Crise de la vache folle
La crise de la vache folle est une crise sanitaire devenue socio-économique caractérisée par l'effondrement de la consommation de viande bovine dans les années 1990, car les consommateurs se sont inquiétés de la transmission de l'encéphalopathie spongiforme bovine (ESB) à l'homme via l'ingestion de ce type de viande.

Cette maladie est une infection dégénérative du système nerveux central des bovins. C'est une maladie mortelle, analogue à la tremblante des ovins et des caprins, causée par un prion. Une épizootie importante a touché le Royaume-Uni, et dans une moindre mesure quelques autres pays, entre 1986 et les années 2000, infectant plus de 190 000 animaux, sans compter ceux qui n'auraient pas été diagnostiqués.
Cette épidémie trouverait son origine dans l'utilisation pour l'alimentation des bovins de farines animales, obtenues à partir de parties non consommées des carcasses bovines et de cadavres d'animaux. L'épidémie a pris une tournure particulière quand les scientifiques se sont aperçus en 1996 de la possibilité de transmission de la maladie à l'homme par le biais de la consommation de produits carnés.
La maladie a fait, au 24 janvier 2017, 223 victimes humaines dans le monde — dont 177 au Royaume-Uni et 27 en France —[1], touchées par des symptômes proches de la maladie de Creutzfeldt-Jakob, une maladie de même nature que l'ESB.
Relayée auprès du grand public par les médias, la crise éclate en 1996. Elle mêle à la fois des aspects éthiques, avec la prise de conscience des consommateurs de certaines pratiques courantes en élevage mais qu'ils ignoraient comme l'utilisation des farines animales, et économiques du fait de la chute de consommation de viande bovine qui s’ensuivit et du coût des différentes mesures adoptées.
Diverses mesures ont été prises pour enrayer l'épidémie et préserver la santé humaine, comme l'interdiction d'utiliser les farines animales dans l'alimentation du bétail, le retrait de la consommation des produits considérés à risque, voire de certains animaux (animaux âgés de plus de 30 mois au Royaume-Uni), le dépistage de la maladie en abattoir et l'abattage systématique des troupeaux où un animal malade a été observé.
Aujourd'hui, l'épidémie est presque complètement[pas clair] enrayée, malgré 37 cas bovins encore diagnostiqués au Royaume-Uni en 2008.
Le 23 mars 2016 un nouveau cas de vache folle est détecté en France dans le département des Ardennes. Il s'agit du troisième cas isolé d’ESB de ce type détecté en Europe depuis 2015[2].
D'autres cas humains pourraient néanmoins apparaître dans le futur car le temps d'incubation de la maladie peut être long. La crise de la vache folle laisse comme héritage une amélioration des pratiques dans la filière bovine, à travers le retrait de certaines parties de la carcasse à l'abattoir lors de la découpe, mais aussi une traçabilité renforcée des animaux. En santé publique, cette crise a également entraîné le renforcement du concept de principe de précaution.
Épidémiologie
La maladie a été identifiée pour la première fois en Grande-Bretagne en 1986.
Symptômes
%252C_typical_amyloid_plaques%252C_H%2526E.jpg.webp)
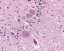
L’ESB affecte le cerveau et la moelle épinière des bovins. Elle provoque des lésions cérébrales qui se caractérisent par des altérations à allure spongieuse visibles au microscope optique, correspondant à des neurones qui se sont vacuolisés. Il y a une perte de neurones plus ou moins importante, et une multiplication des astrocytes, ainsi que des cellules de la microglie (des cellules du cerveau à fonction immunitaire). Les agents pathogènes s'amassent pour former des plaques amyloïdes caractéristiques, quoique moins présentes que pour d'autres encéphalopathies spongiformes transmissibles[3].
Les symptômes extérieurs apparaissent généralement 4 à 5 ans après la contamination, et toujours sur des animaux de plus de 2 ans (entre 3 et 7 ans généralement). Ils se manifestent au début par une modification du comportement de l'animal (nervosité et agressivité[4]), qui peut parfois donner des coups de pied, manifester une appréhension et une hypersensibilité aux stimulations externes (bruit, toucher, éblouissement) et s'isoler du reste du troupeau. L'animal atteint voit généralement sa production laitière et son poids décroître, alors que son appétit ne diminue pas. L'évolution peut durer d'une semaine à un an, les différentes phases de la maladie étant d'une durée variée d'un animal à un autre. Au stade ultime d'évolution, l'animal a de véritables troubles de la locomotion. Il perd fréquemment l'équilibre, sans parvenir parfois à se relever.
Du point de vue physiologique, on observe une tachycardie et une absence de fièvre. Cependant, l'apparition de ces symptômes ne permet pas à coup sûr de détecter un cas d'ESB. En effet, les troubles locomoteurs, par exemple la tétanie d'herbage, sont fréquents chez les bovins, et le diagnostic de la maladie est donc difficile[5].
Un agent pathogène non conventionnel
La nature réelle de l'agent infectieux fait débat. La théorie maintenant largement admise par la communauté scientifique est celle du prion, une protéine qui, dans le cas de la maladie, adopte une conformation anormale pouvant se transmettre à d'autres protéines prions saines. Une théorie alternative est l'agent viral, qui expliquerait plus facilement la capacité de l’agent à générer de multiples souches.[réf. nécessaire] C'est une forme dite résistante du prion (PRoteinasceous Infectious ONly) qui est responsable de la maladie. Les protéines s'accumulent dans le cerveau pour finir par provoquer la mort du neurone, et ainsi la formation de plaques amyloïdes[6].
Comme le prion est une protéine, il n'a pas de métabolisme propre et il est donc résistant à la congélation, à la dessiccation et à la chaleur aux températures normales de cuisson, même celles atteintes pour la pasteurisation et la stérilisation[7]. En effet, le prion doit, pour être détruit, être chauffé à une température de 133 °C pendant 20 minutes à 3 bars de pression[8].
Origines de l'épizootie
L'apparition de l'agent pathogène de l'ESB n'est pas connu avec certitude. Deux hypothèses sont largement soutenues. La première en date considère que la maladie provient d'une contamination interspécifique à partir d'une maladie proche, la tremblante du mouton. La possibilité de transmission interspécifique de la tremblante a été prouvée expérimentalement, mais les troubles cliniques et neuropathologiques associés à la maladie diffèrent de ceux de l'encéphalopathie spongiforme bovine. C'est ce constat qui a conduit à la formulation d'une seconde hypothèse, suivant laquelle la maladie est endémique à l'espèce bovine et très faiblement répandue avant qu'elle ne soit amplifiée au milieu des années 1980[7]. La description dans une revue vétérinaire de 1883 d'un cas de tremblante chez un bovin est un argument utilisé par les défenseurs de cette seconde théorie, bien que ce cas puisse correspondre à une tout autre maladie neurologique[9]. De nombreuses autres théories plus ou moins crédibles s'immiscent régulièrement dans le débat, sans qu'aucune n'émerge réellement.

L'épidémie de la maladie de la vache folle prend certainement ses racines dans le recyclage des carcasses d'animaux par les équarrisseurs. Les parties d'os et de viande non utilisées dans l'alimentation humaine et les animaux morts ramassés en ferme, qui constituent les principaux déchets de l'industrie de la viande bovine, sont séparés des graisses par cuisson avant d'être réduits en poudre.
Avant l'apparition des cas d'ESB, les farines animales[note 1] ainsi obtenues étaient largement utilisées dans l'alimentation du bétail. En effet, elles sont à la fois riches en énergie et en protéines, et sont très bien digérées par les ruminants. Elles étaient donc très utilisées chez les bovins, et plus particulièrement chez les vaches laitières[10]. C'est la consommation par les bovins de farines animales issues de tissus calcinés provenant de bovins ou d'ovins (suivant l'hypothèse retenue), comme la cervelle et la moelle épinière, et contaminés par l'agent de l’ESB qui est responsable de l'apparition de l'épidémie[7].
Initialement, le processus de fabrication des farines utilisait des hautes températures de stérilisation et une étape d'extraction des graisses par solvants organiques qui permettaient, sans que personne le soupçonne, de détruire le prion. Mais vers le milieu des années 1970, certains techniciens britanniques décident d'abaisser la température et la durée de dessiccation de ces farines pour améliorer la qualité nutritive du produit fini. En raison de considérations environnementales (rejet d'hexane dans la nature), l'étape d'extraction des graisses par solvants est éliminée en 1981. Ces modifications dans le protocole ont essentiellement vocation à améliorer la rentabilité économique, d'une part en préservant mieux les protéines contenues dans les farines, d'autre part en diminuant les coûts en matière de solvants et d'énergie utilisés, qui avaient très largement augmenté après les deux chocs pétroliers de 1973 et 1979[11].
Par ailleurs, le changement de processus de fabrication avait été accéléré par un accident, lié à la manipulation du solvant par le personnel, survenu dans une des principales usines anglaises de fabrication de farines animales : cela avait entraîné un renforcement des mesures de sécurité dont le coût était élevé. Cette modification des pratiques semble être à l'origine de l'épidémie. Le prion était recyclé dans les farines animales avant qu'il soit distribué à grande échelle dans les aliments du bétail, et que les animaux contaminés ne soient, à leur tour abattus et, réduits en farines pour continuer à amplifier le phénomène[6].
On soupçonne également l'existence d'une voie de contamination mère-veau, qui pourrait représenter jusqu'à 10 % des contaminations[5].
Pour expliquer la rémanence de l'épidémie après que des mesures draconiennes sont prises, les scientifiques cherchent une éventuelle troisième voie de contamination qui n'est aujourd'hui toujours pas trouvée. Parmi les rares hypothèses crédibles on recense la contamination par le biais d'acariens du fourrage, phénomène qui été observé une fois pour la tremblante du mouton. Cette hypothèse, comme toutes celles qui mettent en jeu un agent de transmission extérieur, est peu vraisemblable car seul le système nerveux central est contaminant chez les bovins et le prion n’est pas excrété par les vaches malades. D’autres hypothèses ont fait état d’une contamination par l’eau polluée par les centres d’équarrissage ou par le sol où ont été épandues des matières fertilisantes à base de farines animales, sans aucune preuve tangible[12].
Une épizootie centrée sur la Grande-Bretagne

L’encéphalopathie spongiforme bovine fait son apparition au Royaume-Uni en novembre 1986, lorsque le laboratoire vétérinaire central britannique découvre dans un élevage du Surrey une vache présentant des symptômes neurologiques atypiques. Les examens de ses tissus nerveux révèlent une vacuolisation de certains neurones formant des lésions caractéristiques de la tremblante du mouton. Les chercheurs concluent alors à l'existence d'une nouvelle forme d’encéphalopathie subaiguë spongiforme transmissible (ESST), infectant les bovins. C'est ainsi que naît l'encéphalopathie spongiforme bovine (ESB), également connue sous le nom de maladie de la « vache folle »[9].
Le nombre de cas, d’abord faible à la fin de l'année 1986, augmente rapidement. On compte 50 cas par semaine au milieu de l'année 1988, puis 80 cas par semaine en octobre de la même année. Le rythme hebdomadaire continue à s'élever, pour atteindre les 200 cas hebdomadaires à la fin de l'année 1989, 300 en 1990, jusqu'à atteindre un pic en 1992 et 1993 avec plus de 700 nouveaux cas par semaine et 37 280 animaux malades pour la seule année 1992. Après 1993 l'épidémie commence à régresser rapidement.
Toutefois, 20 ans plus tard, la maladie n'a toujours pas complètement disparu sur le territoire britannique : 67 cas ont été recensés en 2007 et 37 en 2008. Au total, ce ne sont pas moins de 184 588 animaux qui ont contracté la maladie au Royaume-Uni[13].

La maladie a été exportée hors de Grande-Bretagne à partir de 1989, année où 15 cas se déclarent en Irlande. Dans la période 1989-2004, 4 950 cas sont recensés hors de Grande-Bretagne, essentiellement en Europe continentale, ainsi que :
- en Israël (un cas en 2002) ;
- au Canada (quatre cas dont un en 1993, deux en 2003 et un en 2007) ;
- au Japon (13 cas de 2002 à 2004) ;
- aux États-Unis (deux cas de 2004 à 2005 et un cas en 2006).
Grande-Bretagne mise à part, les pays les plus touchés sont :
- l'Irlande (1 488 cas) ;
- le Portugal (954 cas) ;
- la France (951 cas) ;
- l'Espagne (538 cas) ;
- la Suisse (457 cas) ;
- l'Allemagne (369 cas).
Dans l'ensemble des pays hors Grande-Bretagne le maximum de cas a été enregistré en 2001 (1 013 cas) et 2002 (1 005 cas). Au total, on répertorie en avril 2009 un peu plus de 190 000 cas d'animaux touchés par la maladie[14].
Plusieurs hypothèses expliquent la diffusion de la maladie en dehors du Royaume-Uni. Tout d'abord, les farines animales fabriquées au Royaume-Uni et susceptibles d'être contaminées par le prion ont été exportées dans le monde entier. Ainsi, la France, l'Irlande, la Belgique, l'Allemagne, et plus tardivement le Danemark, la Finlande, l'Israël, l'Indonésie, l'Inde et dans de plus faibles proportions l'Islande et le Japon ont à un moment donné importé des farines animales britanniques susceptibles d'être contaminées. L'exportation d'animaux vivants, éventuellement porteurs sains de la maladie, est également une source de contamination suspectée. En effet, ces animaux entrent par la suite dans la fabrication des farines animales locales et génèrent de nouvelles contaminations[9].
Au Canada, il a suffi d'un seul cas en Alberta pour que les clients les plus importants, les États-Unis et le Japon, prennent des mesures de boycott très sévères.
L'incidence directe de cette maladie, malgré son côté spectaculaire et l'élimination systématique d'un troupeau où une bête malade est diagnostiquée, est restée relativement faible, puisque, même en Grande-Bretagne, elle n'a pas dépassé annuellement les 3 % du cheptel. La maladie touche principalement les vaches laitières[8].
Transmission interspécifique
À l'Homme
Il existe une forme d'encéphalopathie subaiguë spongiforme transmissible spécifique à l'homme, connue sous le nom de maladie de Creutzfeldt-Jakob (MCJ) qui est une dégénérescence du système nerveux central caractérisée par l'accumulation d'un prion. La période d'incubation se compte en années, voire en décennies avant qu'apparaissent des troubles de l'équilibre et de la sensibilité, puis une démence. L'issue est systématiquement fatale à échéance d'approximativement un an.
Cette maladie a plusieurs causes : la plupart des cas sont dits sporadiques, car l'origine est inconnue. Il existe également une transmission héréditaire (10 % des cas) et des contaminations iatrogéniques (c'est-à-dire dues à un processus opératoire) liées à l'utilisation d'hormones (comme dans l'affaire de l'hormone de croissance en France) ou de greffes de tissus cérébraux (dure mère) issus de cadavres de malades, ou encore, par l'utilisation d'instruments de chirurgie mal décontaminés (électrodes).
Les décès, par la maladie de Creutzfeldt-Jakob, d'éleveurs entre 1993 et 1995, avaient les premiers inquiété les scientifiques sur la probabilité de la transmission de l'ESB à l'homme, mais ils avaient alors conclu à des cas sporadiques sans lien avec la maladie animale[15].
C'est en 1996, lorsque deux Britanniques habitant au nord de Londres moururent d'une maladie qui semblait être à première vue la maladie de Creutzfeldt-Jakob que tout commença réellement. Stephen Churchill et Nina Sinnott, qui avaient respectivement 19 et 25 ans, étaient anormalement jeunes pour contracter cette maladie qui touche exclusivement les personnes âgées. C'est cela qui mit les chercheurs sur la voie d'une nouvelle maladie, notée nvMCJ, pour « nouveau variant de la maladie de Creutzfeldt-Jakob ».
Rapidement, un lien est soupçonné entre l'ESB, maladie animale et la nouvelle variante de la maladie de Creutzfeldt-Jakob, maladie humaine[note 2]. Ce lien a été démontré en laboratoire en comparant les plaques amyloïdes présentes dans le cerveau de singes auxquels on avait inoculé la maladie et celles des jeunes gens morts de la maladie, qui se sont révélées strictement identiques. La forme humaine de l'ESB ressemble sous ses grands traits à la maladie de Creutzfeldt-Jakob, mais s'en distingue par quelques différences cliniques et anatomiques. Ainsi, elle affecte des patients plus jeunes (âge moyen de 29 ans, contre 65 ans pour la maladie classique) et a une évolution relativement plus longue (médiane de 14 mois au lieu de 4,5 mois)[7]. La maladie peut être transmise à l'homme s'il consomme des tissus à risques (hors le muscle, donc la viande n'est pas à risques), issus d'animaux contaminés[9].
En juillet 2012, on estime que la maladie a fait 224 victimes, dont 173 au Royaume-Uni, 27 en France, 5 en Espagne, 4 en Irlande, 3 aux États-Unis, 3 aux Pays-Bas et 2 au Portugal. Le Japon, l'Arabie saoudite, le Canada et l'Italie ont chacun eu 1 cas[16].
Aux autres animaux domestiques

Lors de l'apparition de la maladie, on lui a souvent donné une origine ovine du fait de sa ressemblance avec la tremblante du mouton. Aujourd'hui, cette hypothèse a perdu un peu de son crédit. Toutefois, si on ne connaît pas l'origine exacte de la maladie, il reste certain qu'elle a une forte propension à traverser la barrière de l'espèce. Dès mai 1990, l'épidémie s'étend aux félidés avec la mort d'un chat domestique victime de la maladie, probablement contaminé par la nourriture, les aliments pour chats étant très souvent fabriqués à partir d'abats de bovins[note 3].
L'Agence française de sécurité sanitaire des aliments (AFSSA) a publié en mars 2005 un avis confirmant définitivement le risque d'ESB chez les petits ruminants (chèvres et moutons). Chez ces deux espèces, le risque de transmission à l'homme peut être plus élevé, car, outre la viande, le lait peut être contaminé.
L'Afssa juge insuffisantes les mesures de précaution prises ; le lait des troupeaux suspects n'étant pas testé, et une partie seulement des cadavres d'animaux suspects faisant l'objet de recherches sur les prions[17].
Historique
L'utilisation des farines animales dans l'alimentation des bovins existe depuis la fin du XIXe siècle. Aux yeux des éleveurs, elle ne semble pas contre nature car les vaches se révèlent être des carnivores opportunistes : elles consomment spontanément le placenta de leur nouveau-né, mangent des vers de terre et des insectes présents dans les fourrages qu'elles ingèrent, ou des cadavres de petits rongeurs ou d'oisillons. Cette pratique de les nourrir avec ces « compléments alimentaires » protéinés se développe particulièrement pendant la Seconde Guerre mondiale en Grande-Bretagne qui manque alors de ressources végétales, et s'intensifie dans les années 1950, avec le développement d'une agriculture productiviste visant au maximum de productivité[18].
1985-1996 : une longue période de latence
Tout commence en septembre 1985, quand le laboratoire vétérinaire du secrétariat d’État britannique de l’Agriculture signale l’apparition d'une maladie nouvelle aux symptômes étranges sur des bovins britanniques. Il faut attendre novembre 1986 pour que la nouvelle maladie soit identifiée comme l'encéphalopathie spongiforme bovine (ESB). Dès l’année suivante, on découvre que la maladie provient de l'incorporation de farines d'origine animale dans l'alimentation des ruminants[19].
À partir de 1988, l'ESB est soumise à déclaration obligatoire en Grande-Bretagne, et tous les bovins atteints d'ESB doivent être abattus et détruits à titre préventif. Les autorités britanniques interdisent de nourrir les bovins avec des farines d'origine animale. En 1989, la France prend la décision d’interdire les importations de farines animales britanniques. Le gouvernement britannique prend lui des mesures supplémentaires en interdisant à la consommation certains abats (cervelle, intestin, moelle épinière, etc.)[19]. La Communauté européenne interdit l'exportation de vaches anglaises de plus d'un an ou suspectées d'ESB.
En 1990, cette même Communauté européenne estime que les animaux atteints d'ESB ne sont pas dangereux pour la santé humaine. L'importation des viandes britanniques peut reprendre, ce que dénonce la France, qui continue à prendre des mesures de plus en plus strictes, imposant la déclaration obligatoire de bovins atteints d'ESB et interdisant l'utilisation des farines animales dans l'alimentation des bovins. Tout cela n’empêche pas en 1991 la découverte du premier cas de vache folle dans le pays, dans les Côtes d’Armor[19]. Le gouvernement ordonne d'abattre tout le troupeau si un animal est atteint.
En 1992, la Communauté européenne institue la « Prime Hérode » (allusion au gouverneur romain de Judée qui fut chargé de massacrer tous les nouveau-nés contemporains de la naissance du Christ) en compensation de l’abattage des veaux dès leur naissance pour lutter contre la surproduction de la « viande du lait », celle des veaux inducteurs de la lactation des vaches laitières, leurs carcasses entrant dans le « pet-food »[20]. Les chercheurs découvrent la possibilité de transmission de l'ESB à d'autres espèces.
- 1993 : La maladie atteint son point culminant au Royaume-Uni, en 1993, avec près de 800 cas par semaine. Des éleveurs britanniques en contact avec des vaches atteintes d'ESB meurent de la maladie de Creutzfeldt-Jakob.
- 1994 : l'Union européenne interdit les protéines issues de tissus bovins dans l'alimentation des ruminants et l'exportation de viande bovine provenant d'un élevage ayant eu un cas d'ESB.
- 1995 : plusieurs agriculteurs britanniques sont victimes de la maladie de Creutzfeldt-Jakob. Une nouvelle forme de cette maladie apparaît en Grande-Bretagne et en Allemagne. Les médias annoncent la possible transmission de l'ESB à l'homme.
1996 : la crise éclate
- 1996 : après la France et d'autres pays, l'Union européenne impose l'embargo sur tous les bovins et leurs produits dérivés provenant du Royaume-Uni. Le marché de la viande bovine est en chute libre. Plusieurs pays européens mettent en place un système d'identification national de la viande.
- 1997 : l’Union européenne se prononce pour la levée partielle de l’embargo sur les exportations des viandes bovines britanniques, ce que les pays membres estiment prématuré.
- 1998 : création en France du Comité national de sécurité sanitaire (CNSS), de l’Institut de veille sanitaire (InVS) et de l’Agence française de sécurité sanitaire des aliments (AFSSA).
- 1999 : la France refuse de lever l’embargo contrairement à la décision de la Commission européenne. Débat autour du principe de précaution.
- 2000 : l’Union européenne annonce le lancement d'un programme de tests rapides de diagnostic de l'ESB. En France, les supermarchés Carrefour demandent à leurs clients de rapporter la viande de bœuf achetée dans leurs rayons, soupçonnée de provenir d’animaux atteints de l’ESB.
Le Gouvernement suspend l’utilisation des farines de viande et d’os dans l’alimentation des porcs, des volailles, des poissons et des animaux domestiques. Le magazine Nature publie une étude britannique estimant que 7 300 animaux contaminés par l’ESB seraient entrés dans la chaîne alimentaire en France depuis 1987. Nouvelle crise de la vache folle.
Une seconde crise éclate en France en octobre 2000, lorsqu’un animal suspect est arrêté à l'entrée de l'abattoir de la SOVIBA. La viande issue des animaux du même troupeau abattus la semaine précédente[21] est immédiatement rappelée sur décision du distributeur Carrefour[note 4], appliquant, selon ses propres termes, un « principe de précaution extrême ». À nouveau, les médias s’emparent de l’affaire et la crise s’emballe[22]. Le , M6 diffuse lors d'une soirée spéciale, intitulée Vache folle, la grande peur, une longue enquête intitulée Du poison dans votre assiette, de Jean-Baptiste Gallot et produit par Tony Comiti [23], avec le témoignage d’une famille dont le fils est atteint de la forme humaine de la maladie de la vache folle[24]. Ce documentaire au fort retentissement médiatique, provoqua le surlendemain, le , lors d’une allocution solennelle à la télévision, l’intervention exceptionnelle du président de la république française, Jacques Chirac[25], demandant au gouvernement socialiste l’interdiction des farines animales[26]
- 2002 : la France annonce qu’elle lève l’embargo sur le bœuf britannique.
Crise socio-économique profonde
Crise sociale
Dès que les médias s'emparent de l'affaire et que le public découvre le problème, une violente crise éclate. Cette crise est avant tout marquée par le décalage qui apparaît évident entre l'idée que se faisaient les consommateurs et les pratiques des éleveurs. Le public découvre que dans les élevages, les vaches ne mangent pas que de l'herbe et des végétaux, mais aussi des compléments alimentaires d'origine minérale, de synthèse, ou animale. Le public a, dès lors, appliqué, à son échelle, le principe de précaution, entraînant une chute de la consommation de viande bovine et ainsi la transition d’une crise sociale à une crise économique. Les mesures prophylactiques prises par les autorités, très médiatisées et très impressionnantes, comme l’abattage de troupeau entier, loin de rassurer, contribuent à l'inquiétude, tandis que les exhortations des responsables politiques à garder son sang-froid et ne pas se priver de viande restent sans effets.
La maladie inquiète également car elle n’est pas localisée, comme certaines autres crises contemporaines, et se transmet par un acte d’apparence anodine : la consommation de viande de bœuf[27].
Rôle des médias
Les médias ont joué un rôle important dans le déclenchement de cette crise sociale. Depuis la fin de l’année 1995, le nombre croissant de cas inexpliqués de la maladie de Creutzfeldt-Jakob suscite les interrogations des scientifiques et une inquiétude croissante dans l’opinion publique britannique, dont la presse se fait alors le relais, mettant en garde contre la consommation de viande de bœuf et montrant clairement une volonté de briser le silence pesant sur le dossier jusque-là. C’est dans ce but que l'édition du Mirror du 20 mars 1996 annonce la déclaration officielle, que doit faire le secrétaire d'État, Stephen Dorrell, le soir même sur le lien potentiel entre l'ESB et la MCJ. Ce fait lance réellement la crise. Au printemps 1996, l’ESB est citée régulièrement dans la première partie des journaux télévisés, et fait les grands titres des magazines : « Alimentation : tous les dangers cachés » (L'Événement, avril 1996) ; « Alerte à la bouffe folle » (Le Nouvel Observateur, avril 1996) ; « Peut-on encore manger de la viande ? » (60 millions de consommateurs, mai 1996) ; « Jusqu'où ira le poison anglais ? » (La Vie, juin 1996) ; « Vaches folles : la part des risques, la part des imprudences » (Le Point, juin 1996)[22].
Il a pu être reproché à certains médias (lesquels ?) un manque (de quoi ?) vis-à-vis des évènements[28]. Toutefois, l'emprise sur les consommateurs n'aurait vraisemblablement pas été telle sans la crise de confiance qui apparut entre les consommateurs et les pouvoirs publics à l'occasion de la crise[29].
Conséquence sur la consommation de viande

Dès les premiers remous autour de la maladie au Royaume-Uni, c'est en Allemagne que les consommateurs réagissent les premiers en limitant leur consommation de viande bovine de 11 % en 1995[15]. Le Royaume-Uni connaît également une diminution précoce de la consommation, qui est, à compter de décembre 1995, inférieure de 15 à 25 % aux chiffres de l'année précédente. C'est surtout après que la crise a vraiment éclaté, fin mars 1996, que les consommateurs achètent moins de viande bovine par précaution, ce qui entraîne la chute du marché. Alors qu'en 1995, la consommation de viande bovine par habitant s'élevait en France à 27,7 kilos, les achats connaîtront une baisse d'environ 15 % en 1996, atteignant 25 % (45 % pour les abats) après l'annonce de la transmissibilité de l'ESB à d'autres espèces. Les viandes de volailles ont profité de la crise, enregistrant des hausses qui ont atteint 25 % pour le poulet et jusqu'à 33 % pour la pintade. La plupart des autres pays européens ont connu une baisse similaire, comme l'Allemagne, qui a vu la consommation de viande bovine, déjà atteinte, baisser de 32 % entre avril 1995 et avril 1996. Dans le même temps, la baisse était de 36 % en Italie[30].
Les producteurs de charcuterie qui utilisaient des intestins de bovins ont trouvé diverses alternatives : boyaux synthétiques, issus d’autres espèces comme le porc, le mouton ou le cheval ou en provenance de bovins importés de pays indemnes de la maladie[31].
Soutiens de la filière
La crise de la consommation intérieure, couplé avec le quasi-arrêt des exportations, a affecté sérieusement l’ensemble de la filière bovine française. Les éleveurs ont vu les cours des jeunes bovins diminuer fortement à partir de mars 1996, notamment du fait de l’arrêt des exportations qui constituaient leur principal débouché. Les cours sont repartis légèrement à la hausse à partir de juillet. Le cours des vaches a été moins affecté. L’offre était en effet limitée par l’embargo britannique et la possibilité pour les éleveurs de conserver les animaux sur la ferme. Le cours du broutard, après s’être effondré en avril, est remonté en mai grâce à l’intervention de la commission européenne qui a décidé de prélever en août 70 000 tonnes de carcasses de broutard (300 000 animaux environ) pour soutenir les prix[32],[33].
Face à l'ampleur de la crise pour la filière, le gouvernement français a pris diverses mesures pour en soutenir les acteurs et leur permettre de passer cette période difficile. Les professionnels de la filière bovine (négociants, abatteurs, tripiers, ateliers de découpe) ont bénéficié de procédures de report des cotisations sociales et prélèvements fiscaux. Des prêts bonifiés à un taux de 2,5 % par an ont pu être accordés aux entreprises de l'aval de la filière. De plus, on a créé un fonds de restructuration et de reconversion pour le secteur de la triperie et les petites et moyennes entreprises de la filière à l'amont de la distribution finale. Doté d'un crédit de 9 M€ et géré par l'OFIVAL (Office national interprofessionnel des viandes, de l’élevage et de l’aviculture), il a permis d'accompagner le regroupement d'entreprises, la reconversion de certaines d'entre elles, voire la cessation d'activité dans certains cas difficiles.
À la suite de la décision du Conseil européen de Florence du 25 juin 1996, la France a obtenu une enveloppe de crédits communautaires de 215 M€ pour aider ses éleveurs, ce qui permit notamment une augmentation des primes aux bovins mâles et un maintien des troupeaux de vaches allaitantes. Des primes complémentaires ont été distribuées au niveau départemental, et la trésorerie des éleveurs a été allégée par des prises en charge d'intérêts et de reports de cotisation sociale et de remboursements[6].
Impact des embargos
Les embargos commerciaux ont eu un fort impact sur les pays concernés. C'est en premier lieu le Royaume-Uni qui a souffert de l'embargo établi à son encontre par les pays d'Europe vers lesquels il exportait une quantité importante de viande bovine. L'arrêt de ces exportations, ainsi que des produits dérivés, couplé à la chute de la consommation intérieure a provoqué une crise sans précédent de la filière bovine britannique[30]. D'autres pays dans le monde ont subi la mise en place d'embargos. Ainsi, il a suffi d'un seul cas aux États-Unis en 2003 pour que la plupart des pays asiatiques, notamment le Japon (un tiers des exportations américaines[34]), prennent immédiatement des mesures commerciales vis-à-vis de la viande bovine américaine.
Au total, 65 nations ont stoppé leurs importations de viande américaine, dénonçant les insuffisances du système de contrôle américain. Il en a résulté une chute des exportations américaines, qui sont passées de 1 300 000 tonnes en 2003 à 322 000 tonnes en 2004, après qu'un cas de vache folle a été identifié. Elles ont depuis engagé une remontée pour atteindre 771 000 tonnes en 2007[35].
Crise éthique et critique philosophique
Elisabeth de Fontenay, philosophe, dans son livre Sans offenser le genre humain, réflexions sur la cause animale, considère que cette crise est avant tout éthique et révélatrice d'un « oubli de l'animal » :
« Les campagnes d'abattage, motivées par la crainte des épizooties, et particulièrement par l'encéphalite spongiforme bovine, due à l'absortion par des herbivores de farines carnées, ont donc été élégamment popularisées sous le nom de « crise de la vache folle » : sans doute pour ne pas avoir à désigner les fous que désormais nous sommes. Dans ces atteintes qui se transmettent à l'homme sous les noms de Creutzfeldt-Jakob et de symptôme respiratoire aigu sévère, la contagion lève la barrière interspécifique. (…) Est-ce vraiment faire preuve d'un antihumanisme forcené que d'être choqué par l'insistance exclusive des dirigeants et des médias sur les problèmes de santé publique et par la désinvolture qu'ils affichent face au destin cruel et absurde de ces bêtes détruites et brûlées massivement sur les bûchers ? Nous sommes trop souvent assiégés par des images et des desseins complaisants de bovins frappés de comportements erratiques dont on se gausse. »
— Elisabeth de Fontenay, Sans offenser le genre humain. Réflexions sur la cause animale[36].
Finalement, pour Elisabeth de Fontenay, c'est l'origine même du processus qui révèle son manquement catégorique envers les animaux pour des valeurs strictement financières :
« L'abattage industriel a déjà fait de la tuerie administrée un acte purement technique. Mais l'absurdité de ses calculs de rentabilité éclate au grand jour quand les animaux sont massacrés pour rien : pour que ne nous ne mangions pas les animaux affectés ou non d'une maladie lors d'épizoothies, non soignés mais abattus pour le « coût le plus bas », et même si la maladie n'est pas transmissible à l'homme, comme la fièvre aphteuse. Cette civilisation productiviste, technicienne et mercantile, (…) oublieuse de l'amphibologie du mot « culture », oublieuse de l'être vivant qu'est l'animal, ne pouvait que rendre possible, sinon nécessaire, ces sanglantes exhibitions. »
— Elisabeth de Fontenay, Sans offenser le genre humain. Réflexions sur la cause animale[36].
En Inde
En Inde, terre originelle de l'hindouisme, où la vache est vue comme une mère qui donne son lait à tous, et tient une place particulière dans le cœur des hindous, étant le symbole de la sacralité de toutes les créatures[37] et incarnation de l'ensemble des divinités, les réactions à l'égard de l'Occident furent très largement négatives. Ainsi, de nombreuses associations hindoues déclarèrent que l'Occident avait été châtié avec l'apparition de malades humains pour sa zoophagie ou consommation de viande[38]. L'Acharya Giriraj Kishore (en), meneur d'un éminent groupe hindou, n'a pas hésité à déclarer que le non-végétarisme d'hommes continuerait d'entraîner la colère des dieux [38] et que la maladie de Creutzfeldt-Jakob était un message d'avertissement de Dieu, destiné au monde entier, afin d'être végétarien, et le symbole de l'impartialité divine :
« J'estime que l'Occident a été puni par Dieu en raison de sa violence habituelle faite de meurtres [envers les animaux][38]. »
Dans l'hindouisme, les maladies sont effectivement vaincues et/ou propagées par des divinités, comme la déesse Mariamman ou Shitala Devi.
Mesures mises en œuvre
Il n'existe aucun traitement curatif contre la maladie de la vache folle. Les moyens utilisés pour enrayer l'épizootie consistent donc exclusivement en des mesures préventives, d'autant plus sévères depuis que l'on sait que la santé humaine est en jeu. Afin de mieux connaître la maladie et prendre les mesures adaptées, le gouvernement britannique crée en 1988 le Spongiform Encephalopthy Advisory Committee (SEAC) dirigé par le professeur Richard Southwood. Ce comité consultatif joue par la suite un grand rôle dans les différentes mesures prises au Royaume-Uni pour enrayer la maladie[9].
Interdiction des farines animales
Dès juillet 1988, le Royaume-Uni prend la décision d'interdire l'utilisation de protéines animales dans la fabrication d'aliments pour les bovins, suivie rapidement par les autres pays concernés, comme la France en 1990. Le Royaume-Uni prend à plusieurs reprises des mesures plus sévères à ce sujet, interdisant l'utilisation de farines animales dans les engrais en 1991, élargissant l'interdiction aux autres ruminants (1994 pour la France), puis interdisant l'utilisation de matériaux à risque (cervelle, moelle épinière…) pour la fabrication des farines animales (juin 1996 pour la France) en octobre 1990 (août 1996 en France) et prohibant leur consommation par les autres espèces, en août 1996 (novembre 2000 pour la France)[note 5],[39].
Malgré toutes ces précautions, des nouveaux cas continuent à être découverts, même sur des animaux nés après ces mesures. Ainsi, le Royaume-Uni enregistrait en 2004, 816 animaux atteints nés après l'interdiction de 1990, et 95 cas d'animaux nés après l'interdiction complète de 1996[40].
De même, en France, 752 cas d’ESB ont été découverts sur des animaux nés après la mise en place de l’interdiction des farines animales dans l’alimentation des bovins en 1990. Ces cas, nommés NAIF (nés après l’interdiction des farines animales), ont soulevé des interrogations sur le respect des règles instaurées et sur l'existence d'une éventuelle troisième voie de contamination.
Des enquêtes approfondies menées par la Brigade d’enquêtes vétérinaires et sanitaires (Direction générale de l’alimentation, DGAL) ont finalement montré que les aliments pour bovins pouvaient être contaminés par les aliments destinés aux monogastriques pour lesquels les farines de viande et d’os étaient encore autorisées. Ces contaminations croisées ont pu se produire lors de la fabrication de ces aliments en usine, mais aussi lors du transport ou même en exploitation. Malgré le renforcement des mesures en juin 1996, quelques cas sont apparus sur des animaux nés après cette date, appelés super NAIF. Ceux-ci peuvent s’expliquer par l’importation en France de farines animales issues de pays qui se croyaient à l’abri de la maladie alors qu’ils étaient d’ores et déjà contaminés, ou par l’utilisation de graisses animales dans les aliments ou les lactoremplaceurs jusqu’en 2000[41].
On peut reprocher au Royaume-Uni d'avoir continué et même accru les exportations de ses farines animales dans le monde entier après l'interdiction de les distribuer aux ruminants de 1988. Ainsi, en 1989, la France a importé 16 000 tonnes de farines animales susceptibles d'être contaminées par l'ESB avant que ces importations ne soient interdites par le gouvernement français. Bien qu'à partir de 1990 les matériaux à risques étaient retirés de la fabrication des farines anglaises, elles comportaient toujours un danger. "Toutes ces exportations, maintenues pour des raisons économiques, sont probablement responsables de la diffusion de la maladie à travers le monde[9]".
Depuis 2008, Bruxelles étudierait, sous la pression des éleveurs et filières, à la suite de l'augmentation des prix des aliments du bétail (150 % d'augmentation pour le blé, et 100 % pour le soja) de réintroduire, non pas les farines produites à partir de sous-produits issus de ruminants, mais celles produites avec des restes de porcs, de volailles et de poissons, à certaines conditions : « Il s'agirait de protéines extraites exclusivement de morceaux inutilisables mais aptes à la consommation humaine », selon Nicolas Douzin, directeur de la Fédération nationale (France) de l'industrie et du commerce en gros des viandes[42].
Retrait de certains produits de la consommation
À partir de 1989, certains tissus et organes d’origine bovine considérés comme dangereux pour l’homme sont interdits à la vente au Royaume-Uni sur avis du comité Southwood. Ils sont retirés à l'abattoir (seule la colonne vertébrale peut être retirée à l'atelier de découpe ou à la boucherie) avant d'être incinérés. À l'origine, les produits concernés sont la colonne vertébrale, la cervelle, les yeux, les amygdales, la moelle épinière et la rate[43]. Cette décision est étendue à l’Irlande du Nord et à l’Écosse le 30 janvier 1990, et les différents pays d'Europe adopteront des décisions similaires, comme la France en 1996[7]. Comme pour les farines animales, on peut regretter que le Royaume-Uni ait continué à exporter ses abats à risque entre la date de l'interdiction et l'embargo décrété sur ses produits par la France, suivie de l'Union Européenne, début 1990[9].
Au fil du temps, la liste des produits interdits à la consommation a été révisée et allongée à plusieurs reprises avec l'avancée des connaissances. Ainsi, en juin 2000 l'iléon est ajouté à la liste des produits interdits en France, suivi en octobre 2000 par le reste des intestins, puis en novembre du thymus, ou ris de veau. Ils étaient notamment utilisés pour enrober certaines charcuteries comme les andouilles, les andouillettes, les cervelas et les saucissons et comportaient des risques du fait de la présence de tissus lymphoïdes pouvant être contaminés par l'ESB[31]. L’amélioration des connaissances a également permis de fixer un âge limite plus précisément. Ainsi, la France décide en septembre 1996 de ne retirer le système nerveux central que pour des bovins de plus de 6 mois, puis pour des bovins de plus de 12 mois à partir de 2000, puisque cette partie du corps ne devient contaminante qu’après une lente évolution de la maladie. Dans le même temps, toute condition d’âge est enlevée concernant le retrait de la rate, des amygdales, du thymus et de l’intestin qui peuvent être infectés précocement. En 1996, la législation a été étendue aux ovins et caprins, susceptibles de contracter la maladie[9].
En avril 1996, à la suite de l'apparition de la variante humaine de la maladie, le gouvernement britannique décide d’interdire la consommation de viande issue des bovins âgés de plus de 30 mois[9].
Les graisses animales sont autorisées dans l'alimentation humaine, à condition d'être traitées après prélèvement par ultrafiltration et stérilisation à 133 °C pendant 20 minutes[43].
Embargo sur la viande britannique
Après une longue hésitation, la communauté européenne décrète en 1996 l'embargo sur la viande provenant de Grande-Bretagne. Cet embargo est étendu à d'autres produits animaux comme le suif ou la gélatine. L’Union européenne lève en 1999 l’interdiction pour la viande sous conditions : est par exemple acceptée la viande désossée provenant de bœufs élevés dans des exploitations indemnes d’ESB et âgés de moins de 30 mois lors de l’abattage[7].
Malgré cet embargo, de la viande anglaise continue à être exportée vers l'Europe, notamment du fait de l'insuffisance des contrôles réalisés par le gouvernement britannique. La Commission européenne sanctionne d'ailleurs financièrement le Royaume-Uni en 1999 pour la défaillance de ses contrôles en lui infligeant une amende de 32,7 millions d’euros[9].
Toutefois, un pays maintient alors le blocage sur la viande anglaise : la France, motivée par les études de l'Agence française de sécurité sanitaire des aliments (Afssa) qui considérant que les garanties offertes par le Royaume-Uni sont insuffisantes. Les Britanniques expriment rapidement leur mécontentement, et répondent, en refusant divers produits français. Devant l'entêtement de la France à adopter le principe de précaution, l'affaire arrive devant la Cour de justice de l’Union européenne. En décembre 2001, celle-ci juge que les torts étaient partagés : la France aurait dû manifester son désaccord plus tôt, mais les mesures prises par la Commission européenne ne garantissaient pas, à l’époque, une traçabilité suffisante des produits britanniques[44]. Finalement, en septembre 2002, la France lève son embargo à la suite d'un avis positif de l'Afssa.
Dépistage des cas d'ESB en abattoir bovin
Le Royaume-Uni et la France ont parfois employé des tactiques différentes pour maîtriser l'épizootie. Ainsi, au Royaume-Uni, où l'ESB est soumise à déclaration obligatoire depuis juin 1988, le gouvernement a pris la décision d'interdire la mise à la consommation d'animaux âgés de plus de 30 mois, âge où se développe la maladie. Il n'est donc pas nécessaire de dépister les cas en abattoir, les animaux consommés n'étant pas en âge d'avoir développé la maladie et donc assurément sains.
La France a, quant à elle, choisit d'adopter un contrôle systématique des animaux abattus à plus de 48 mois, âge auquel il est possible de détecter la maladie le plus précocement. La détection de la maladie dans les tissus précède de 6 mois les premiers symptômes cliniques et est complémentaire de la simple surveillance clinique des animaux[39]. La surveillance clinique est restée toutefois obligatoire pour tous les bovins entrant à l'abattoir, et a même été renforcée en 2000 avec le recrutement et l'affectation de personnels vétérinaires supplémentaires en abattoir[6].

En abattoir bovin, les cas d'ESB sont recherchés par un prélèvement de l'obex, un petit morceau du bulbe rachidien caché par le cervelet du bovin, en forme de V. Le prélèvement est ensuite analysé en laboratoire grâce à un test immunologique du type ELISA. Le laboratoire prélève la partie droite du V, qui servira au test rapide[45].
Au 28 novembre 2010, sur les 1 365 561 bovins testés en France en abattoir depuis le , seul, un cas a été relevé positif à l’ESB. Le nombre de cas d’ESB déclarés à la suite de tests à l’abattoir est infime depuis 5 ans, et conforme à la prévalence naturelle de la maladie : 2 cas en 2006, soit 0,0008 cas pour mille bovins abattus ; 3 cas en 2007 (0,0013 %0) ; 1 cas en 2008 (0,0004 %0) et 2 cas en 2009 (0,0013 %0), le seul dépistage coutant plus de 40 millions d'Euros par an à la filière pour éliminer un animal dont la consommation n'aurait présenté de toute façon aucun risque, les organes à risques ou matières à risques spécifiés (MRS) étant de toute façon détruits.
Une fois les résultats connus, les carcasses probablement contaminées (le test peut se révéler positif au premier test, mais des cas faux-positifs peuvent exister) par le prion sont écartées du circuit alimentaire humain et animal, ainsi que ses coproduits (abats, suifs, cuir, etc.). En France, un second test de confirmation a lieu à Lyon dans un laboratoire spécialisé à partir de la partie restante de l'obex. La lecture de ce second test est possible au bout d'une semaine. Cependant, les carcasses de bovins ne pouvant pas rester dans les réfrigérateurs pendant ce temps pour des raisons d'hygiène, les carcasses sont détruites avant l'obtention des résultats. Les organes à risques ou matières à risques spécifiés (MRS) sont récupérés pour être détruits (moelle épinière, intestins, le cerveau et les yeux). La destruction des carcasses est prise en charge par l'inter-profession, mais le manque à gagner lié à la destruction des MRS est important pour l'abattoir (environ 600 € la tonne).
Les veaux ne font pas l'objet de recherche de l'ESB, cependant certains organes à risques sont détruits (les intestins). Pour limiter le développement de la maladie, plusieurs pays décident d'abattre systématiquement les troupeaux dans lesquels une bête est atteinte.
Abattage des animaux
Alors que l'on connaît encore mal la façon dont se transmet la maladie, la principale mesure prophylactique adoptée lorsqu'un animal est susceptible d'être porteur de la maladie est l'abattage.
La campagne d'abattage a été particulièrement impressionnante au Royaume-Uni. En effet, à la suite de l'interdiction qui y est faite de consommer les bovins de plus de 30 mois (âge auquel les animaux sont susceptibles de développer la maladie), le gouvernement britannique lance un programme d’abattage de ces animaux (à l'exception des reproducteurs bien sûr) avec indemnisation des éleveurs. À la fin de l’année 1998, ce sont plus de 2,4 millions de bovins qui ont été abattus au Royaume-Uni. En août 1996, le Royaume-Uni décide de mieux identifier les bovins nés après le 1er juillet 1996 par un système de passeport qui permet d'engager une campagne d'abattage sélectif des descendants des animaux atteints de l’ESB[9].
En France, la tactique des diagnostics au cas par cas pour les animaux de plus de 24 mois a permis d'éviter une tuerie d'une telle ampleur. Mais les abattages ont, malgré tout, été courants. En effet tout cas détecté en abattoir et confirmé à Lyon doit rapidement être suivi par la recherche de l’élevage d’origine de l’animal, permise par la traçabilité de ces animaux. Le troupeau d’origine, ainsi que ceux de tous les élevages dans lesquels l’animal a pu séjourner, sont par la suite intégralement abattus. Les éleveurs concernés touchent une indemnisation de la part de l’État.
La pratique de l'abattage systématique a été développée à un moment où on connaissait mal la maladie et ses modalités de transmission au sein d’un troupeau, et est celle que l'on utilise pour les maladies très contagieuses, ce qui n'est pas le cas de l'ESB. Son unique avantage est qu'elle a permis de rassurer le consommateur par son côté radical et impressionnant, mais elle a causé un grand tort aux éleveurs, qui avaient parfois mis très longtemps à constituer la génétique de leur troupeau, et s'est montré onéreuse[44]. Elle a par la suite été remise en cause, notamment en Suisse où elle a laissé place à un abattage sélectif en 1999, puis en France sous la pression de la Confédération paysanne qui a obtenu une première réforme début 2002. À compter de cette date, en cas d’apparition de l’ESB dans une ferme, les animaux nés après le 1er janvier 2002 sont épargnés. Depuis décembre 2002, l’abattage systématique a été remplacé par un abattage plus sélectif : seuls les animaux du même âge que le bovin malade sont abattus[34]. Ces mesures sont toujours applicables en 2009, mais la maladie a quasiment disparu et elles n'ont plus besoin d'être appliquées.
Une meilleure traçabilité des produits bovins

La traçabilité est la capacité de retrouver l’origine d’une pièce de viande afin de poursuivre deux objectifs : d'une part la prévention des risques alimentaires (possibilité de retirer de la vente des lots de viande suspectés a posteriori de présenter un risque pour le consommateur), d'autre part l’information des consommateurs (indication de la provenance exacte des produits achetés)[9].
À la suite de la crise de la vache folle, les mesures prises concernant l’identification et la traçabilité des animaux au niveau européen ont permis à la filière d’améliorer largement les pratiques dans ce domaine. Ainsi, les boucles, déjà obligatoires en France depuis 1978, doivent depuis 1997 être apposées dans les 48 heures qui suivent la naissance, et à chaque oreille. Dans la semaine qui suit la naissance, l’éleveur doit rapporter à l’établissement départemental de l’élevage (EDE) la naissance du veau, son type racial et l’identité de sa mère. C’est surtout dans les ateliers de découpe et les abattoirs que la traçabilité apparaît comme une nouveauté. Tous les intermédiaires de la filière bovine doivent pouvoir assurer le suivi des produits de manière à pouvoir retrouver l’animal auquel appartient chaque produit final. Ainsi, depuis 1999, le numéro de tuerie doit être inscrit à l’encre alimentaire sur les carcasses, demi-carcasses, quartiers et découpes de gros avec os dans les abattoirs. La réglementation concernant l’étiquetage des produits a également été rendue plus stricte. À partir de 2000, l’étiquette des viandes bovines en Europe doit obligatoirement faire figurer un numéro ou code de référence assurant le lien entre le produit et l’animal dont il est issu, le pays d’abattage et le numéro d’agrément de l’abattoir, le pays de découpage et le numéro d’agrément de l’atelier de découpe[9].

Du point de vue de la traçabilité, la France est globalement en avance sur l’Europe, et a une législation encore plus contraignante. Dès 1996 et dans l’optique de rassurer les consommateurs, l'association nationale interprofessionnelle du bétail et des viandes (Interbev), avec l'appui du ministère de l'agriculture, crée la marque collective VBF (viande bovine française) indiquant qu'un animal est né, élevé et abattu en France. Puis, en 1997, la France rend obligatoire l’apposition sur les étiquettes de la provenance de l'animal, de son type racial (race laitière, race à viande, ou race mixte) et de sa catégorie (taureau, bœuf, jeune bovin, génisse, vache)[46].
Autres précautions
Le Gouvernement Britannique a décidé le 20 octobre 2000 de retirer un vaccin anti-polio fabriqué avec des tissus bovins susceptibles d'être contaminés par l'ESB. Ce produit, nommé Medeva et distribué à des milliers d'enfants, pouvait présenter des risques de transmission du nouveau variant de la maladie de Creutzfeld-Jakob[47].
La transfusion sanguine est, elle aussi, suspectée de permettre la transmission de la maladie. C'est pourquoi le Canada a décidé en août 1999, d'exclure du don de sang toute personne ayant séjourné six mois ou plus au Royaume-Uni entre 1980 et 1996, et a étendu en août 2000 cette décision aux résidents de la France sur la même période. Les États-Unis prennent des mesures similaires. Pour sa part, la France interdit au don du sang les personnes ayant vécu 6 mois ou plus au Royaume-Uni pendant la période de la vache folle (1980-1996). Ces craintes s'appuient sur des expérimentations menée sur des ovins qui ont démontré que la maladie pouvait se transmettre par transfusion sanguine[48], et se sont ensuite largement confirmées avec la publication en 2004 et 2006 d'études portant sur trois patients anglais décédés du nouveau variant de la MCJ après avoir reçu des transfusions provenant de personnes ayant elles-mêmes développé la maladie après leur don du sang[49].
Le coût des mesures
Les mesures de lutte contre l'ESB ont un coût important qui est supporté à la fois par les consommateurs et par l’État. Les trois postes de dépenses sont la prévention, la mise en évidence des cas et l’éradication. Les mesures de prévention consistent à retirer les matériels à risque spécifiés (MRS), à éliminer les déchets par le circuit à bas risque et à ramasser et détruire les MRS et cadavres par le circuit à haut risque. Ces mesures représentent un coût de 560 millions d'euros par an, soit 67 % du coût total de la lutte. Les mesures de surveillance engendrent un coût par la formation des membres du réseau à la détection des cas cliniques, le traitement administratif des cas suspects, les visites et dans une petite proportion l'indemnisation des éleveurs. Le coût total annuel des mesures de surveillance s’élève à 185 millions d’euros soit 21,5 % du coût total des mesures de lutte contre l’ESB. Enfin, l’abattage systématique des troupeaux dans lesquels un cas d'ESB a été identifié représente 12,5 % du coût total de la lutte, c’est-à-dire 105 millions d’euros. Ainsi, le coût total annuel des mesures de lutte contre l’ESB en France pendant la période de crise s’élève à 850 millions d’euros[6].
Au Royaume-Uni, les frais engendrés par l'épizootie sont impressionnants. Entre 1986 et 1996, ce sont 288 millions de livres sterling d'argent public qui sont alloués à la recherche et aux plans de compensation des acteurs de la filière par le gouvernement britannique[50].
Conséquences pour la filière
Contexte

L'utilisation des farines animales dans l'alimentation des animaux d'élevage n'est pas un fait nouveau. Dès la fin du XIXe siècle elles sont utilisées aux États-Unis, et arrivent en France au début du XXe siècle, mais c'est au cours de la seconde moitié du XXe siècle, et notamment dans les années 1970, que leur utilisation s'est vulgarisée. Elles ont l'avantage d'être riches en protéines, protéines peu dégradées par les micro-organismes du rumen des ruminants. Elles apportent donc des acides aminés indispensables (lysine et méthionine) qui sont un complément utile pour les vaches laitières à forte production. Elles apportent également en quantité du phosphore et du calcium. Cet intérêt nutritionnel ne suffit pas à lui tout seul à justifier l'utilisation des farines animales dans l'alimentation. En effet, des solutions alternatives existent, comme notamment les tourteaux de soja et de colza qui peuvent être tannés pour que leurs protéines ne soient pas dégradées par les micro-organismes du rumen. Les farines animales étaient, également, un ingrédient peu coûteux des aliments et permettaient de « recycler » certains déchets de l'activité d'élevage.
Mais le principal intérêt des farines animales pour les éleveurs européens était de compenser leur large déficit en plantes oléo-protéagineuses tels que le soja, le tournesol ou le colza, qui sont indispensables pour apporter aux animaux les quantités de protéines nécessaires à leur bon développement. Ces plantes sont peu cultivées en Europe, qui est largement dépendante des producteurs d'Amérique du Sud et des États-Unis. Cette dépendance s'est accrue dans la seconde partie du XXe siècle du fait du développement des élevages hors-sol et des accords commerciaux mondiaux qui permettaient aux Européens de soutenir financièrement leur grain en contrepartie de l'ouverture de leurs frontières aux oléo-protéagineux étrangers[9].
Toutefois, l'utilisation des farines dans l'alimentation du bétail doit être relativisée. Elles n'ont jamais été une source de nourriture majoritaire pour les ruminants et leur concentration n'a jamais excédé 2 à 3 % dans les mélanges industriels distribués aux ruminants, soit finalement moins de 1 % de la ration totale[44]. Elles étaient principalement destinées aux vaches laitières, et n'étaient pas utilisées par tous les producteurs d'aliment du bétail. En France, leur utilisation a pu être atténuée par l'utilisation de tourteaux tannés suivant un procédé breveté par l'INRA et dont les autres pays européens comme le Royaume-Uni ne disposaient pas[9]
Adaptation de l'alimentation à la nouvelle réglementation

À la suite de la crise de la vache folle, l'incorporation de farines animales (à l'exception des farines de poissons et leurs dérivés sous certaines conditions) et de la majorité des graisses animales dans l'alimentation des espèces animales a été interdite. Cela a provoqué des changements majeurs dans les pratiques d'alimentation des éleveurs européens. L'arrêt de l'utilisation des graisses animales a notamment eu des répercussions sur la qualité technologique des aliments concentrés. En effet, elles servaient de liant pour les granulés et leur absence a augmenté la friabilité de ces granulés, et modifié également d'autres caractéristiques physiques comme leur dureté ou leur couleur. Cela a eu des conséquences sur l'appétence de l'aliment et donc le comportement alimentaire des animaux.
Ces graisses animales ont généralement été remplacées par des matières grasses d'origine végétale comme l'huile de palme et l'huile de colza. Le plus souvent insaturées, elles peuvent engendrer des défauts dans la présentation des carcasses et une moins bonne conservation des produits animaux dont le gras est plus sensible à l'oxydation. De plus, ces graisses végétales s'avèrent moins efficaces pour la granulation des aliments concentrés. Pour remplacer l'apport protéique des farines, on utilise le soja, et dans une moindre mesure le colza et le gluten de maïs. Ces produits proviennent à 95 % d'Amérique du Sud et des États-Unis, et leur importation place à nouveau les pays européens dans une situation de large dépendance. De plus, ils peuvent provenir de plantes génétiquement modifiées, courantes dans ces régions du globe, ce qui alimente les controverses sur l'utilisation des OGM pour l'alimentation animale et humaine[6].
Devenir des farines animales
Chaque année, la France produit environ 600 000 tonnes de farines animales, ainsi que 160 000 tonnes de farines issues des abats et de la poudre de plume de volailles. Dans le monde, ce sont presque cinq millions de tonnes qui sont produits annuellement : 2,3 millions de tonnes par l’Europe, et le reste par les États-Unis. Depuis l'interdiction totale de l'utilisation des farines animales dans l'alimentation des animaux domestiques, des solutions de substitution doivent être trouvées pour s'en débarrasser. Dans un premier temps, elles ont été utilisées dans l'alimentation d'autres animaux d'élevage. Ainsi, en 2000, 75 % des farines françaises entraient dans la composition des aliments pour volailles, et 17 % dans ceux destinés aux porcs[9]. Mais cette solution n'a pas été durable, l'interdiction ayant été étendue aux autres espèces. Aujourd'hui, la solution privilégiée est l'incinération. Les cimentiers devraient utiliser la majorité de ces farines pour leur production d'énergie, et les centrales d'incinération et les centrales thermiques d'Électricité de France s'occuperaient du reste[10].
Retrait des matériaux à risques
Les abattoirs ont dû s’adapter pour assurer la collecte des différents matériaux à risques. Il a notamment fallu qu’ils achètent le matériel permettant d’aspirer la moelle épinière. Les habitudes de découpe ont été modifiées par l’interdiction de vendre de la viande attenante à une partie de la colonne vertébrale, ce qui engendre de nouvelles pratiques concernant la découpe de la côte de bœuf et du T-bone steak. De plus, il devient obligatoire de trier les os destinés à la fabrication de gélatine, ceux-ci ne devant pas comprendre les vertèbres. Pour les graisses destinées à fabriquer du suif, elles doivent être retirées avant la fente de la carcasse, afin qu’aucun éclat d’os ne provenant de la colonne vertébrale ne puisse y être présent. Finalement, ces matériaux sont recueillis dans des bacs étanches où ils sont dénaturés par des colorants tels que le bleu de méthylène ou la tartrazine. On les sépare des déchets valorisables, avant qu’ils ne soient collectés par le service public de l’équarrissage[9]. Tout cela engendre des coûts supplémentaires pour traiter les carcasses ainsi qu'un manque à gagner pour les abattoirs qui ne peuvent plus valoriser certains produits[50].
Modifications des pratiques
La pratique du « jonchage », ou « jonglage », qui consistait à introduire une tige métallique souple (le jonc) dans le canal rachidien, par l’orifice résultant de l’utilisation du pistolet d’abattage afin de détruire le bulbe rachidien et la partie supérieure de la moelle épinière, et qui visait à protéger le personnel contre les mouvements agoniques brusques des membres des animaux abattus s’est vue interdite en 2000. L’Afssa considérait que cette technique risquait de disperser du matériel contaminant dans la carcasse[15].
Affaire de l'« équarri-taxe » en France
En France, l'équarrissage (y compris l'enlèvement des animaux morts, en ferme ou en sortie d'abattoir, impropres à la consommation et qu'il convient d'éliminer le plus rapidement possible afin de juguler toute source d'infection) relève du Service Public. Très coûteux, il constituait, depuis longtemps, un problème financier.
La crise de la vache folle fait exploser le système. Alors que jusqu'à présent il restait possible de valoriser certains produits du traitement des cadavres, il est décidé, après bien des valses-hésitations, de tout détruire, avec deux effets cumulatifs : perte de revenus directs, et hausse des volumes à détruire et donc des coûts. On estime à 130 millions de Francs le coût de la destruction des stocks de farines et de graisses constitués avant la modification de la législation obligeant à retirer les cadavres, les saisies d’abattoir et le système nerveux central de la fabrication des farines animales.
Par ailleurs, la non-valorisation des cadavres (250 000 tonnes par an) et des saisies d’abattoirs (50 000 tonnes par an) engendre un manque à gagner de 350 à 400 millions d’euros par an[30]. S'y est ajouté, dans un premier temps, un problème de stock, à cause du délai entre la décision de tout détruire (et donc d'interdire l'utilisation) et la mise en place d'une solution de destruction (qui sera trouvée chez les cimentiers, dont les fours gros consommateurs d'énergie ne sont pas exigeants sur la nature du combustible).
Dans la logique de service public et du principe pollueur-payeur, ce sont les bénéficiaires (les éleveurs et les abattoirs) qui auraient dû porter le poids financier du problème (sur le modèle de la taxe sur les ordures ménagères, par exemple). Mais, dans le contexte de crise et de revenus déjà entamés, cette solution n'est pas apparue politiquement acceptable. En 1996, il a donc été décidé que ce serait la distribution de viande qui serait taxée[51]. Les grands opérateurs ont immédiatement porté le litige au niveau de l'Union européenne, le taux de cette taxe ayant quintuplé en 2000 pour atteindre plus de 3 %. En 2003, la Cour de justice européenne a condamné cette taxe, comme faussant la concurrence en raison d'une base de taxation inadaptée. Immédiatement des brigades de contrôle du fisc ont tenté de décortiquer la comptabilité d’une poignée d’hypermarchés pour établir que le montant avait bien été répercuté sur les clients, sans succès utile (notamment parce que cette hausse des prix unitaires s'est traduit par une perte de volume vendu, et qu'il est impossible de reconstituer rétrospectivement les gains des distributeurs si la taxe n'avait pas été levée). Les sommes versées ont donc dû être remboursées aux distributeurs, avec des intérêts moratoires 11 à 12 %.
Désormais, la « taxe sur l’abattage », acquittée par les abattoirs, est la seule en vigueur car elle respecte le principe du « pollueur-payeur ».
Responsabilités politiques face à la crise
Rétention de l’information

Le Royaume-Uni, à l’époque gouverné par le Premier ministre John Major, a été accusé d’avoir trompé la confiance des autres États en pratiquant une politique de rétention de l’information. Lors de l’interdiction de l’utilisation des farines animales dans les aliments destinés aux ruminants, le gouvernement britannique n’a jamais informé la Commission européenne et les autres États-membres de sa décision et des suspicions qui tournaient autour de ces farines, alors même que les exportations vers les autres pays s’accroissaient[52].
Insuffisance des contrôles
Le gouvernement britannique est suspecté de n'avoir pas pris toutes les précautions nécessaires après l'interdiction des farines animales dans l'alimentation des ruminants, en négligeant les contaminations croisées mais, également, en ne prévoyant pas les contrôles et sanctions indispensables pour l'application effective des mesures prises. Le rapport de la commission temporaire d’enquête du Parlement européen sur la crise de l’ESB de février 1997 a d'ailleurs souligné la lourde responsabilité du gouvernement britannique dans la propagation de la maladie[9].
Lenteur des prises de décision en France
La France a souvent accusé un certain retard dans la prise de décision en comparaison de la législation britannique. Ainsi, la décision de stopper l’introduction de farines de viande dans l’alimentation du bétail a été prise, deux ans après le Royaume-Uni, et ne concernait que les bovins jusqu’en 1994, date à laquelle elle a été étendue à tous les ruminants. De même, alors que le gouvernement français avait été prompt a interdire l’importation de matériaux à risque provenant du Royaume-Uni seulement trois mois après que leur consommation y fut interdite, la décision de soustraire complètement de l’alimentation humaine tous les matériaux à risque a été adoptée en 1996, six ans après la décision britannique, alors que cette mesure semblait être celle qui assurait la plus grande sécurité pour le consommateur[9].
Si la France a la plupart du temps devancé la réglementation européenne, elle a parfois mis du temps à mettre en application des directives européennes sur certains sujets. Ce fut notamment le cas pour la modification de la législation concernant le traitement des farines animales afin que celles-ci soient chauffées à 133 °C pendant 20 minutes sous 3 bars de pression, conditions requises pour détruire le prion. Cette nouvelle réglementation, parue dans une directive européenne de 1996, ne fut appliquée en France que deux ans plus tard[9].
Lourdeur administrative
Un certain nombre de critiques associent la politique de l'Union européenne à la crise de la vache folle, notamment son inertie. Elle a eu en effet tout au long de la crise du retard par rapport aux mesures prises par le Royaume-Uni puis la France. Il a fallu attendre six ans après l'interdiction des farines animales dans les aliments du bétail pour qu'elle interdise leurs exportations vers les autres États membres. De même l'interdiction européenne de l'utilisation des matériaux à risque dans la chaîne alimentaire n'est intervenue qu'en 2000, après trois ans de procédure, et celle concernant la distribution des farines animales aux animaux d'élevage en 2001.
Ce retard n’est pas seulement lié aux instances européennes, mais également au refus de certains États membres, qui ne se sentaient pas concernés par l’ESB, de prendre des mesures. La situation a changé avec la découverte de cas d’ESB en Allemagne et au Danemark en 2000, d’où la prise de mesures importantes à partir de cette date. On reproche également à l'Europe son manque de sévérité devant une telle crise, qui s'observe à travers sa réglementation moins sévère que celle de certains pays membres, et ses dérogations comme celles concernant le retrait obligatoire de la colonne vertébrale après 30 mois au Royaume-Uni et au Portugal contre 12 mois ailleurs, alors que ces pays font partie des plus touchés par la maladie[9].
Un autre reproche qui est fait à l’Europe à l’époque est le peu d’importance qu’elle a alloué à la santé humaine. Jusqu’en 1994, seuls les ministres de l’agriculture ont débattu sur le sujet de l’agriculture. Cependant, l’Europe n’avait à l'époque aucune compétence en matière de santé humaine. Après la crise, le traité d’Amsterdam de 1999 attribuera de plus larges prérogatives à la Communauté en la matière. De plus, la notion de principe de précaution n’apparaissait pas dans les textes européens. Là encore l’ESB a fait évoluer les choses, la Cour de justice européenne reconnaissant la notion de principe de précaution lorsque la santé humaine était mise en jeu à partir de 1998. En fait, il a fallu attendre que des preuves attestent de la transmissibilité de la maladie à l’homme pour que la commission prenne la situation un peu plus au sérieux. Avant 1996, des pressions sont faites sur les comités consultatifs pour qu’ils évitent tout alarmisme dans leurs conclusions, et la maladie a été négligée, comme peut en attester une note manuscrite de M. Legras, reproduisant les instructions données par le commissaire Ray Mac Sharry et rendue public par la presse, où figure la phrase « BSE : stop any meeting » (« ESB : stopper toutes les réunions »)[9].
Situation devenue conflictuelle
L'application de législations plus strictes dans certains États-membres que celle adoptée par l'Union européenne a été à l'origine de situations conflictuelles, notamment dans le cadre des échanges de viande et d'animaux vivants. En effet, ces produits relèvent de la compétence exclusive de la Communauté, et toute entrave à ces échanges est formellement interdite par les institutions européennes. Or, alors que l'épidémie prenait de l'ampleur au Royaume-Uni, la Commission européenne a hésité à prendre des mesures, principalement pour préserver la libre circulation et le marché unique qu'elle était en train d'achever de mettre en place. Lorsque certains pays ont mis en place un embargo vis-à-vis de la viande britannique en 1990, elle a fait pression pour faire avorter cette initiative en menaçant de lancer une procédure devant la Cour de justice européenne. Les États concernés ont finalement cédé, convaincus par les mesures prises par le gouvernement britannique, qui n'ont malheureusement pas été suivies sérieusement.
De même, en février 1996, des Länder allemands ont fermé leurs frontières à la viande bovine britannique et ont vu la Commission européenne engager une nouvelle procédure contre l'Allemagne. Un mois plus tard, 13 États membres ont suivi la position prise par ces Länder, alors qu'aucune mesure européenne n'avait encore été prise. De nouveau, à la fin de l'année 1999, la France et l'Allemagne ont refusé de lever l'embargo comme le préconisait la Commission. Cette dernière a engagé une procédure devant la Cour de justice de l’Union européenne, qui a conclu en 2001 à des torts partagés : la France aurait dû manifester son désaccord plus tôt, mais il est vrai que les mesures prises par la Commission européenne ne garantissaient pas, à l’époque, une traçabilité suffisante des produits britanniques[9].
Notes et références
Notes
- Le terme farine animale est le plus couramment employé, mais il est peu précis et regroupe plusieurs composés distincts. Il est plus correct dans ce cas de parler de farine de viande et d'os.
- C'est le premier cas de transmission d'une ESST animale à l'homme. En effet, on n'a jamais démontré que la tremblante du mouton, connue déjà depuis de nombreuses années, pouvait se transmettre à l'homme
- Les consommateurs britanniques n'apprécient pas tellement les abats
- 11 animaux du même élevage avaient été abattus la semaine précédente et étaient d'ores et déjà distribués par les supermarchés
- Elles étaient toujours largement utilisées à cette époque pour nourrir les volailles et les porcs
Références
- Paul Benkimoun, « Un cas atypique de variant de la maladie de Creutzfeldt-Jakob », sur lemonde.fr, .
- « Un cas de vache folle confirmé dans les Ardennes », sur liberation.fr, .
- F. Lantier et al., « Le diagnostic des encéphalopathies spongiformes chez les ruminants », Productions animales, INRA, vol. Hors-série, , p. 79-86
- Mondher Kilani, « Crise de la « vache folle » et déclin de la raison sacrificielle* », Terrain, no 38, , p. 113–126 (ISSN 0760-5668 et 1777-5450, DOI 10.4000/terrain.1955, lire en ligne, consulté le )
- Institut de l’Élevage, Maladies des bovins : manuel pratique, France Agricole, , 540 p. (ISBN 978-2-85557-048-8 et 2-85557-048-4)
- [PDF] « L’Encéphalopathie spongiforme bovine : ESB », sur univ-brest.fr (consulté le )
- « Encéphalopathie spongiforme bovine (ESB) », Organisation Mondiale de la Santé, (consulté le )
- Françoise Pradier, « 8 questions que vous pourriez poser à votre boucher », sur doctissimo (consulté le )
- Gérard DERIOT et Jean BIZET., « Rapport de la commission d’enquête sur les conditions d’utilisation des farines animales dans l’alimentation des animaux d’élevage et les conséquences qui en résultent pour la santé des consommateurs », sur Sénat, (consulté le )
- Alain Sousa, « Le problème des farines animales », sur doctissimo (consulté le )
- Pierre-Marie Lledo, Histoire de la vache folle, Presses universitaires de France, , p. 37.
- [PDF] « Les risques sanitaires liés aux différents usages des farines et graisses d’origine animale et aux conditions de leur traitement et de leur élimination. », AFSSA, (consulté le )
- « Nombre de cas d'encéphalopathie spongiforme bovine (ESB) signalés au Royaume-Uni », OIE, (consulté le )
- « Nombre de cas d'encéphalopathie spongiforme bovine (ESB) signalés chez les bovins d'élevage dans le monde*, hors Royaume-Uni », OIE, (consulté le )
- Séverin Muller, À l'abattoir : travail et relations professionnelles face au risque sanitaire, Quae, , 301 p. (ISBN 978-2-7592-0051-1 et 2-7592-0051-5, lire en ligne)
- (en) « VARIANT CREUTZFELDT-JAKOB DISEASE CURRENT DATA (FEBRUARY 2009) » (consulté le )
- Marianne no 418 du 23 avril 2005
- (en) John Postgate, Microbes and Man, Cambridge University Press, , p. 140-141.
- « La crise de la vache folle de 1985 à 2004 », La documentation française (consulté le )
- E. Landais, Élevage bovin et développement durable, Courrier de l'environnement de l'INRA, 1996, p. 59-72
- Pascal Galinier, « L'affaire de la treizième vache », sur vachefolle.esb.free.fr (consulté le )
- Rémi Mer, « Vache folle : les médias sous pression », Dossier de l’environnement de l’INRA, vol. 28, , p. 111-117
- « Que nous prépare la vache folle ? », sur humanite.fr,
- Marc Payet, « La famille d’un jeune malade témoigne pour la première fois », leparisien.fr,
- Patrice Lanoy et Jean-Michel Décugis, Vache Folle : des vérités dérangeantes, Article paru en une du Figaro le
- Rémi Mer, « Vache Folle : les médias sous pression – D’une crise à l’autre », 7.inra.fr,
- Yves Le Pape, « La Crise sociale de l’ESB », dossier de l’environnement de l’INRA, vol. 28, , p. 155-159
- Daniel Schneidermann, Le Cauchemar médiatique, Paris, Denoël (Impacts), , 280 p.
- « 2. Une couverture médiatique parfois excessive », sur Sénat (consulté le )
- « 5. Les retombées économiques de la crise de la vache folle », INRA (consulté le )
- Sandrine Cabut, « Le bœuf ne fera plus l’andouille », sur doctissimo (consulté le )
- Lemaitre P., « Les Quinze vont augmenter les stocks de viande bovine », Le Monde,
- Grosrichard F., « La crise de la " vache folle " reste menaçante pour les éleveurs », Le Monde,
- Philippe Dorison, « VACHE FOLLE : d'un embargo à l'autre ? », Biomagazine (consulté le )
- Statistics provided by U.S. government & compiled by US Meat Export Federation
- Sans offenser le genre humain. Réflexions sur la cause animale, Elisabeth de Fontenay, Paris, Albin Michel, « Bibliothèque Albin Michel des idées », 2008 (ISBN 978-2-226-17912-8), p. 206-209.
- Lettres à l'ashram, protection de la vache, Mohandas Karamchand Gandhi.
- http://www.cnn.com/WORLD/9603/mad_cow/29/india/index.html
- « La viande française est-elle vraiment plus sûre ? », sur doctissimo (consulté le )
- (en) « "3R special": development of the BSE epidemic among cattle in France » (consulté le )
- C. Ducrot, « Épidémiologie de la tremblante et de l’encéphalopathie spongiforme bovine en France », Productions animales, INRA, vol. hors série, , p. 67-77
- Marielle Court, « Bruxelles réfléchit à un retour des farines animales », sur lefigaro.fr,
- « Viande bovine française : quels contrôles ? », sur doctissimo (consulté le )
- [PDF] « La vache folle : analyse d’une crise et perspectives d’avenir », sur Science & décision (consulté le )
- [PDF] « Epidémiosurveillance de l’ESB en France », afssa, (consulté le )
- « La traçabilité », sur amibev.org (consulté le )
- Claire Gabillat, « Vache folle : le rapport qui accuse les autorités anglo-saxonnes », sur doctissimo (consulté le )
- (en) Scott M et al, « Compelling transgenic evidence for transmission of bovine spongiform encephalopathy prions to humans », Proceedings of the national academy of sciences, vol. 96, no 26, , p. 15137–15142 (lire en ligne)
- (en) Wroe SJ et al., « Clinical presentation and pre-mortem diagnosis of variant Creutzfeldt-Jakob disease associated with blood transfusion: a case report », The Lancet, vol. 368, , p. 2061 - 2067
- (en) BSE inquiry, The BSE inquiry : Economic Impact and International Trade
- Yann Kerveno, « Équarrissage : la ceinture et les bretelles », Dossier de l’environnement de l’INRA, vol. 28, , p. 81-85 (lire en ligne [PDF])
- André Schneider, « ESB : Le temps de l'angoisse », Journal des accidents et des catastrophes, vol. 15, ? (lire en ligne)
Voir aussi
Bibliographie
- Francis Chateauraynaud et Didier Torny, Les sombres précurseurs. Une sociologie pragmatique de l'alerte et du risque, Editions de l'EHESS, , 450 p.
- Pierre-Marie Lledo, Histoire de la vache folle, Presses universitaires de France, , 158 p.
- Institut de l'Elevage, Maladies des bovins : manuel pratique, France Agricole, , 540 p. (ISBN 978-2-85557-048-8 et 2-85557-048-4)
- [PDF] « L’Encéphalopathie Spongiforme Bovine : E.S.B. », sur univ-brest.fr (consulté le )
Articles connexes
Liens externes
- (fr) Organisation mondiale de la santé animale, anciennement Office international des épizooties (OIE), site officiel
- (fr) Répartition géographique des cas confirmés d'ESB
- (fr) Site officiel du ministère de l'agriculture et de la pêche : suivi statistique des cas d'ESB en France
- (fr) Vache folle : l'histoire d'une crise, sur le site de l'Inra
- (fr) ESB et sécurité alimentaire : la crise de la vache folle, sur le site de la Documentation française.
- (fr) Mort aux vaches, documentaire de Frédéric Brunnquell pour Arte en 2000.
- Portail de la microbiologie
- Portail de l’élevage
- Portail de l’économie
- Portail des années 1990
- Portail des risques majeurs