Hémarthrose

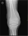
L'hémarthrose est un épanchement de sang dans une cavité articulaire consécutif d'une lésion ligamentaire, d'une fracture osseuse ou encore d'une atteinte du cartilage osseux[1]. Cette physiopathologie est caractéristique des personnes atteintes d'hémophilie sévère et dans une moindre mesure chez les formes modérées, car chez les hémophiles, l’absence ou l’altération d’un des facteurs de la coagulation (VIII ou IX selon le type d’hémophilie) perturbe le processus de la coagulation, au point qu’un traumatisme minime peut provoquer un saignement prolongé[2]

Étymologie

Le mot hémarthrose est formé à partir du grec ancien αἷμα (aíma), « sang » et ἄρθρον (árthron), « articulation ».

Conséquences

Près d'un quart des lésions sévères des ligaments et des genoux capsulaires entraînant une hémarthrose sont associées à des lésions cartilagineuses pouvant mener à une arthrite dégénérative progressive.

Notes et références

  • icône décorative Portail de la médecine
  • icône décorative Portail de l’hématologie
Cet article est issu de Wikipedia. Le texte est sous licence Creative Commons – Attribution – Partage à l’identique. Des conditions supplémentaires peuvent s’appliquer aux fichiers multimédias.