Molluscum contagiosum
Le molluscum contagiosum est une lésion dermatologique contagieuse induite par un virus de la famille des pox virus. La lésion est caractérisée par une papule arrondie ombiliquée de quelques millimètres de diamètre (le plus souvent de 1 à 4 mm, parfois jusqu'à 8 mm), généralement non prurigineuse (qui ne cause pas de démangeaisons), d'où une matière blanchâtre (composée de cellules épidermiques altérées) sort parfois à la pression[7].
Ce sont les enfants qui sont le plus souvent touchés par une insuffisance de défense immunitaire contre le virus, de la famille des Poxviridae, responsable de la dissémination des lésions.



Contamination
Le virus du molluscum contagiosum est transmis par un contact direct de la peau avec une autre personne contaminée, après une période d'incubation de deux semaines à six mois. Les circonstances de contagion sont retrouvées à la garderie ou à l'école, lors de la fréquentation de piscines publiques, lors de bains collectifs et aussi au cours de sports de contact (promiscuité et peaux en contact). Bien que cela soit plus rare, l'utilisation d'objets ayant été en contact avec le virus (comme des serviettes de toilette) peut également transmettre l'infection.
Les molluscum peuvent aussi toucher l'adolescent et l'adulte avec transmission par voie sexuelle quand la localisation se situe au niveau du pubis ou des régions génitales. À noter que cette lésion peut être associée à une infection par le VIH durant sa phase chronique. Sa dissémination autour des lésions primitives est favorisée par le grattage.
Microscopie
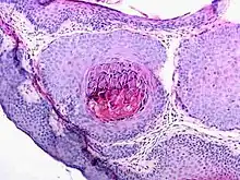
Le molluscum contagiosum réalise une lésion épidermique cratériforme. L'épiderme est épaissi et s'invagine en formant une masse volumineuse constituée de lobules piriformes convergeant vers un puits central[8]. Ces lobules sont constitués de cellules malpighiennes qui contiennent des corps molluscaires basophiles. De la périphérie vers le centre, les cellules perdent leur noyau, deviennent volumineuses, ovoïdes avec un cytoplasme fortement éosinophile devenant basophile. Cet aspect très caractéristique est dû à l'effet pathogène d'un poxviridé. En fonction des incidences de coupe, seules des masses dermiques sans connexion avec l'épiderme peuvent être visibles et ne doivent pas être confondues avec une tumeur.
Traitement
Un molluscum contagiosum guérit le plus souvent spontanément. Les molluscum disparaissent souvent chez le jeune enfant au bout de plusieurs mois quand le corps commence à développer une résistance. On parle typiquement de 6 mois à 4 ans, à cause de l'auto-contamination. D'autres conditions dermatologiques sont alors à considérer : par exemple l'eczéma augmente les risques d'une auto-contamination, donc l'augmentation du nombre de molluscum. De plus, le molluscum étant contagieux, un traitement rapide évite de contaminer d'autres personnes, en particulier les autres enfants d'une garderie ou une école.
Les dermatologues français sont généralement favorables aux traitements physiques afin d'éviter la dissémination du molluscum contagiosum et de réduire l'auto-contamination :
- Ablation à la curette de toutes les lésions, de préférence sous anesthésie locale. Cette méthode est très efficace ; elle est normalement pratiquée par un médecin, mais peut aussi être faite à la maison. Un rappel rapide de toute nouvelle croissance permet d'éliminer rapidement toutes les lésions. Lorsqu'un analgésique en crème est appliqué, l'opération est sans douleur. Le saignement est relativement important (visuellement cela peut impressionner les parents, mais les volumes sont négligeables pour la santé de l'enfant).
- Cryothérapie (azote liquide) : de préférence pour les enfants sous anesthésie locale (en crème). Efficace, elle demande de bien brûler chacune des lésions, si une trop grande zone est brulée elle peut laisser des cicatrices. Moins rapide que l'ablation à la curette, ce traitement est approprié pour un petit nombre de lésions.
- Crèmes locales : à base de rétinoïdes ou de cantharidine ; de nouveaux traitements à base d'imiquimod ou de substances antivirales (cidofovir) sont en cours d'évaluation.
- Des traitements locaux à base d'hydroxyde de potassium sont proposés sans preuve d'efficacité[9]
- Huiles essentielles de Backhousia citriodora (myrte citronnée)[10] ou de Melaleuca alternifolia (arbre à thé)[11].
Voir aussi
Articles connexes
Notes et références
- « Transmission », sur www.cdc.gov (consulté le ).
- (la) « Risk Factors », sur www.cdc.gov (consulté le ).
- (en) « Molluscum Contagiosum », sur www.cdc.gov (consulté le ).
- (de) « Viral Skin Diseases », sur www.sciencedirect.com (DOI 10.1016/j.pop.2015.08.006, consulté le ).
- (en) « Prevention », sur www.cdc.gov (consulté le ).
- « Treatment Options », sur www.cdc.gov (consulté le ).
- Molluscums contagiosums - Attendre leur disparition spontanée : une option raisonnable. Rev. Prescrire 2015 ; 35 (378) : 276-278.
- J-F. Cuny, « Molluscum contagiosum », sur www.therapeutique-dermatologique.org, (consulté le )
- (en) Johannes C van der Wouden, Sander Koning, Lisette WA van Suijlekom-Smit, Marjolein Berger, Christopher Butler, Jack Menke et Sanjay Gajadin, « Interventions for cutaneous molluscum contagiosum », The Cochrane Library, (DOI 10.1002/14651858.CD004767.pub2)
- (en) Burke BE, Baillie JE, Olson RD, « Essential oil of Australian lemon myrtle (Backhousia citriodora) in the treatment of molluscum contagiosum in children », Biomed Pharmacother, vol. 58, no 4, , p. 245-7 (PMID 15183850)
- (en) Markum E, Baillie J, « Combination of essential oil of Melaleuca alternifolia and iodine in the treatment of molluscum contagiosum in children », J Drugs Dermatol, vol. 11, no 3, , p. 349-54 (PMID 22395586)
- Portail de la médecine