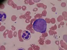
Promyélocyte
Les promyélocytes constituent, avec les métamyélocytes et les myélocytes des précurseurs des neutrophiles, la classe la plus importante de globules blancs.

Ces neutrophiles immatures se retrouvent normalement uniquement dans la moelle osseuse[1]. Dans le sang, ce sont les métamyélocytes qui sont le plus souvent observés, accompagnés de quelques myélocytes. L’observation de promyélocytes est très rare et souvent signe d’un cancer du sang. Les résultats sont exprimés en nombre (#) de promyélocytes et plus utilement en ratio de promyélocytes (fraction des globules blancs constituée de promyélocytes).
La présence transitoire d’une fraction de précurseurs de neutrophiles (surtout métamyélocytes et quelques myélocytes) inférieure à 0,05 (5 %) des globules blancs est généralement bénigne et peut se retrouver dans une infection, pendant la grossesse ou pendant la stimulation de la moelle osseuse pour corriger une anémie ou sortir d’une phase d’aplasie médullaire (très faible production de globules blancs, globules rouges et plaquettes par la moelle osseuse). La présence d’une fraction de l’ensemble des précurseurs supérieure à 0,10 (10 % des globules blancs) signale plus probablement un syndrome myéloprolifératif (leucémie myéloïde chronique, etc.). La présence à la fois de précurseurs des neutrophiles et des globules rouges (globules rouges nucléés, dacrocytes, etc.) peut signaler, entre autres, un envahissement de la moelle osseuse par de la fibrose myélofibrose ou par des métastases.
Notes et références
- « Définition de promyélocyte », sur universalis.fr (consulté le ).
- Portail de la biologie cellulaire et moléculaire