagréable envers les autres, voire défensive et agressive envers autrui[4],[7].
Mesures
    
Il est possible d'estimer l'intensité du sentiment de solitude ainsi que l'isolement social objectif des personnes. Des échelles standardisées permettent de comparer les résultats entre différentes études de la manière la plus objective possible et de mieux comprendre les mécanismes et les conséquences de la solitude sur de larges populations ou sur des populations expérimentales (par exemple, lorsque des interventions sont testées pour remédier aux problèmes causées par la solitude chez des personnes âgées).
L'échelle de solitude, la Loneliness Scale de l'Université de Californie et Los Angeles (UCLA) est mise au point par Daniel Russell et collaboratrices en 1978[8] et révisée [9]. Cette échelle a été traduite et validée au Canada français sous le nom de l'Échelle de solitude de l'Université de Laval ou ÉSUL[10].
D'autres mesures ont été mises au point en langue anglaise. Les échelles en langue française sont cependant un peu moins nombreuses. L'Échelle de Solitude Sociale et Émotionnelle (l'ÉSSÉ) a été traduite et validée à partir de la version courte de l'échelle Social and Emotional Loneliness Scale for Adults (SELSA-S) de DiTommaso, datant de 1993. La SELSA s'appuie sur la typologie de la solitude de Weiss (1973)[11].
Certaines échelles ont été créées et validées pour être utilisées dans des contextes spécifiques. L'échelle du sentiment d'appartenance sociale (ÉSAS) est utilisée dans le milieu de travail[12].
Mary Elizabeth Hugues et collaborateurs, dont John Cacioppo (en) (chercheur en psychologie qui a initié un grand nombre d'études sur la solitude) a mis au point un questionnaire très bref qui peut facilement être administré par téléphone. Ce questionnaire est destiné aux études à grande échelle[13].
Conditions expérimentales
    
Pour étudier les processus cognitifs et les émotionnels engagés lors d'expériences subjectives de solitude, des paradigmes expérimentaux ont été mis au point. Dans certaines expériences, le niveau de solitude est mesuré par des échelles standardisées, avant l'expérience proprement dite. Les résultats (la moyenne et l'écart-type) du groupe de personnes ayant des scores élevés peuvent être comparées aux résultats moyens du groupe de personnes ayant des scores faibles. Utilisant cette approche, des expériences ont montré que des étudiants adultes (aux États-Unis) dont les scores sont élevés sur l'échelle de solitude ont des scores plus faibles sur des épreuves d'attention sélective[4].
Roy Baumeister et ses collaborateurs ont mis au point un paradigme expérimental pour provoquer la peur d'être seul dans le futur. Dans une de ses études, des étudiants devaient compléter deux questionnaires, et un piège était tendu à certains d'entre eux. On annonçait à certains étudiants qu'ils avaient de la chance, car ils avaient un type de personnalité qui allait favoriser les relations sociales durables, comme un mariage heureux et des amitiés durables, et qu'ils attireraient toujours à eux des personnes qui se soucieraient de leur bien-être. On annonce à d'autres étudiants qu'ils auront sans doute un avenir solitaire. Un troisième groupe (contrôle) reçoit une prédiction neutre sans rapport avec les relations interpersonnelles. Pour des raisons éthiques, les participants sont informés après la passation de l'expérience de la manière dont ils ont été manipulés émotionnellement. Après cette manipulation dont ils n'ont pas conscience, les trois groupes d'étudiants doivent passer différents tests cognitifs. Sur les tests de mémoire, aucune différence n'était notable entre les groupes. Cependant sur des tests de raisonnement, les performances étaient affectées négativement par la peur de la solitude. Ce paradigme a été utilisé par Baumeister et son équipe dans une série d'expériences pour mesurer l'impact de la peur de la solitude sur l'autorégulation (maîtrise de soi, contrôle de soi) et les performances cognitives[14].
Un autre paradigme des mêmes auteurs provoque plus directement un sentiment de rejet et d'exclusion. Là encore, les participants sont informés en fin d'expérience de la manipulation dont ils ont été l'objet. Dans ce paradigme, les participants doivent travailler seuls sur une tâche où des cookies au chocolat doivent être dégustés et notés. Or, avant cette tâche, les expérimentateurs font croire à chaque participant qu'il doit travailler en groupe. Puis, on lui annonce qu'en fait, il devra travailler seul : à une moitié des participants, on explique, individuellement, que c'est parce que personne ne voulait travailler avec lui ou elle (rejet social) ; à l'autre moitié des participants, on dit que les autres personnes voulaient bien travailler avec lui ou elle, mais que le groupe serait trop grand (acceptation sociale). Les résultats indiquent clairement que les étudiants se sentant rejetés ont mangé deux fois plus de cookies que ceux qui se croyaient acceptés ; ils ont également noté les cookies comme ayant un meilleur goût[14].
Sur la base de ces paradigmes, Baumeister et d'autres collaborateurs et spécialistes en psychologie sociale et cognitive, ont mis en évidence que le sentiment de solitude amène les personnes à adopter des comportements dont elles savent qu'ils ne sont pas bons pour elles dans le long terme (trop manger, trop boire, se montrer agressifs...). Ils ont mis en évidence des liens avec les seuils de douleurs ou encore les comportements agressifs. Dans des tâches cognitives (telles que mesurant des performances académiques), les personnes seules ont les mêmes scores que d'autres. Cependant, sur des tâches identiques présentées comme engageant les relations sociales, leurs scores sont plus faibles. Les auteurs expliquent ce phénomène par une anxiété plus forte chez les personnes qui se sentent seules, dans les situations sociales[15].
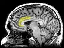
Physiologie et neurosciences sociales
    

Dans une étude utilisant l'imagerie cérébrale (IRM fonctionnel) et publiée dans la revue Science en 2003, Naomi Einsenberger et ses collaborateurs ont montré que le sentiment d'exclusion sociale, crée artificiellement pendant l'expérience, activait des zones du cerveau similaires à celles activées lorsque l'individu éprouve une douleur physique[16],[17]. Leurs recherches sur ce problème ont continué à indiquer l'implication du cortex cingulaire antérieur dans la douleur (ou souffrance) engendrée par le rejet des pairs ou d'autres conditions d'exclusion sociale contrôlées expérimentalement[18]. Ces résultats sont discutés par les spécialistes en neurosciences sociales et leur interprétation n'est pas consensuelle[19].
Santé mentale
    

Depuis le travail séminal du sociologue Émile Durkheim, dans son ouvrage Le suicide (1897), qui mit en évidence un lien statistique fort entre anomie et suicide, les données épidémiologiques ont confirmé un lien fort et consistant entre l'isolement social et les problèmes de santé, physique et mentale, ainsi que le risque de suicide[20],[21]. L'intérêt pour ce sujet en psychologie a pris son essor dans les années 1970 avec les travaux de Bowlby et les études sur le deuil[22]. La solitude aurait une forte corrélation avec la conscience et la représentation générale de soi : la faible estime de soi, la timidité, l'introversion et le manque d'assurance[23],[24].
La solitude est liée à la dépression [Comment ?] et est ainsi un facteur de risque pour le suicide[25]. Les individus désocialisés peuvent avoir une qualité de sommeil médiocre voire faible[26]. La solitude est également liée à un trouble schizoïde dans lequel un individu fait l'expérience d'une aliénation[27].
Chez les enfants et adultes, la solitude a souvent un impact dans la compréhension et la mémoire. Dans des cas d'isolement long et total - navigateurs solitaires, etc. -, des phénomènes hallucinatoires ont été rapportés.[réf. nécessaire] La solitude peut jouer un rôle important [évasif]dans l'alcoolisme et la toxicomanie.[réf. nécessaire] Chez les enfants, un manque de connexions sociales est directement lié à de nombreux comportements antisociaux et autodestructeurs et peut notamment conduire à l'hostilité et à la délinquance. [réf. nécessaire]
Santé physique
    
La relation entre l'isolement social et le sentiment de solitude, d'une part, et les maladies chroniques graves et la mortalité d'autre part, a souvent été observées sur les études épidémiologiques portant sur les personnes d'âge mûr. Les raisons de ces corrélations sont l'objet de beaucoup de débats entre spécialistes. Plusieurs liens de cause à effet semblent impliqués.
Plusieurs études sur de larges cohortes montrent que des personnes adultes d'âge moyen ou des personnes âgées ont un risque de mortalité plus élevé lorsqu'elles ont moins de liens sociaux. Une étude longitudinale menée en 1979 aux États-Unis montrait que le risque de mortalité, sur une période de 9 ans, était 2,3 fois plus élevé chez les hommes et 2,8 plus élevés chez les femmes ayant peu de connexions sociales (amis, famille et voisinage)[28]. Des études suggèrent que la solitude et / ou l'isolement social sont corrélés au risque d'accident vasculaire cérébral et de maladie cardio-vasculaire[29]. Le problème est si important, qu'il en est devenu un problème de santé publique dans plusieurs pays, comme au Royaume-Uni[30].
Une relation directe de cause à effet entre le sentiment de solitude et l'augmentation de la mortalité, ne semble pas démontrée : la solitude certes accompagne l'isolement social et a un impact négatif sur la qualité de vie qui est démontré. Cependant, il est possible que seul l'isolement social ait un impact négatif sur la mortalité et la santé physique[31]. Cette question ne fait pas l'objet d'un consensus et reste étudiée et débattue.
Plusieurs hypothèses, qui ne s'excluent pas mutuellement, peuvent expliquer les liens observés entre solitude d'une part, et problèmes de santé et mortalité due aux maladies de longue durée. L'une des hypothèses est que l'isolement social diminue la fréquence des comportements bénéfiques à la santé. Cette hypothèse repose sur les observations de la psychologie cognitive montrant que la solitude diminue le contrôle de soi et les fonctions cérébrales du contrôle exécutif, et augmente les problèmes d'estime de soi et les risques de comportements auto-destructeurs. Au contraire, les personnes entourées bénéficient de l'influence de leur entourage pour adopter ou mieux respecter les règles d'une bonne hygiène de vie. C'est l'hypothèse du contrôle social. Chez les jeunes populations, les comportements de nutrition, activité physique ou consommation d'alcool ne semblent pas différer significativement. Avec l'âge cependant, des différences sont observées entre les personnes qui se sentent seules, et les autres. Les personnes souffrant de solitude ont moins d'activité physique vigoureuse et tendent à consommer plus de graisses (35 % de leurs calories proviendraient des graisses, contre 20 % pour le reste de la population du même âge, observations faites aux États-Unis)[4].
L'isolement social et le sentiment de solitude augmente la fréquences des événements de vie stressants. Cet effet n'est pas observé chez les jeunes, mais apparaît chez les personnes plus âgées[32]. La solitude objective, ou isolement social, augmente modestement le risque de mortalité à cause du stress et de l'inflammation[33].
Sociologie
    
    Groupes à risque
    

En sociologie, un individu peut choisir intentionnellement la solitude dans le but de s'isoler de son entourage[34], ce qui diffère d'une solitude subie engendrant de l'isolement social.
La solitude peut résulter d'une rupture amoureuse, un divorce, la perte d'un proche ou plus généralement de l'exclusion sociale. Dans les sociétés développées, la solitude est plus largement répandue dans certaines catégories sociales, comme les personnes agées[35], les femmes, les individus vivants dans une commune à faible densité de population[36], les groupes marginalisés, les chômeurs et chez les jeunes âgés entre 18 et 35 ans[37]. Les causes peuvent entre autres impliquer l'arrêt brutal de la scolarité[38].
Un faible capital social serait corrélé à la solitude subie[39],[40].

Solitude contagieuse
    
De études sociologiques utilisant des modèles d'analyse des réseaux sociaux de Cacioppo, James H. Fowler et Nicholas A. Christakis ont apporté une nouvelle compréhension[Laquelle ?] sur la manière dont la solitude peut s'étendre dans un réseau social [41].
Réseaux sociaux en ligne
    
Des études menées en 2002[42] et en 2010[43] montrent que « l'utilisation d'Internet diminuerait significativement les sentiments de solitude et de déprime […] » et qu'Internet « avait un rôle important dans la vie des individus, qui leur permettent d'accéder à une liberté et un contrôle, qui ont un impact positif sur le bien-être et la joie ». Les catégories sociales habituellement plus isolées et au capital social plus faible, bénéficieraient de l'usage d'internet pour interagir avec d'autres et briser l'isolement social[44],[45],[46],[47].
Certaines recherches montrent que les internautes seraient les plus touchés par la solitude[évasif][réf. nécessaire].
L'utilisation de réseaux sociaux peut aussi être une cause de solitude ; certains individus préfèrent passer leur temps sur les réseaux sociaux plutôt que de nouer des liens sociaux (zone de confort)[48].
Prévalence
    
Il existe plusieurs estimations et facteurs[Quoi ?] de la solitude. Il est estimé [Quand ?]qu'approximativement 60 millions d'individus aux États-Unis (soit 20 % de la population active) se sentent seuls. Une autre étude montre que 12 % des Américains n'ont personne avec qui passer leur temps libre ou pour discuter[49],[50]. D'autres recherches suggèrent que ces statistiques se sont accrues au fil du temps[évasif].
Une étude a suivi 45 000 individus âgés de 45 ans et plus souffrant de problèmes cardiovasculaires. L'étude montre que ceux qui vivaient seuls avaient un haut risque d'être victimes d'une crise cardiaque, d'accident vasculaire cérébral et d'autres complications cardiovasculaires durant une période de quatre jours[51]. Dans cette étude, le risque est plus élevé chez 14 % des jeunes individus, ceux qui vivaient seuls. Vivre seul accroît le risque de problèmes cardiovasculaires et de mort prématurée chez 24 % des individus âgés de 45-65 ans, et chez 12 % des 66-80 ans[51].
Traitements
    

Différentes manières de traiter la solitude, l'isolement social ou la dépression clinique. La première étape que recommandent les docteurs est la thérapie. La thérapie est un moyen commun, parfois avec succès, de traiter la solitude. La thérapie à court terme, le moyen le plus commun pour traiter les patients atteints de solitude et de dépression, dure typiquement de 10 à 20 semaines. Durant la thérapie, l'emphase est de comprendre les causes de cette solitude; tenter de déceler les pensées négatives, l'état des émotions, et explorer les différents moyens d'aider le patient. Certains docteurs recommandent également une thérapie de groupe dans le but d'aider le patient à établir un contact avec d'autres patients souffrant de la même maladie psychologique[52]. Les docteurs prescrivent fréquemment des antidépresseurs aux patients en tant que traitement standard ou en conjonction avec la thérapie. Cela prend généralement du temps au patient avant de trouver l'antidépresseur adéquat. Certains patients peuvent développer une résistance à certains médicaments et ont besoin de prendre périodiquement une pause durant les prises de médicaments prescrits.
Des approches alternatives sont également suggérées pour traiter la dépression due à la solitude. Ces traitements peuvent inclure l'exercice, la diète, l'hypnose, la sismothérapie, l'acupuncture, l'herboristerie, et autres types alternatives. Un autre traitement utilisé pour traiter la solitude et la dépression est la thérapie animale, ou plus connu en tant que zoothérapie. Certaines études démontrent que la présence d'un animal de compagnie tel que les chiens, les chats, les lapins ou même les cochons d'Inde peuvent diminuer les sentiments de dépression et de solitude parmi certains malades. D'après les Centres pour le contrôle et la prévention des maladies, il existe un bon nombre d'effets bénéfiques à sentir la présence d'un animal.
En 2011, le gouvernement français choisit comme Grande Cause nationale la lutte contre la solitude, à la demande du collectif associatif « Pas de solitude dans une France fraternelle »[53]. La méditation a également été proposée pour prévenir ou lutter contre la solitude[54],[55].
Célébrités
    

La célébrité ne protège pas de la solitude et peut même au contraire l'exarcerber. Ainsi, de nombreuses personnes célèbres ont avoué avoir souffert de solitude. L'autobiographie de la reine Wilhelmina (reine des Pays-Bas), publiée en 1962, s'intitulait Einzaam, maar niet alleen, ce qui fut traduit par « Solitaire, mais pas seule »[56].
George Clooney révèle, lors d'une entrevue, avoir souffert de solitude et de troubles du sommeil[57].
Spiritualité
    
La solitude peut être utilisée positivement pour ajouter des opportunités de méditation individuelle, de concentration, d'introspection ou de prière et pour atteindre un état de paix et de consolation. En particulier la dévotion du Rosaire « parvient ainsi à remplir de prière les journées de nombreux contemplatifs, ou à tenir compagnie aux malades et aux personnes âgées[58]... »
Dans l'art et la littérature
    

Livres
    
Liste de livres qui parlent de la solitude :
- L'Esprit de solitude par Jacqueline Kelen
 - Cent Ans de solitude par Gabriel García Márquez
 
Chansons
    
Liste de chansons qui parlent de la solitude :
- Je marche seul par Jean-Jacques Goldman
 - La Solitude par Barbara
 - La Solitude par Léo Ferré
 - La solitude, ça n'existe pas par Gilbert Bécaud
 - L'Enfer par Stromae
 - Ma solitude par Georges Moustaki
 - Pour ne pas vivre seul par Dalida
 - Seul par Jacques Brel
 - Seul par Garou
 - Seule par Barbara
 - Solitude par Scylla et Sofiane Pamart...
 
Peinture
    
- Thème récurrent dans la peinture d'Edward Hopper, exemples : New York Movie, High Noon, Automat, Hotel Window...
 
Notes et références
    
- « Online Etymology Dictionary », sur www.etymonline.com (consulté le )
 - « Online Etymology Dictionary », sur www.etymonline.com (consulté le )
 - « the definition of solitude », sur Dictionary.com (consulté le )
 - (en) Cacioppo, John et Patrick, William, Loneliness : human nature and the need for social connection, New York : W.W., Norton & Co., , 317 p. (ISBN 978-0-393-06170-3, lire en ligne).
 - (en) Robert S. Weiss, « Reflections on the present state of loneliness research. », Journal of Social Behavior & Personality, vol. Vol 2(2, Pt 2), , p. 1-16 (ISSN 0886-1641, lire en ligne, consulté le )
 - (en) Robert S. Weiss, Loneliness : The experience of emotional and social isolation, MIT,
 - John T. Cacioppo, Louise C. Hawkley, John M. Ernst et Mary Burleson, « Loneliness within a nomological net: An evolutionary perspective », Journal of Research in Personality, vol. 40, , p. 1054–1085 (DOI 10.1016/j.jrp.2005.11.007, lire en ligne, consulté le )
 - Dan Russell, Letitia Anne Peplau et Mary Lund Ferguson, « Developing a Measure of Loneliness », Journal of Personality Assessment, vol. 42, , p. 290–294 (ISSN 0022-3891, PMID 660402, DOI 10.1207/s15327752jpa4203_11, lire en ligne, consulté le )
 - Daniel W. Russell, « UCLA Loneliness Scale (Version 3): Reliability, Validity, and Factor Structure », Journal of Personality Assessment, vol. 66, , p. 20–40 (ISSN 0022-3891, PMID 8576833, DOI 10.1207/s15327752jpa6601_2, lire en ligne, consulté le )
 - Gaston-René de Grâce, Purushottam Joshi et René Pelletier, « L'Échelle de solitude de l'Université Laval (ÉSUL): validation canadienne-française du UCLA Loneliness Scale. », Canadian Journal of Behavioural Science/Revue canadienne des sciences du comportement, vol. 25, , p. 12–27 (ISSN 1879-2669 et 0008-400X, DOI 10.1037/h0078812, lire en ligne, consulté le )
 - Enrico DiTommaso, Joanne Turbide, Carmen Poulin et Bryn Robinson, « L'ÉCHELLE DE SOLITUDE SOCIALE ET ÉMOTIONNELLE (ÉSSÉ): A FRENCH-CANADIAN ADAPTATION OF THE SOCIAL AND EMOTIONAL LONELINESS SCALE FOR ADULTS », Social Behavior and Personality: an international journal, vol. 35, , p. 339–350 (DOI 10.2224/sbp.2007.35.3.339, lire en ligne, consulté le )
 - S. F. Richer et J. Vallerand, « Construction et validation de l'échelle du sentiment d'appartenance sociale (ÉSAS) », European review of applied psychology, vol. 48, , p. 129-138 (ISSN 1162-9088, lire en ligne, consulté le )
 - (en) Mary Elizabeth Hughes, Linda J. Waite, Louise C. Hawkley et John T. Cacioppo, « A Short Scale for Measuring Loneliness in Large Surveys Results From Two Population-Based Studies », Research on Aging, vol. 26, , p. 655–672 (ISSN 0164-0275 et 1552-7573, PMID 18504506, PMCID 2394670, DOI 10.1177/0164027504268574, lire en ligne, consulté le )
 - (en) Roy F. Baumeister, C. Nathan DeWall, Natalie J. Ciarocco et Jean M. Twenge, « Social Exclusion Impairs Self-Regulation. », Journal of Personality and Social Psychology, vol. 88, , p. 589–604 (ISSN 1939-1315 et 0022-3514, DOI 10.1037/0022-3514.88.4.589, lire en ligne, consulté le )
 - Megan L. Knowles, Gale M. Lucas, Roy F. Baumeister et Wendi L. Gardner, « Choking under social pressure: social monitoring among the lonely », Personality & Social Psychology Bulletin, vol. 41, , p. 805–821 (ISSN 1552-7433, PMID 25956799, DOI 10.1177/0146167215580775, lire en ligne, consulté le )
 - Naomi I. Eisenberger, Matthew D. Lieberman et Kipling D. Williams, « Does rejection hurt? An FMRI study of social exclusion », Science (New York, N.Y.), vol. 302, , p. 290–292 (ISSN 1095-9203, PMID 14551436, DOI 10.1126/science.1089134, lire en ligne, consulté le )
 - Naomi I. Eisenberger et Matthew D. Lieberman, « Why rejection hurts: a common neural alarm system for physical and social pain », Trends in Cognitive Sciences, vol. 8, , p. 294–300 (ISSN 1364-6613, PMID 15242688, DOI 10.1016/j.tics.2004.05.010, lire en ligne, consulté le )
 - Naomi I. Eisenberger, « The neural bases of social pain: evidence for shared representations with physical pain », Psychosomatic Medicine, vol. 74, , p. 126–135 (ISSN 1534-7796, PMID 22286852, PMCID 3273616, DOI 10.1097/PSY.0b013e3182464dd1, lire en ligne, consulté le )
 - Naomi I. Eisenberger, « Social pain and the brain: controversies, questions, and where to go from here », Annual Review of Psychology, vol. 66, , p. 601–629 (ISSN 1545-2085, PMID 25251482, DOI 10.1146/annurev-psych-010213-115146, lire en ligne, consulté le )
 - J. S. House, K. R. Landis et D. Umberson, « Social relationships and health », Science (New York, N.Y.), vol. 241, , p. 540–545 (ISSN 0036-8075, PMID 3399889, lire en ligne, consulté le )
 - Émile Durkheim, Le suicide : étude de sociologie, Félix Alcan,
 - Michel Tousignant, « Soutien social et santé mentale : une revue de la littérature », Sciences sociales et santé, vol. 6 (1), , p. 77–106 (DOI 10.3406/sosan.1988.1087, lire en ligne, consulté le )
 - (en) Kendra Cherry, « Causes, Effects and Treatments for Loneliness », sur About.com (consulté le ).
 - (en) Marshall, John R., Social Phobia, BasicBooks, , 59-60 p. (ISBN 978-0465078967)
 - (en) Marano, Hara Estroff, « The Dangers of Loneliness », sur Psychology Today, (consulté le ).
 - (en) Hawkley, Louise C., Cacioppo et John T., « Institute for Mind and Biology » [PDF], Université de Chicago, .
 -  (en) Masterson, James F., Klein, Ralph, Disorders of the Self : Secret Pure Schizoid Cluster Disorder, New York, , 25–27 p.« Klein was Clinical Director of the Masterson Institute and Assistant Professor of Psychiatry at the Columbia University College of Physicians and Surgeons »
 - (en) Lisa F. Berkman et S. Leonard Syme, « Social Networks, Host Resistance, and Mortality: A Nine-Year Follow-up Study of Alameda County Residents », American Journal of Epidemiology, vol. 109, , p. 186–204 (ISSN 0002-9262 et 1476-6256, PMID 425958, lire en ligne, consulté le )
 - (en) Loneliness and Isolation: Modern Health Risks, vol. IV, (lire en ligne [archive du ])
 - Nicole Valtorta, « Solitude et isolement : le « problème » tel qu’il est appréhendé au Royaume-Uni », Gérontologie et société, vol. 38 / n° 149, , p. 41–53 (ISSN 0151-0193, lire en ligne, consulté le )
 - (en) Andrew Steptoe, Aparna Shankar, Panayotes Demakakos et Jane Wardle, « Social isolation, loneliness, and all-cause mortality in older men and women », Proceedings of the National Academy of Sciences, vol. 110, , p. 5797–5801 (ISSN 0027-8424 et 1091-6490, PMID 23530191, PMCID 3625264, DOI 10.1073/pnas.1219686110, lire en ligne, consulté le )
 - (en) Louise C. Hawkley et John T. Cacioppo, « Aging and Loneliness Downhill Quickly? », Current Directions in Psychological Science, vol. 16, , p. 187–191 (ISSN 0963-7214 et 1467-8721, DOI 10.1111/j.1467-8721.2007.00501.x, lire en ligne, consulté le )
 - (en) Udell JA, Steg PG, Scirica BM et al., « Living alone and cardiovascular risk in outpatients at risk of or with atherothrombosis », sur Arch Intern Med. 2012;172:1086-1095
 - (en) Shwetabh Singh, « Woman Who Lost 110 Pounds Shares Weight Loss Tips » (consulté le ).
 - (en) « Seniors Are Lonely » (consulté le ).
 - (en) « Isolation and Dissatisfaction in the Suburbs », sur Planetizen,
 - « Près d'un jeune sur deux souffre de la solitude ! », sur Société Saint-Vincent-de-Paul (consulté le )
 - « La solitude, un mal qui progresse chez les jeunes », sur TF1 (consulté le )
 - Fredrica Nyqvist, Christina R. Victor, Anna K. Forsman et Mima Cattan, « The association between social capital and loneliness in different age groups: a population-based study in Western Finland », BMC Public Health, vol. 16, no 1, (ISSN 1471-2458, DOI 10.1186/s12889-016-3248-x, lire en ligne, consulté le )
 - Troy D. Glover, « All the Lonely People: Social Isolation and the Promise and Pitfalls of Leisure », Leisure Sciences, vol. 40, nos 1-2, , p. 25–35 (ISSN 0149-0400 et 1521-0588, DOI 10.1080/01490400.2017.1376017, lire en ligne, consulté le )
 - (en) Park Alice, « Time.com », sur Time.com, (consulté le )
 - (en) « In Defense of the Internet: The Relationship between Internet Communication and Depression, Loneliness, Self-Esteem, and Perceived Social Support », sur Deepblue (consulté le )
 - (en) « Is the Internet the Secret to Happiness? », sur Time,
 - (en) Valentina Hlebec, Katja Lozar Manfreda et Vasja Vehovar, « The social support networks of internet users », New Media & Society, vol. 8, no 1, , p. 9–32 (ISSN 1461-4448 et 1461-7315, DOI 10.1177/1461444806058166, lire en ligne, consulté le )
 - Patricia Drentea et Jennifer L. Moren-Cross, « Social capital and social support on the web: the case of an internet mother site », Sociology of Health and Illness, vol. 27, no 7, , p. 920–943 (ISSN 0141-9889 et 1467-9566, DOI 10.1111/j.1467-9566.2005.00464.x, lire en ligne, consulté le )
 - Christopher E. Beaudoin et Chen-Chao Tao, « Benefiting from Social Capital in Online Support Groups: An Empirical Study of Cancer Patients », CyberPsychology & Behavior, vol. 10, no 4, , p. 587–590 (ISSN 1094-9313 et 1557-8364, DOI 10.1089/cpb.2007.9986, lire en ligne, consulté le )
 - (en) Sum S, Mathews RM, Hughes I, Campbell A., « Internet use and loneliness in older adults. », (consulté le )
 - (en) « Is Facebook Making Us Lonely? », sur The Atlantic, (consulté le )
 - (en) Christakis, N.A. & Fowler, J.H, Connected: The surprising power of our social networks and how they shape our lives, New York, NY, Little, Brown and Company, .
 - (en) Olds, J. & Schwartz, R.S, The lonely American: Drifting apart in the 21st century, Boston, MA, Beacon Press, .
 - (en) Amanda Gardner, « Lonely? Your health may suffer », sur CNN.com, (consulté le ).
 - (en) Psychothérapie. Depression.com. Consulté le 29 mars 2008.
 - (fr) « La lutte contre la solitude, Grande Cause nationale 2011 »,
 - (en) Amanda Enayati, « Fighting loneliness and disease with meditation », sur CNN.com, (consulté le ).
 - (en) Claire Blates, « Loneliness won't leave you alone? How mindful meditation can ease your woes », sur DailyMail, (consulté le ).
 - Wilhelmina (reine des Pays-Bas ; 1880-1962). Auteur du texte et Wilhelmina (reine des Pays-Bas ; 1880-1962), « BnF Catalogue général », sur catalogue.bnf.fr, (consulté le )
 - (en) David Gardner, « The confessions of George Clooney... I'm lonely, I can't sleep and I used cocaine (but I hated it) », sur DailyMail, (consulté le ).
 - « LETTRE APOSTOLIQUE ROSARIUM VIRGINIS MARIAE DU PAPE JEAN-PAUL II À L'ÉPISCOPAT, AU CLERGÉ ET AUX FIDÈLES SUR LE ROSAIRE », sur vatican.va (consulté le ).
 
Annexes
    
    Bibliographie
    
- Catherine Audibert, L'incapacité d'être seul, essai sur l'amour, la solitude et les addictions, Paris, France, Payot,
 - Scarlett Beauvalet-Boutouyrie, La solitude : XVIIe – XVIIIe siècles, Paris, France, Belin,
 - Sébastien Dupont et Jocelyn Lachance (dir.), Errance et solitude chez les jeunes, Paris, France, Téraèdre, (lire en ligne)
 - Françoise Dolto, Solitude, Gallimard - Folio essais
 - Jacqueline Kelen, L'esprit de solitude, Albin Michel,
 - Jean-Michel Quinodoz, La Solitude apprivoisée : l'angoisse de séparation en psychanalyse, Paris, Presses universitaires de France, , 237 p. (ISBN 2-13-044472-5)
 - Melanie Klein, « Se sentir seul », Envie et gratitude, Gallimard-Tel, (ISBN 2-07-029780-2)
 - Michel Hannoun, Nos solitudes, Enquête sur un sentiment, éd. du Seuil,
 - Sébastien Dupont, Seul parmi les autres. Le sentiment de solitude chez l'enfant et l'adolescent, Toulouse, France, Érès, , 310 p. (ISBN 978-2-7492-1195-4, lire en ligne)
 - Maryse Vaillant, Mes petites machines à vivre. Oser la tristesse, la solitude et l’ennui, Jean-Claude Lattès, 2011. Prix Psychologies-Fnac 2012 du meilleur essai
 - Dr Christophe Fauré, Ensemble mais seuls – Apprivoiser le sentiment de solitude dans le couple, Albin Michel, 2009
 
Articles connexes
    
- Autophobie
 - Évolution de la souffrance
 - Hikikomori (phénomène social de vie recluse observé chez de jeunes japonais)
 - Individualisme
 - Isolement
 - Isolement social
 - Misère sexuelle
 - Phobie sociale
 - Relation humaine
 - Souffrance psychologique
 - Trouble de la personnalité schizoïde
 - Timidité
 
Liens externes
    
- Jean-Pierre Goretta, « L'ermite », Temps présent, Canton du Jura, Suisse, Radio télévision suisse, anciennement Télévision suisse romande,  (lire en ligne [vidéo]) Alfred Pellaton vit retiré dans une vallée jurassienne. Le cinéaste suisse Jean-Pierre Goretta est allé à sa rencontre pour le compte de l'émission « Temps Présent » diffusée le 24 février 1972 par la Télévision suisse romande, devenue Radio télévision suisse depuis le 1er janvier 2010. Le vieil homme raconte son quotidien. Ce reportage constitue un témoignage d'un style de vie montagnard en semi-autarcie en voie de disparition. Ce document a été diffusé à l'antenne sous le titre original : « Monsieur Pellaton ». Format : noir et blanc. Durée : 08:55.
 
- Portail de la psychologie
 - Portail de la sociologie
 - Portail des neurosciences
 
