Mastoïdite
Une mastoïdite est une inflammation de la mastoïde. Il s'agit d'une forme de complication de l'otite, pouvant survenir en raison de la communication entre les cavités de l'oreille moyenne et celles de la mastoïde.

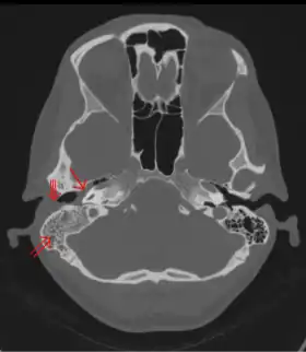
Tomodensitométrie: Otite moyenne (flèche simple) et mastoïdite (flèche double) du côté droit (côté gauche de l'image). Le conduit auditif externe est partiellement occupé par la suppuration (flèche triple). Femme de 44 ans.
Certaines mastoïdites peuvent nécessiter une intervention chirurgicale ORL (mastoïdectomie).
- Portail de la médecine
 
    Cet article est issu de Wikipedia. Le texte est sous licence Creative Commons – Attribution – Partage à l’identique. Des conditions supplémentaires peuvent s’appliquer aux fichiers multimédias.