Chorioamniotite
Une chorioamniotite est une inflammation des membranes fœtales, l'amnios et le chorion, généralement causée par une infection bactérienne[1].

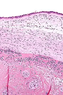
Histopathologie de la chorioamnionite. L'amnios (partie haute de l'image) présente des neutrophiles épars, ce qui permet de diagnostiquer une chorioamnionite.
Notes et références
- Kim CJ et al. « Acute chorioamnionitis and funisitis : definition, pathologic features, and clinical significance » Am J Obstet Gynecol. 2015;213(4 suppl):S29-S52. Accès libre.
- Portail de la médecine
Cet article est issu de Wikipedia. Le texte est sous licence Creative Commons – Attribution – Partage à l’identique. Des conditions supplémentaires peuvent s’appliquer aux fichiers multimédias.