Métaplasie
En anatomie pathologique, la métaplasie est la transformation d'un tissu cellulaire différencié en un autre tissu cellulaire différencié. Il s'agit d'un phénomène adaptatif et réversible qui se produit le plus souvent en réponse à une agression tissulaire répétée et prolongée (inflammation, irritation mécanique ou chimique, infection), le tissu de remplacement étant mieux armé que le tissu original contre ladite agression.

Dans la métaplasie, la structure et la fonction du nouveau tissu sont strictement normales, ce qui la distingue de la dysplasie (ou état précancéreux), bien qu'elle puisse évoluer secondairement vers ce stade si l'agression persiste.
Exemples de métaplasie en pathologie humaine
La métaplasie ne peut être affirmée que par l'examen microscopique d'un prélèvement tissulaire. En pathologie humaine on la rencontre principalement dans quatre situations :
Bronches
L'exposition chronique à la fumée de tabac et/ou à d'autres substances carcinogènes est responsable de la transformation de l'épithélium glandulaire normal de la muqueuse bronchique en épithélium malpighien (métaplasie malpighienne). L'étape suivante est l'apparition d'une dysplasie, puis d'un carcinome malpighien.
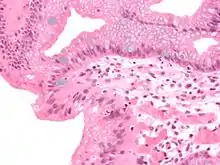
Col de l'utérus
L'infection par un papillomavirus peut conduire à l'intégration dans le génome de la cellule de particules virales qui vont entrainer une modification de l'épithélium cervical. Le frottis de dépistage, réalisé périodiquement selon les recommandations en vigueur, soit tous les 3 ans s'il n'y a pas d'antécédents pathologiques, permet de dépister les lésions précancéreuses, de façon à permettre la prise en charge précoce et adaptée de la patiente.
Par contre, la métaplasie du col (mature ou immature), n'est pas pathologique.
Œsophage
Dans le reflux gastro-œsophagien pathologique, la muqueuse du tiers inférieur de l'œsophage est exposée de façon chronique au pH acide du liquide gastrique, contre lequel elle n'est pas protégée. On peut assister à la transformation de l'épithélium malpighien normal en un épithélium glandulaire de type intestinal (métaplasie intestinale), donnant un endobrachyœsophage (ou œsophage de Barett), qui peut dans certains cas évoluer vers un adénocarcinome et nécessite donc une surveillance endoscopique.
Estomac
Une métaplasie similaire à celle décrite ci-dessus pour l'œsophage peut être rencontrée en bordure d'un ulcère gastrique, en particulier lorsque Helicobacter pylori est en cause. L'évolution possible vers un cancer justifie ici aussi une surveillance endoscopique.
Autres exemples
La métaplasie peut se rencontrer dans tous les tissus (métaplasie myéloïde, métaplasie osseuse, etc.), sauf dans les tissus nerveux ou musculaires.
Notes et références
Liens externes
- Notices dans des dictionnaires ou encyclopédies généralistes :
- Ressources relatives à la santé :
- Portail de la médecine