Sarcome stromal endométrial
Le sarcome stromal endométrial représente moins de 10 % des sarcomes utérins.

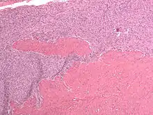
Anatomopathologie d'un sarcome stromal de l'endomètre
Sarcome stromal endométrial de bas grade
Macroscopie
- Tumeur à développement endométrial et myométrial.
- La composante intra-endométriale est de consistance molle, de coloration blanc-grisâtre, polypoïde.
- La composante intra-myométriale a des limites imprécises, réalisant des nodules ou des cordons.
- Présence de bourgeons endo-lymphatiques.
Microscopie
- Cellules identiques à celles du chorion endométrial à la phase proliférative.
- Moins de 10 mitoses /10 champs au fort grossissement mais parfois plus nombreuses.
- Présence de vaisseaux nombreux, à paroi épaisse et scléro-hyaline (en).
- Envahissement massif du myomètre avec emboles tumoraux lymphatiques et vasculaires possible.[réf. souhaitée]
Immunohistochimie
- RO+
- RP+
- Néprilysine CD10+
Sarcome stromal endométrial de haut grade (ou indifférencié)
Macroscopie
- Tumeur à développement endométrial et myométrial.
- Remaniements nécrotiques et hémorragiques.
Microscopie
- Prolifération de cellules atypiques dont la morphologie rappelle peu celle des cellules du chorion endométrial.
- Noyaux denses et atypiques, nucléolés, volumineux.
- Activité mitotique > 10 mitose /10 HPF.
- Infiltration anarchique et désordonnée du myomètre avec nécrose et hémorragie.
Immunohistochimie
- RO-
- RP-
- CD10+/-
Références
- Portail de la médecine
Cet article est issu de Wikipedia. Le texte est sous licence Creative Commons – Attribution – Partage à l’identique. Des conditions supplémentaires peuvent s’appliquer aux fichiers multimédias.