Paroi gastro-intestinale
La paroi gastro-intestinale entourant la lumière du tractus gastro-intestinal est composée de quatre couches de tissus spécialisés — de la lumière vers l'extérieur :
- Muqueuse ;
 - Sous-muqueuse ;
 - Couche musculaire ;
 - Séreuse (si le tissu est intrapéritonéal) ou Adventice (si le tissu est rétropéritonéal) - ces deux derniers types de tissu présentent une forme et une fonction légèrement différentes en fonction de la partie du tube digestif à laquelle ils appartiennent (voir la section ci-dessous pour plus de détails)
 
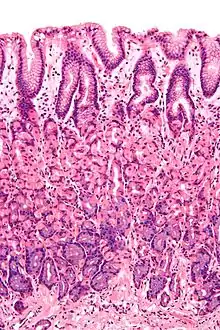
L'épithélium, la partie la plus exposée de la muqueuse, est un épithélium glandulaire avec de nombreuses cellules caliciformes. Les cellules caliciformes sécrètent du mucus lubrifiant qui facilite le passage des aliments et protège la paroi intestinale contre les enzymes digestives. Dans l’intestin grêle, les villosités sont des replis de la muqueuse qui augmentent la surface de l’intestin. Les villosités contiennent un canal chylifère, petit vaisseau connecté au système lymphatique qui aide à emporter lipides alimentaires et fluides tissulaires. Les microvillosités sont présentes sur l'épithélium d'une villosité et augmentent encore la surface par laquelle l'absorption peut avoir lieu. De nombreuses glandes intestinales sous forme d'invaginations en forme de poche sont présentes dans les tissus sous-jacents. Dans le gros intestin, les villosités sont absentes et une surface plane avec des milliers de glandes est observée. La lamina propria, qui contient les myofibroblastes, les vaisseaux sanguins, les nerfs et plusieurs types de cellules immunitaires, se trouve à la base de l'épithélium. La musculeuse muqueuse est une couche de muscles lisses qui favorise l'action du péristaltisme continu et de la catastase dans l'intestin.
La sous-muqueuse contient des nerfs comprenant le plexus sous-muqueux (plexus de Meissner), des vaisseaux sanguins, ainsi que des fibres élastiques avec du collagène qui s'étirent avec une capacité accrue tout en maintenant la forme de l'intestin.
La couche musculaire qui l'entoure est constituée de muscles lisses longitudinaux et circulaires qui contribuent également à la persistance du péristaltisme et au mouvement du matériel digéré hors et le long du tube digestif. Le plexus myentérique (en) (plexus d'Auerbach) se situe entre les deux couches du muscle.
Enfin, il y a la séreuse, ou l'adventice, selon la portion concernée du tube digestif, qui est constituée de tissu conjonctif lâche et recouverte de mucus afin d'éviter tout dommage dû aux frottements de l'intestin contre un autre tissu. Tout cela est maintenu par les mésentères qui suspendent l'intestin dans la cavité abdominale et l'empêchent d'être perturbé lorsqu'une personne est physiquement active.
Structure
    

Le tractus gastro-intestinal a une forme histologique générale avec quelques différences qui, selon les différentes portions, en reflètent la spécialisation en anatomie fonctionnelle.
La muqueuse
    

La muqueuse est la couche la plus interne du tractus gastro-intestinal. Elle entoure la lumière du tractus et entre directement en contact avec la nourriture digérée (chyme). La muqueuse elle-même est composée de trois couches [1]:
- L'épithélium est la couche la plus interne. C'est là que la plupart des processus digestifs, absorbants et sécrétoires se produisent.
 - La lamina propria est une couche de tissu conjonctif au sein de la muqueuse. Exceptionnellement cellulaire par rapport à la plupart des tissus conjonctifs.
 - La muscularis mucosae est une fine couche de muscles lisses.
 
Épithélium
    
Les muqueuses sont hautement spécialisées dans chaque organe du tractus gastro-intestinal pour faire face aux différentes conditions. La plus grande variation est observée dans l'épithélium[1]:
- Dans l'œsophage, le pharynx et le canal anal externe, l'épithélium est stratifié, squameux et non kératinisant, à des fins de protection.
 - Dans l’estomac, l’épithélium est une monocouche de cellules en colonne et s’organise en fosses et glandes gastriques pour traiter la sécrétion[1]. Dans l’intestin grêle, l’épithélium est une simple monocouche colonne et spécialisé dans l’absorption. L'épithélium est organisé en villosités intestinales, créant une bordure en brosse qui augmentent fortement la surface d'absorption. Chaque cellule a aussi des microvillosités. L'épithélium est donc organisé en plicae circulares et villosités et, de plus, les entérocytes ont des microvillosités à leur surface apicale. Cela crée une bordure en brosse qui augmente considérablement la surface d'absorption. L'épithélium est une monocouche en colonne avec des microvillosités. Dans l'iléon, il y a parfois des plaques de Peyer dans la lamina propria. Les glandes de Brunner se trouvent dans le duodénum mais pas dans d'autres parties de l'intestin grêle[1].
 - Dans le colon, l'épithélium est une monocouche en colonne et sans villosités. Les cellules caliciformes (ou en goblet), sécrétant du mucus, sont également présentes[1]. L'appendice a une muqueuse ressemblant au côlon mais est fortement infiltré de lymphocytes.
 
La transition entre les différents types d'épithélium se produit à la jonction entre l'œsophage et l'estomac, entre l’estomac et le duodénum, entre l’iléon et le caecum et à la ligne pectinée de l’anus[1].
Sous-muqueuse
    
La sous-muqueuse consiste en une couche dense et irrégulière de tissu conjonctif avec des vaisseaux sanguins, des lymphatiques et des nerfs se ramifiant dans la couche muqueuse et musculaire. Elle contient le plexus sous-muqueux et le plexus nerveux entérique situés à la surface interne de la couche musculaire[1].
Couche musculaire
    
La couche musculaire (également appelée muscularis propria [2]) est constituée de deux couches de muscle, la couche interne et la couche externe. Les muscles de la couche interne sont disposés en anneaux circulaires autour du tractus, tandis que les muscles de la couche externe sont disposés longitudinalement. L'estomac a une couche supplémentaire, une couche musculaire oblique interne[1]. Entre les deux couches musculaires se trouvent le plexus de plexus myentérique ou plexus d'Auerbach qui contrôle le péristaltisme. L'activité est initiée par les cellules du pacemaker (cellules interstitielles de Cajal). L'intestin a une activité péristaltique intrinsèque (rythme électrique basal) en raison de son système nerveux entérique autonome. Le rythme des contractions peut bien sûr être modulé par le reste du système nerveux autonome.
Les couches ne sont pas vraiment longitudinales ou circulaires, mais les couches de muscle sont hélicoïdales avec des pas différents. La circulaire intérieure est hélicoïdale avec un pas serré et la longitudinale extérieure est hélicoïdale avec un pas beaucoup plus large.
La contraction coordonnée de ces couches s'appelle le péristaltisme et propulse la nourriture à travers le tractus intestinal. La nourriture dans le tractus gastro-intestinal s'appelle un bolus (boule de nourriture) de la bouche à l'estomac. Après l'estomac, la nourriture est partiellement digérée et semi-liquide, elle est alors appelée chyme. Dans le gros intestin, la substance semi-solide restante est appelée fèces. La couche musculaire circulaire empêche les aliments de remonter et la couche longitudinale raccourcit le tractus.
L'épaisseur de la couche musculaire varie dans chaque partie du tractus:
- Au niveau du côlon, par exemple, la couche musculaire est beaucoup plus épaisse car les fèces sont volumineuses et lourdes et nécessitent plus de force pour les faire avancer. La couche longitudinale externe du côlon se divise en 3 bandes longitudinales discontinues, appelées taeniae coli (bandes du côlon). C'est l'une des 3 caractéristiques qui permettent de distinguer le gros et le petit intestin.
 - Parfois, dans le gros intestin (2 à 3 fois par jour), il se produit une contraction massive de certains segments, entraînant le déplacement de nombreuses matières fécales. C'est généralement lorsque l'on ressent l'envie de déféquer.
 - Le pylore de l'estomac présente une partie épaissie de la couche circulaire interne: le sphincter pylorique. Seul dans le tractus gastro-intestinal, l’estomac possède une troisième couche de fibres musculaires. C’est la couche interne oblique, elle aide à brasser le chyme dans l’estomac.
 
Séreuse et Adventice
    
La couche la plus externe du tractus gastro-intestinal est constituée de plusieurs couches de tissu conjonctif et est soit adventice soit séreuse[1],[3].
Les régions intrapéritonéales du tube digestif (ou parties suspendues par le péritoine) sont recouvertes de séreuse. Cette structure est constituée de tissu conjonctif recouvert d'un simple épithélium squameux, appelé mésothélium, qui réduit les forces de friction lors des mouvements digestifs. Les régions intrapéritonéales comprennent la majeure partie de l’estomac , la première partie du duodénum, l’intestin grêle, le caecum et son appendice, le côlon transverse, le côlon sigmoïde et le rectum. Dans ces portions de l'intestin, il y a une frontière claire entre l'intestin et le tissu environnant. Ces parties du tractus possèdent un mésentère.
Les régions rétropéritonéales du tube digestif (c'est-à-dire les parties qui sont fermement attachées aux structures environnantes par les fibres du tissu conjonctif) sont recouvertes par l'adventice. Elles se fondent dans le tissu environnant et sont fixées (par exemple, la section rétropéritonéale du duodénum passe généralement par le plan transpylorique. Les régions rétropéritonéales comprennent la cavité buccale, l'œsophage, le pylore de l'estomac, le duodénum distal, le côlon ascendant, le colon descendant et le canal anal.
Pertinence clinique
    
Les maladies inflammatoires chroniques de l'intestin affectent les couches du tractus gastro-intestinal de différentes manières. La colite ulcéreuse implique la muqueuse colique. La maladie de Crohn peut provoquer une inflammation dans toutes les couches de toute partie du tractus gastro-intestinal et peut entraîner des fistules transmurales.
Un ulcère perforé est un ulcère qui a érodé toutes les couches du tractus gastro-intestinal.
L'invasion des tumeurs à travers les couches de la paroi gastro-intestinale est utilisé dans la classification TNM (staging de la propagation de la tumeur) qui est associée au pronostic.
L'épaisseur normale de la paroi de l'intestin grêle est de 3 à 5 mm[4] et de 1 à 5 mm dans le gros intestin[5]. L'épaississement focal de la paroi gastro-intestinale, irrégulière et asymétrique suggère une malignité[5]. L’épaississement de la paroi gastro-intestinale segmentaire ou diffuse est le plus souvent dû à une maladie ischémique, inflammatoire ou infectieuse[5].
Images supplémentaires
    
Références
    
- Barbara Young ... [et al.]; drawings by Philip J. Deakin, Wheater's functional histology : a text and colour atlas, Edinburgh?, , 5e éd., 437 p. (ISBN 978-0-443-06850-8, lire en ligne)
 - « Oral: Four layers of the G.I. tract », The Histology Guide, University of Leeds (consulté le )
 - Gartner and Hiatt;, Color Atlas and Text of Histology, Baltimore, , 6e éd., 512 p. (ISBN 978-1-4511-1343-3, lire en ligne)
 - Ali Nawaz Khan, « Small-Bowel Obstruction Imaging », Medscape (consulté le ) Updated: Sep 22, 2016
 - Fernandes, Oliveira, Castro et Araújo, « Bowel wall thickening at CT: simplifying the diagnosis », Insights into Imaging, vol. 5, no 2, , p. 195–208 (ISSN 1869-4101, DOI 10.1007/s13244-013-0308-y)
 
- Portail de la biologie
 


