Chambre à cathéter implantable
Une chambre à cathéter implantable ou cathéter à chambre implantable (CCI), aussi appelée chambre implantable percutanée (CIP), ou PAC d'après la marque Port-a-Cath, est un dispositif médical permettant une voie veineuse centrale permanente pour les traitements injectables ambulatoires à longue durée comme la chimiothérapie.


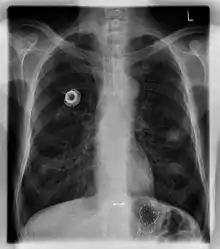
La chambre est palpable sous la peau près de la clavicule droite et est prolongée d'un tube appelé cathéter d'une vingtaine de centimètres depuis la veine jugulaire interne ou la veine sous-clavière jusqu'à la veine cave supérieure.
La chambre implantable tolère plus de 2 000 ponctions et l'aiguille peut rester en place pendant une semaine si celle-ci est fermée en pression positive.
Placement
Le placement se fait en hôpital de jour lors d'une petite intervention chirurgicale réalisée par un radiologue interventionnel, un anesthésiste (sous guidage échographique et scopique) ou un chirurgien, sous anesthésie locale.
Indications
Les indications du placement d'une chambre implantable sont les suivantes :
- nutrition parentérale de longue durée ;
- injection de médicament irritant pour les veines périphériques (type chimiothérapie) ;
- traitement antibiotique de longue durée.
Complications
Les complications d'une chambre implantable sont les suivantes :
- lors du placement du cathéter :
- perforation de l'artère sous-clavière (exceptionnelle sous guidage échographique) ;
- irritation des plexus nerveux ;
- pneumothorax (exceptionnel sous guidage échographique) ;
- embolie gazeuse ;
- hématome ;
- lorsque le cathéter est en place :
- sepsis ou infection du cathéter ;
- thrombose veineuse ou du cathéter ;
- embolie gazeuse lors d'injection de bulles d'air ;
- risque d'escarre par ponction répétée sur une surface limitée ;
- risque d'obstruction du cathéter par micro-caillot ;
- perforation du cathéter ;
- rupture du cathéter (très rare). C'est alors un radiologue interventionnel qui ira récupérer le morceau de cathéter migré.
Surveillances
Lorsque le cathéter est en place :
- vérifier la présence d'un reflux sanguin avant toute injection ;
- surveiller le point de ponction (rougeur, chaleurs, douleurs, tuméfaction, température) ;
- surveiller le pansement, que celui-ci soit fermé de chaque côté et non-souillé (réfection au sept jour) ;
- surveiller qu'il n'y ait pas de coudure du système ;
- surveiller les paramètres vitaux du bénéficiaire de santé (tension artérielle, température, fréquence cardiaque) ;
- surveillance de fermeture de la CCI avec une injection en pression positive évitant ainsi la formation de caillot dans le système et la stase dans la chambre ;
- La pression positive se caractérise par une injection de 20 mL de solution isotonique de chlorure de sodium par palier de 5 mL pour terminer sur une fermeture lors des cinq derniers millilitres injectés.
Notes et références
Voir aussi
Articles connexes
Liens externes
- Chambre à cathéter implantable sur le site de la Haute autorité de santé
- Chambre à cathéter implantable (DAVI) - Cadre général sur le site des Hôpitaux universitaires de Genève
- Chambre à cathéter implantable - Fiche technique sur le site du Centre hospitalo-universitaire vaudois
- Portail de la médecine