Mastocytome
Le mastocytome est la tumeur cutanée la plus fréquente chez le chien (près de 20 % de toutes les tumeurs cutanées). Cette tumeur atteint principalement le derme et le tissu sous-cutané. Certains cas de mastocytomes ont été décrits au niveau de la conjonctive, de la glande salivaire, du naso-pharynx, du larynx, de la cavité buccale, de l’urètre et de la colonne vertébrale. Le potentiel métastatique des mastocytomes est variable et grandement influencé par le grade histologique. Les mastocytomes viscéraux (ou mastocytose systémique) atteignent principalement le tractus gastro-intestinal, le foie et la rate. Cette forme viscérale reste peu fréquente chez le chien.

Les mastocytomes sont des tumeurs malignes qui envahissent localement les tissus (la tumeur s'étend au-delà de la masse) mais ont aussi tendance à métastaser, principalement lorsque de grade histologique élevé. La plupart des mastocytomes métastasent d’abord au nœud lymphatique local ou régional, puis à la peau et, enfin, à la rate, au foie et à la moelle osseuse.
Races de chien prédisposées au mastocytome
Les races de chiens prédisposées au mastocytome comprennent les boxers, les terriers de Boston, les bull terriers, les bullmastiffs, les cockers spaniel, le staffordshire terriers, les fox-terriers, les bulldogs anglais, les teckels, les retrievers, les beagles, les schnauzers, les carlins, les Shar Peis, les Rhodesian Ridgebacks, les braques de Weimar et les bergers australiens.
Examens complémentaires
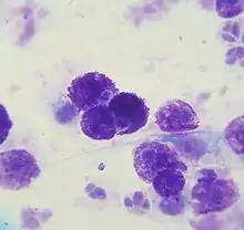
- Cytoponction :
La cytoponction à l’aiguille fine est le premier examen complémentaire réalisé lors de la détection d’une masse cutanée à l’examen clinique. En effet, l’observation de matériel de ponction au microscope conduit à un diagnostic correct de mastocytome dans 92 à 96 % des cas.
- Bilan d'extension :
Lorsque le diagnostic est établi, il est recommandé de réaliser un bilan d’extension pré-chirurgical. Ce dernier comprendra systématiquement une analyse sanguine (numération de formule et biochimie) et l'évaluation des nœuds lymphatiques drainant la région du mastocytome par ponction à l'aiguille et cytologie. Il est souvent complémenté d'une échographie abdominale. Toutefois, comme le mastocytome n'est pas une tumeur se disséminant aux poumons (une exception parmi les cancers), les radiographies thoraciques sont recommandées afin de compléter le bilan de santé plutôt que pour y découvrir d'éventuelles métastases.
Traitement du mastocytome canin
Le traitement chirurgical est généralement le traitement de choix. Une exérèse large peut être curative, surtout lors de mastocytome de faible grade. La recommandation classique est de prendre de 1 à 3 cm de marges saines selon le grade, la taille, la localisation. Cela peut nécessiter de faire une reconstruction cutanée complexe avec lambeaux cutanés. Il est donc important de s'adresser au bon endroit et l'expérience du chirurgien peut avoir un impact direct . En cas de récidive, ceci est d'autant plus important car la deuxième chirurgie sera encore plus délicate. Il est important que le vétérinaire prenne plusieurs précautions lors de la chirurgie.
Si les marges chirurgicales ne sont pas bonnes (incomplètes) ou si la tumeur est trop agressive d'après l'histologie, alors une chimiothérapie ou de la radiothérapie peuvent être réalisées. L'électrochimiothérapie est une nouvelle modalité thérapeutique utile dans certains cas de mastocytomes.
Pronostic
Il dépend de la nature exacte de la masse : les mastocytomes sont classés en plusieurs grades. Les grades I (faible) et certains grade II (intermédiaire) ont un bon pronostic si une chirurgie est bien réalisée.
Les grades II et certains grade III (élevé) ont un moins bon pronostic, vu le potentiel de récidive locale et de dissémination métastatique plus élevé, mais peuvent être contrôlé avec une chirurgie avec ou sans chimiothérapie ou radiothérapie. Il est utile de consulter avec un oncologue vétérinaire afin d'établir le plan de traitement optimal.
- Portail des canidés
- Portail de la médecine vétérinaire