Carcinome lobulaire invasif du sein
Le cancer lobulaire ou carcinome lobulaire représente 5 à 15 % de tous les cancers du sein et constitue le deuxième type de cancer du sein le plus courant derrière le carcinome canalaire sans type particulier[1]. Au cours des deux dernières décennies, il y a eu une augmentation marquée de l’incidence du cancer lobulaire invasif, principalement parmi chez les femmes ménopausées. Ceci est probablement le résultat de l’amélioration des techniques de diagnostic et au recours à l’hormonothérapie substitutive[2]. Le cancer lobulaire invasif a un profil biologique distinct et présente donc une prise en charge thérapeutique spécifique. Le profil biologique incluent : la perte du pouvoir adhésive de la molécule d'adhésion par la cadhérine E, entraînant la prolifération de petites cellules non adhésives en lignée uniques, une positivité à la fois pour les récepteurs des œstrogènes et de la progestérone et la négativité pour le récepteur du facteur de croissance épidermique humain 2[3].
Ces caractéristiques pathologiques ainsi que le modèle de croissance diffuse du cancer lobulaire invasif rendent l’établissement d’un diagnostic particulièrement difficile. Le cancer lobulaire invasif est difficile à détecter à la fois lors d'un examen physique et avec des techniques d'imagerie standard. Cependant, l’imagerie par résonance magnétique présente une plus grande sensibilité dans la détection et la caractérisation de du cancer lobulaire invasif que la mammographie « de référence ». Le traitement systémique fait partie intégrante de l'approche multidisciplinaire et implique souvent le recours à la chimiothérapie. Cependant, en raison de la biologie moléculaire unique du cancer lobulaire invasif, la réponse au traitement à la chimiothérapie est souvent médiocre, ce qui entraîne des taux plus faibles de réponse pathologique complète , conduisant ainsi à une augmentation des taux de mastectomie chez ces patientes[4].
Cependant , de nombreuses études ont montré que le cancer lobulaire invasif répond bien à l'hormothérapie, ce qui en fait le choix optimal dans le traitement de ce cancer[3],[5]. L'utilisation du létrozole semble apporter un plus grand bénéfice en matière de survie globale par rapport au tamoxifène, ce qui suggère une incidence accrue de résistance endocrinienne chez les patients porteuses d'un cancer lobulaire invasif ayant été traités par le tamoxifène[6].
Épidémiologie
Caractéristiques essentielles du cancer lobulaire du sein [7]
Epidémiologie
- Après la ménopause
- Les femmes vivants dans les pays occidentales ont le taux le plus élevé
Incidence
- Augmentation de l'incidence depuis 20 ans
- 10-15% de tous les cancers du sein
- Le plus fréquent après le cancer canalaire sans type particulier
Clinique
- Symptomes très légers
- Pas de nodule palpable
Imagerie
- Mammographie peu performante
- Echographie peut révéler des tumeurs invisibles en mammographie
- Imagerie par résonance magnétique est un outil diagnostique important
Traitement
- Tumorectomie chirurgicale en zone saine difficile en raison du caractére diffus de ce cancer
- Mauvaise réponse à la chimiothérapie
- Excellente réponse à l'hormothérapie
Le cancer lobulaire représente 5 à 15 % de tous les cas signalés de cancer du sein[1],[8]. En moyenne, les patients ont 3 ans de plus au moment du diagnostic que les cancers canalaires et sont généralement diagnostiqués à un stade plus avancé de la maladie. Ainsi, les tumeurs sont souvent plus grosses et présentent un plus grand degré de métastases ganglionnaires lors du de la découverte de la maladie[8]. L'incidence du cancer lobulaire a également augmenté au cours des deux dernières décennies, en particulier chez les femmes de plus de 50 ans, et est probablement le résultat des progrès du diagnostic. Elle a également été corrélée à l’utilisation de thérapies hormonales substitutives, en particulier celles contenant de la progestérone[9],[10]. Plusieurs études ont suggéré que l’utilisation d’un traitement hormonal substitutif combiné est liée à un risque relatif plus élevé de cancer du sein[11],[12],[13]. Le cancer lobulaire étant fortement positif aux récepteurs estrogénique , il n’est pas surprenant qu’une exposition prolongée et accrue aux hormones représente un facteur de risque. Les facteurs de risque traditionnels liés aux hormones, notamment des règles plus précoces, une ménopause plus tardive, une faible parité et un âge tardif à la première naissance, sont tous associés à une incidence accrue de cancer lobulaire.
Certains facteurs liés au mode de vie, comme la consommation d'alcool, pourraient jouer un rôle dans l'incidence du cancer canalaire et du cancer lobulaire. L’une des premières études, voire peut-être la première, à avoir rapporté que la consommation d’alcool était positivement liée aux tumeurs canalaires et lobulaires était l’étude de Van’t Veer et al.[14]. Ils ont montré que la consommation de plus de 30 g d'alcool par jour pouvait augmenter le risque de cancer du sein chez les femmes préménopausées et qu'un début précoce de consommation d'alcool pouvait augmenter le risque relatif de cancer du sein même au-delà de la ménopause[14]. Un grand nombre d’études ont suivi sur le risque lié à la consommation d’alcool et au risque de cancer du sein.
Le cancer lobulaire est plus fréquente dans le monde occidental alors que son incidence est beaucoup plus faible au Moyen-Orient, en Afrique et en Asie, représentant seulement environ 5 % des cas dans ces régions. Cela est probablement dû à des facteurs génétiques[8]. Le cancer lobulaire héréditaire est rare, mais des cas ont été rapportés comme tumeur secondaire chez des patients ou des familles atteints du syndrome de cancer gastrique diffus héréditaire qui hébergent une mutation germinale du gène CDH1[15].
Caractéristiques du cancer lobulaire
Caractéristiques histologiques

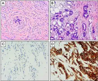
Le cancer lobulaire présente souvent des caractéristiques associées à un bon pronostic, étant généralement fortement positives aux récepteurs à l'oestrogéne et d'un grade histologique bas . Jusqu'à 95 % des des cancers lobulaires expriment le récepteur à l'estrogène et jusqu'à 70 % des cas expriment le récepteur à la progestérone[16],[17],[18],[19]. En comparaison, seulement 60 à 70 % des cancers canalaires expriment à la fois le récepteur à l'estrogéne et le récepteur à la progestérone . Les variations histologiques du cancer lobulaire sont le carcinome lobulaire classique, solide, alvéolaire, mixte, tubulo-lobulaire et pléomorphe[1]. Les petites cellules rondes , souvent décrites comme ayant une morphologie cellulaire en anneau, définissent le sous-type classique. Le modèle de croissance distinct présente des cellules se développant en brins linéaires à travers le stroma, avec peu de perturbation de l'architecture du tissu mammaire environnant . Cet arrangement de cellules se forme également selon des motifs concentriques autour de structures telles que des conduits et des unités lobulaires[18]. De plus, cancer lobulaire classique est associée à un pléomorphisme nucléaire faible à modéré et à un faible indice mitotique[1]. Le faible indice mitotique retrouvé dans la majorité des cancers lobulaires peut contribuer à la résistance à la chimiothérapie.
Caractéristiques moléculaires
Le caractéristique moléculaire du cancer lobulaire est la perte ou le manque d’expression de la cadhérine-E[20]. La cadhérine-E est une molécule essentielle dans la médiation de l'adhésion cellule-cellule afin de maintenir la viabilité cellulaire ; la dérégulation entraîne le modèle de croissance distinctif observé dans le cancer lobulaire. La cadhérine E est capable d'adhérer aux jonctions entre les cellules grâce à une association avec les caténines α-, β-, γ- et p120, ensemble, elles travaillent pour maintenir la cohésion cellulaire. Environ 90 % des cancers lobulaires manquent d’expression de la cadhérine, une caractéristique importante dans le diagnostic et la classification des cancers lobulaires, en particulier pour les différencier des cancers canalairesC. En plus de la perte de E-cadhérine, les α-, β-, γ-caténines sont également perdues dans le du cancer lobulaire , mais la p120-caténine est régulée positivement et localisée dans le cytoplasme, agissant comme un autre biomarqueur du cancer lobulaire[21].
La perte de la cadhérine E est due à des altérations du gène CDH1, situé sur le chromosome 16q22, qui code pour la cadhérine. Malgré la forte association entre la mutation ou la délétion de CDH1 et la perte caractéristique de la cadhérine E dans le cancer lobulaire, les mécanismes sous-jacents à cette altération ne sont pas bien étudiés [22]. L’explication la plus probable de l’inactivation du gène CDH1 suit le modèle de « l’hypothèse des deux impacts » dans lequel une mutation somatique dès le premier événement est suivie d’une perte d’hétérozygotie ou d’une méthylation du gène. Des mutations de CDH1 ont été identifiées dans d'autres cancers épithéliaux, notamment dans le cancer gastrique diffus, qui partage des caractéristiques similaires avec le cancer lobulaire [23]. L’International Gastric Cancer Linkage Consortium a découvert qu’en plus du cancer gastrique diffus, les femmes porteuses de gènes couraient également un risque plus élevé de développer un cancer lobulaire [24]. Dans l’ensemble, cela suggère que l’inactivation de CDH1 est un événement clé dans la pathogenèse du cancer lobulaire [25]. L'altération du gène CDH1 n'est pas la seule altération génomique associée au cancer lobulaire.
Diagnostic

Le diagnostic de cancer lobulaire par examen physique peut être difficile car les patientes présentent souvent des signes cliniques limités et n'ont pas toujours de masse mammaire palpable ; les signes peuvent être souvent vagues, comme un épaississement de la peau ou une sensation de capitonnage de la peau. La mammographie et l'échographie du sein ont une faible sensibilité pour détecter le cancer lobulaire par rapport aux autres tumeurs invasives du sein. Cette difficulté peut être largement attribuée au modèle de croissance infiltrante diffuse de ce type de cancer.
Mammographie
La mammographie est considérée comme la méthode d'imagerie de référence » pour la détection précoce du cancer du sein , avec une sensibilité allant généralement de 63 % à 98 %. Ceci est réalisé en produisant des images haute résolution, mettant en évidence les différences de contraste entre les tissus mammaires sains et malins [26]. La détection de cancer lobulaire par mammographie est notoirement difficile en raison du modèle de croissance tumorale infiltrant qui ne détruit pas les structures anatomiques sous-jacentes et ne provoque pas de réaction stromale. En raison de ces caractéristiques tumorales , la sensibilité de détection du cancer lobulaire par mammographie est beaucoup plus faible, comprise entre 57 % et 81 %. Les faux positifs ne sont pas non plus rares, avec des taux rapportés allant de 8 % à 24 % [27]. Le taux de faux négatifs dans le diagnostic de cancer lobulaire est beaucoup plus élevé que celui des autres cancers du sein invasifs [28]. Plus de la moitié des mammographies jugées ne montrant aucun signe de malignité se sont ensuite révélées évocatrices d’une tumeur.
La relation inverse entre la densité du tissu mammaire et la sensibilité mammographique est bien établie. Dans le cas de tissu mammaire extrêmement dense, la détection mammographique peut être aussi faible que 30 % [26]. Dans une étude [29] la sensibilité mammographique s'est avérée être d'environ 34 % dans les cas de cancer lobulaire et, après ajustement pour les patientes présentant un tissu mammaire dense, la sensibilité a diminué à seulement 11 %. En plus de son schéma de croissance histologique distinct, une faible opacité peut également expliquer les difficultés liées à l'identification clinique de cancer lobulaire par mammographie [30]. Une autre étude [31] rapporte que jusqu'à 50 % des cancers lobulaires présentent un manque d'opacité inférieur ou égal au tissu mammaire normal lors de l'imagerie. Ce manque de contraste met en évidence la difficulté de délimiter les tissus mammaires malins du cancer lobulaire et normaux à l'aide de la mammographie conventionnelle [26]. Les carcinomes invasifs sont souvent associés à des masses spiculées de haute densité, dues à la perturbation de l'architecture normale du tissu mammaire. Ce type de masse peut être facilement détecté par mammographie. Les rapports suggèrent que le cancer lobulaire se manifeste par des lésions mal spiculées et mal définies, avec une masse bien définie observée dans moins de 1 % des cas [26]. De plus, jusqu'à 35 % des cancers lobulaires ne seraient visibles que sur la vue craniocaudale [27]. Cela peut également contribuer à rendre les estimations de la taille et de l’étendue de la tumeur moins fiables [32]. Les microcalcifications sont souvent considérées comme des indicateurs courants d'une maladie du sein et sont facilement détectées par mammographie, mais la probabilité qu'un cancer lobulaire produise des calcifications est faible [33]. La présence de calcifications associées au cancer lobulaire varierait entre 1 % et 28 %. Il s’agit d’une autre caractéristique distinctive du cancer lobulaire qui contribue à l’incapacité de la mammographie à détecter facilement ces tumeurs [26].
Échographie
L’échographie est l'imagerie diagnostique du sein le plus couramment utilisé en conjonction avec la mammographie. L’échographie était à l’origine utilisée comme outil permettant de différencier les lésions solides des lésions kystiques et de guider les biopsies [34]. Cependant, grâce aux progrès technologiques, l’échographie a désormais amélioré sa sensibilité pour distinguer les lésions bénignes des lésions malignes et est utilisée dans l’investigation de toutes les masses palpables du sein [26]. La relation entre la densité mammaire et la sensibilité de la mammographie est bien documentée, mais avec l'ajout de l'échographie, la détection des cancers asymptomatiques, qui incluent souvent le cancer lobulaire, pourrait augmenter jusqu'à 40 % [30]. La sensibilité rapportée de l'échographie dans la détection du cancer lobulaire varie de 68 % à 98 % [26],[35]. Les caractéristiques échographiques les plus courantes du le cancer lobulaire sont une masse irrégulière et hypoéchogène avec des marges mal définies et des ombres postérieures, observées dans jusqu'à 61 % des cas [36]. Des masses bien circonscrites sont rarement observées dans les tumeurs lobulaires, se manifestant dans seulement 2 à 12 % des cas [26].
En comparant la sensibilité de l’échographie à celle de la mammographie, il semblerait que la première soit un outil d’imagerie plus précieux pour la détection du cancer lobulaire. Une étude a révélé que des faux négatifs se produisaient dans 29,9 % des cas lors de l'utilisation de la mammographie, tandis que l'échographie avait une sensibilité de 97,8 % pour la détection [37]. L'utilisation de l'échographie s'est avérée utile pour améliorer considérablement la détection de l'ILC [34].
Imagerie à résonance magnétique
L'imagerie par résonance magnétique (IRM) est principalement utilisée dans le dépistage des cancers du sein à haut risque, pour évaluer et comparer les résultats de la mammographie et de l'échographie, pour évaluer la réponse à la chimiothérapie et pour évaluer les tumeurs du sein homolatérales et controlatérales. L'IRM a une sensibilité globale élevée de 90 % pour la détection des cancers du seine et une sensibilité de 93 % pour la détection du cancer lobulaire [26]. Ce niveau élevé de sensibilité est basé sur les niveaux accrus de néovascularisation dans les tumeurs, car celles-ci créent constamment de nouveaux vaisseaux sanguins dans le but de fournir des nutriments nécessaires à la croissance ultérieure de la tumeur. Cela entraîne une absorption rapide du produit de contraste à base de gadolinium, qui peut s'accumuler dans le stroma du cancer du sein [38]. Cette sensibilité élevée s’étend également à la détection accrue des maladies multifocales, multicentriques et controlatérales [39]. L'IRM détecte des foyers tumoraux supplémentaires et une maladie du sein controlatéral chez 16 % à 58 % des patientes atteintes de cancer lobulaire, non détectées lors de la mammographie initiale [40]. Une étude de a conclu que les patients atteints de cancer lobulaire étaient deux fois plus susceptibles de voir leur schéma thérapeutique modifié à la suite de l'IRM que les patients de tout autre sous-type histologique [40]. Malgré son haut niveau de sensibilité dans la détection précoce du cancer du sein, l'une des limites considérables de l'IRM est le manque de spécificité [41]. Une faible spécificité peut entraîner un traitement excessif des patients, entraînant une intervention chirurgicale étendue sans bénéfice clinique supplémentaire [39].
Malgré cela, l'amélioration présumée des résultats chirurgicaux et de la survie sans récidive grâce à l'IRM est discutée. Une étude rétrospective [42] a évalué l’impact de l’IRM sur les taux de reprise chirurgicale pour résection insuffisante de la tumeur et a conclu que les patients ayant subi une IRM avant la chirurgie présentaient des taux de de reprise chirurgicale significativement inférieurs (9 %) à ceux n’ayant pas subi d’IRM (27 %). Cette étude a également révélé que l’évaluation par IRM n’entraînait pas un nombre plus élevé de mastectomies. D'autre part, plus récemment, une méta-analyse de l'IRM préopératoire sur les résultats chirurgicaux a rapporté que l'IRM augmentait de manière significative le taux de mastectomie dans tous les sous-types de cancer du sein et a trouvé des preuves faibles pour étayer l'affirmation selon laquelle l'IRM peut réduire les taux de reprise chirurgicale dans patients atteints de cancer lobulaire [43]. Par conséquent, on ne peut pas affirmer avec certitude que l’utilisation de l’IRM réduit le taux de récidive ou de survie globale sans récidive dans la cas de cancer lobulaire [26]. Dans l’ensemble, l’IRM est particulièrement avantageuse par rapport aux méthodes d’imagerie standard en raison de sa sensibilité accrue dans la détection des cancers lobulaires et de l’amélioration de la détection des tumeurs homolatérales et controlatérales. Malgré ses limites, l’IRM fournit des informations diagnostiques supplémentaires qui peuvent manquer lors de l’imagerie standard et doit être utilisée en association avec l’échographie et la mammographie pour évaluer avec précision les patients atteints de cancer lobulaire [26],[39].
Traitements
Chirurgie
La décision chirurgicale est généralement déterminée sur la base de la classification TNM , quelle que soit l'histologie. Les cancers jugés opérables seront généralement traités chirurgicalement dès le départ, tandis que certains cancers peuvent nécessiter un traitement néo-adjuvant pour réduire la taille tumorale et faciliter l'intervention chirurgicale. Dans la majorité des cas, une chirurgie mammaire conservatrice sous la forme d’une large excision locale peut être réalisée, enlevant la tumeur avec des marges chirurgicales nettes tout en conservant la forme naturelle du sein. Cependant, dans 65 % des cas de cancer lobulaire , une deuxième intervention chirurgicale pourra être nécessaire [44]. Le cancer lobulaire se caractérise par une incidence plus élevée de lésions diffuses et multifocales difficiles à détecter à la fois par imagerie et en peropératoire, nécessitant souvent une reprise chirurgicale pour compléter la résection avec une marge de sécurité ou une mastectomie après une chirurgie mammaire conservatrice originale [45]. De plus, l’état des ganglions lymphatiques axillaires est un facteur crucial dans le pronostic du cancer du sein et influence la planification chirurgicale. La biopsie du ganglion sentinelle est la méthode standard d'évaluation de l'aisselle [46]. Le biopsie du ganglion sentinelle est utilisé chez les patients atteints du cancer lobulaire, mais la capacité à détecter des dépôts métastatiques est difficile en raison de la nature des cellules [47]. Les métastases ganglionnaires axillaires sont un prédicteur important de la survie du patient, car à mesure que le nombre de métastases augmente, la survie du patient diminue. Cependant, bien qu’elle soit généralement diagnostiquée à un stade plus avancé, le cancer lobulaire ne semble pas être associée à un risque accru de métastases ganglionnaires [48]. En cas d’atteinte ganglionnaire, un curage ganglionnaire axillaire doit être réalisé. Ceci est essentiel à des fins pronostiques et garantit le taux le plus faible de récidive axillaire [49]. Certaines études ont rapporté que le risque de récidive locale est plus élevé en cas de cancer nodulaire, mais les données sur les taux de récidive locale dépendent de la durée du suivi et peu d'études se sont spécifiquement concentrées sur le cancer nodulaire [50].
La chirurgie mammaire conservatrice conduit à des résultats similaires en cas de cancer canalaire ou de cancer tubulaire [51]. La résection en zone saine sont l’un des facteurs les plus importants pour déterminer le risque de récidive locale. Les patients présentant un cancer lobulaire ont une plus grande probabilité de résection incomplète après une tumorectomie. Les patients avec un cancer lobulaire avaient une résection incomplètes dans 15,8 % des cas, contre 9,8 % des cas avec un cancer canalaire. Cela est probablement dû aux difficultés rencontrées pour évaluer avec précision l’étendue du cancer lobulaire [52]. Le taux de survie à 15 ans dans la cancer lobulaire n'est pas changé par le traitement chirurgical (chirurgie conservatrice du sein ou mastectomie) chez les patientes atteintes de cancer lobulaire [53]. Dans l’ensemble, la chirurgie mammaire conservatrice peut être mise en œuvre en toute sécurité dans la prise en charge chirurgicale du cancer lobulaire sans compromettre les résultats cliniques à long terme.
Chimiothérapie
il existe deux façon d'utiliser la chimiothérapie: soit avant une intervention chirurgicale ou une radiothérapie. Elle permet de réduire la taille de la tumeur et de permettre une intervention chirurgicale dans de meilleures conditions. Elle peut ainsi éviter une mastectomie. Elle permet aussi de réduire la dose utilisée dans la radiothérapie. C'est la chimiothérapie néo-adjuvante. La chimiothérapie utilisée après une intervention chirurgicale ou une radiothérapie est la chimiothérapie complémentaire.
Chimiothérapie néo-adjuvante
La chimiothérapie néo-adjuvante est largement utilisée dans le traitement du cancer du sein afin de soulager la charge tumorale, permettant ainsi de faciliter la chirurgie mammaire conservatrice. Les avantages spécifiques de la chimiothérapie néo-adjuvante incluent la capacité de surveiller la réponse tumorale in vivo, de prédire les résultats et d'ajuster le régime de traitement si nécessaire [54]. La mesure du résultat de la chimiothérapie néo-adjuvante est l'obtention d'une réponse complète (Disparition de la totalité des cellules cancéreuses en 4 semaines), car il s'agit d'un marqueur de substitution précoce et puissant pour la survie globale du cancer du sein. Cependant, le consensus général est que le cancer lobulaire répond mal à la chimiothérapie avec des taux de survie globale inférieurs après chimiothérapie néo-adjuvante à ceux observés dans le cancer canalaire [55].
Ils ont constaté que la réponse en cas de chimiothérapie néo-adjuvante pour le cancer canalaire était de 75 % contre 50 % pour le cancer lobulaire, ce qui statistiquement significatif. Le réponse complète était de 15 % chez les patients atteints de cancer canalaire et de 0 % chez ceux atteints de cancer lobulaire [56]. Le type de chimiothérapie utilisé n’a pas d’effet sur ce résultat. Cette constatation a été confirmé par une méta-analyse [57]. Une autre méta-analyse retrouve les m^mes données mais souligne que les résultats à long terme sont plus influencés par le statut des récepteurs que par le taux de réponse complète en cas de chimiothérapie néo-adjuvante [58]. Ce qui suggère que le taux de réponse complète pourrait ne pas être un pronostic de l'évolution à long terme chez les patients atteints de cancer lobulaire.
La faible chimiosensibilité du cancer lobulaire peut probablement s’expliquer par ses caractéristiques biologiques caractéristiques et l’expression de marqueurs spécifiques. À savoir, un faible grade histologique, une positivité aux récepteurs à l'estrogène, une charge mutationnelle relativement faible et un faible taux de prolifération évalué par immunohistochimie Ki-67 [47]. Compte tenu du faible taux de réponse à la chimiothérapie néo-adjuvante, les volumes tumoraux résiduels constituent un défi majeur du cancer lobulaire en raison du risque plus élevé de récidive locale. L’incapacité de la chimiothérapie néo-adjuvante à réduire de manière adéquate la charge tumorale du cancer lobulaire a entraîné une baisse des taux de chirurgie conservatrice du sein et des taux plus élevés de conversion en mastectomie de sauvetage pour s'assurer d'une résection compléte de la tumeur [59]. S’il est peu probable que la chimiothérapie néo-adjuvante améliore les taux de chirurgie mammaire conservatrice du cancer lobulaire, son utilisation doit alors être soigneusement envisagée étant donné les toxicités potentielles potentiellement mortelles [60]. Il est intéressant de noter que malgré une mauvaise réponse à la chimiothérapie, les patientes porteuses d'un cancer lobulaire ne présentent pas de taux de récidive accrus et la survie est comparable à celle du cancer canalaire [58],[59]. De nombreux tests moléculaires sont désormais disponibles pour mieux éclairer les décisions thérapeutiques, ce qui peut contribuer à éviter de traiter de manière inappropriée les patientes porteuses d'un cancer lobulaire.
Hormonothérapie complémentaire
Comme la plupart des cancers lobulaires sont fortement positives pour les récepteurs hormonaux, les décisions thérapeutiques sont souvent en faveur d’un traitement endocrinien, auquel un grand nombre de patients présentent une bonne réponse [61]. La plupart des études ont montré que l’hormonothérapie est plus bénéfique lorsqu'elle est utilisée en traitement adjuvant, en particulier chez les femmes ménopausées, en raison de sa forte corrélation avec la réduction du risque de récidive. Pourtant, dans le contexte néo-adjuvant, l’hormonothérapie peut être justifiée afin de réduire le stade des tumeurs et potentiellement permettre une chirurgie mammaire conservatrice [62]. Classiquement, le tamoxifène, un modulateur sélectif du récepteur de l’estrogène , est indiqué pour les femmes préménopausées, tandis qu'un inhibiteur de l'aromatase tel que le létrozole ou l'anastrozole est recommandé pour les femmes postménopausées. Cependant, les recherches suggèrent que dans le cas de cancer lobulaire , toutes les thérapies endocriniennes n’ont pas la même valeur. Dans le cadre de l'essai BIG 1-98 [63], les patientes atteints de cancer lobulaire ont bénéficié d'un traitement par létrozole plus bénéfique que par le tamoxifène. Au cours de la période de suivi de 8 ans, la survie sans maladie (Disease-Free Survival) a été rapportée à 66 % pour le tamoxifène, contre 82 % pour le cancer lobulaire traitée au létrozole. Alors que la survie globale était de 74 % avec le tamoxifène, contre 89 % avec le létrozole [47]. Ces résultats recommandent l'utilisation d'un inhibiteur de l'aromatase comme traitement de choix chez les femmes atteintes de cancer lobulaire et suggèrent la possibilité d'une résistance endocrinienne avec le traitement au tamoxifène [63]. Cependant, il est inévitable qu’un grand nombre de patients finissent par devenir résistants au traitement, quel que soit l’agent endocrinien [64]. Les facteurs de la résistance endocrinienne dans le cancer lobulaire ne sont pas encore définis cependant il a été constaté que les tumeurs acquérant des mutations de l'estrogen receptor alpha, du récepteur du facteur de croissance épidermique et du fibroblast growth factor receptor 1 présentent une réponse plus faible à l'hormonothérapie ciblée [64].
Hormonothérapie néo-adjuvante
Le traitement endocrinien en tant qu'approche néo-adjuvante est moins bien documenté, mais les quelques études menées suggèrent qu'il pourrait être préférable à la chimiothérapie [65]. Une étude rétrospective a signalé une réduction de 66 % du volume tumoral après trois mois de létrozole néo-adjuvant et un taux de conservation réussie du sein de 81 %. Cette petite étude démontre le potentiel d'augmenter le taux de conservation du sein et, par conséquent, de réduire les taux de mastectomie chez les femmes atteintes de cancer lobulaire [55].
Hormonothérapie associée à d'autres classes de médicaments
L'hormonothérapie peut être encore améliorée lorsqu'elle est utilisée en conjonction avec des thérapies ciblées. Les inhibiteurs des kinases cyclines dépendantes (CDK) 4/6 tels que le palbociclib, le ribociclib et l'abemaciclib sont actuellement autorisés pour une utilisation dans les cancers du sein avancés qui sont positifs aux récepteurs à l'estrogène et HER2 négatifs en association avec l'hormonothérapie conventionnel. Le rôle des inhibiteurs de CDK4/6 en association avec l’hormonothérapie a également été exploré à la fois en contexte adjuvant et néoadjuvant [7].
Références
- Cette page est une traduction incomplète de l'article Wilson N, Ironside A, Diana A and Oikonomidou O (2021) Lobular Breast Cancer: A Review. Front. Oncol. 10:591399. doi: 10.3389/fonc.2020.591399 publié sous licence CC-BY
- (en) Christopher I. Li, Benjamin O. Anderson, Janet R. Daling et Roger E. Moe, « Trends in Incidence Rates of Invasive Lobular and Ductal Breast Carcinoma », JAMA, vol. 289, no 11, , p. 1421 (ISSN 0098-7484, DOI 10.1001/jama.289.11.1421, lire en ligne, consulté le )
- Nicoletta Biglia, Luca Mariani, Luca Sgro et Paola Mininanni, « Increased incidence of lobular breast cancer in women treated with hormone replacement therapy: implications for diagnosis, surgical and medical treatment », Endocrine-Related Cancer, vol. 14, no 3, , p. 549–567 (ISSN 1351-0088 et 1479-6821, DOI 10.1677/ERC-06-0060, lire en ligne, consulté le )
- (en) Jocelyn Luveta, Ruth M. Parks, David M. Heery et Kwok-Leung Cheung, « Invasive Lobular Breast Cancer as a Distinct Disease: Implications for Therapeutic Strategy », Oncology and Therapy, vol. 8, no 1, , p. 1–11 (ISSN 2366-1070 et 2366-1089, PMID 32700069, PMCID PMC7359988, DOI 10.1007/s40487-019-00105-0, lire en ligne, consulté le )
- (en) Judy C. Boughey, Jamie Wagner, Betsy J. Garrett et Lori Harker, « Neoadjuvant Chemotherapy in Invasive Lobular Carcinoma May Not Improve Rates of Breast Conservation », Annals of Surgical Oncology, vol. 16, no 6, , p. 1606–1611 (ISSN 1068-9265 et 1534-4681, PMID 19280264, PMCID PMC4338983, DOI 10.1245/s10434-009-0402-z, lire en ligne, consulté le )
- Sledge GW, Chagpar A, Perou C. Collective Wisdom: Lobular Carcinoma of the Breast. Am Soc Clin Oncol (2016) 35:18–21. doi: 10.1200/EDBK_100002
- (en) Otto Metzger Filho, Anita Giobbie-Hurder, Elizabeth Mallon et Barry Gusterson, « Relative Effectiveness of Letrozole Compared With Tamoxifen for Patients With Lobular Carcinoma in the BIG 1-98 Trial », Journal of Clinical Oncology, vol. 33, no 25, , p. 2772–2779 (ISSN 0732-183X et 1527-7755, PMID 26215945, PMCID PMC4550691, DOI 10.1200/JCO.2015.60.8133, lire en ligne, consulté le )
- Natalie Wilson, Alastair Ironside, Anna Diana et Olga Oikonomidou, « Lobular Breast Cancer: A Review », Frontiers in Oncology, vol. 10, (ISSN 2234-943X, PMID 33520704, PMCID PMC7844138, DOI 10.3389/fonc.2020.591399, lire en ligne, consulté le )
- Li CI, Malone KE, Daling JR. Differences in breast cancer hormone receptor status and histology by race and ethnicity among women 50 years of age and older. Cancer Epidemiol Biomarkers Prev (2002) 11:601–7.
- (en) Janet R. Daling, Kathleen E. Malone, David R. Doody et Lynda F. Voigt, « Relation of regimens of combined hormone replacement therapy to lobular, ductal, and other histologic types of breast carcinoma », Cancer, vol. 95, no 12, , p. 2455–2464 (ISSN 0008-543X et 1097-0142, DOI 10.1002/cncr.10984, lire en ligne, consulté le )
- Newcomb PA, Titus-Ernstoff L, Egan KM, Trentham-Dietz A, Baron JA, Storer BE, et al. Postmenopausal Estrogen and Progestin Use in Relation to Breast Cancer Risk. Cancer Epidemiol Biomarkers Prevent (2002) 11:593–600.
- (en) Graham A. Colditz, Susan E. Hankinson, David J. Hunter et Walter C. Willett, « The Use of Estrogens and Progestins and the Risk of Breast Cancer in Postmenopausal Women », New England Journal of Medicine, vol. 332, no 24, , p. 1589–1593 (ISSN 0028-4793 et 1533-4406, DOI 10.1056/NEJM199506153322401, lire en ligne, consulté le )
- (en) Agnès Fournier, Franco Berrino et Françoise Clavel-Chapelon, « Unequal risks for breast cancer associated with different hormone replacement therapies: results from the E3N cohort study », Breast Cancer Research and Treatment, vol. 107, no 1, , p. 103–111 (ISSN 0167-6806 et 1573-7217, PMID 17333341, PMCID PMC2211383, DOI 10.1007/s10549-007-9523-x, lire en ligne, consulté le )
- (en) Laura M. Newcomer, Polly A. Newcomb, Amy Trentham‐Dietz et Matthew P. Longnecker, « Oral contraceptive use and risk of breast cancer by histologic type », International Journal of Cancer, vol. 106, no 6, , p. 961–964 (ISSN 0020-7136 et 1097-0215, DOI 10.1002/ijc.11307, lire en ligne, consulté le )
- (en) Pieter Vant Veer, Frans J Kok, Rudolph J J Hermus et Ferd Sturmans, « Alcohol Dose, Frequency and Age at First Exposure in Relation to the Risk of Breast Cancer », International Journal of Epidemiology, vol. 18, no 3, , p. 511–517 (ISSN 0300-5771 et 1464-3685, DOI 10.1093/ije/18.3.511, lire en ligne, consulté le )
- (en) Paul D.P. Pharoah, Parry Guilford et Carlos Caldas, « Incidence of gastric cancer and breast cancer in CDH1 (E-cadherin) mutation carriers from hereditary diffuse gastric cancer families », Gastroenterology, vol. 121, no 6, , p. 1348–1353 (DOI 10.1053/gast.2001.29611, lire en ligne, consulté le )
- Sastre-Garau X, Jouve M, Asselain B, Vincent-Salomon A, Beuzeboc P, Dorval T, et al. Infiltrating lobular carcinoma of the breast. Clinicopathologic analysis of 975 cases with reference to data on conservative therapy and metastatic patterns. Cancer (1996) 77:113–20. doi: 10.1002/(SICI)1097-0142(19960101)77:1<113::AID-CNCR19>3.0.CO;2-8
- Reed AE, Kutasovic JR, Lakhani SR. Invasive lobular carcinoma of the breast: morphology, biomarkers and ‘omics. Breast Cancer Res (2015) 17:12. doi: 10.1186/s13058-015-0519-x
- Rakha EA, Gill MS, El-Sayed ME, Khan MM, Hodi Z, Blamey RW, et al. The biological and clinical characteristics of breast carcinoma with mixed ductal and lobular morphology. Breast Cancer Res Treat (2009) 114:243–50. doi: 10.1007/s10549-008-0007-4
- Dixon JM, Anderson TJ, Page DL, Lee D, Duffy SW. Infiltrating lobular carcinoma of the breast. Histopathology (1982) 6:149–61. doi: 10.1111/j.1365-2559.1982.tb02712.x
- (en) David J. Dabbs, Stuart J. Schnitt, Felipe C. Geyer et Britta Weigelt, « Lobular Neoplasia of the Breast Revisited With Emphasis on the Role of E-Cadherin Immunohistochemistry », American Journal of Surgical Pathology, vol. 37, no 7, , e1–e11 (ISSN 0147-5185, DOI 10.1097/PAS.0b013e3182918a2b, lire en ligne, consulté le )
- (en) Amy E McCart Reed, Jamie R Kutasovic, Sunil R Lakhani et Peter T Simpson, « Invasive lobular carcinoma of the breast: morphology, biomarkers and ’omics », Breast Cancer Research, vol. 17, no 1, (ISSN 1465-542X, PMID 25849106, PMCID PMC4310190, DOI 10.1186/s13058-015-0519-x, lire en ligne, consulté le )
- (en) Zheng Ping, Gene P. Siegal, Shuko Harada et Isam-Eldin Eltoum, « ERBB2 mutation is associated with a worse prognosis in patients with CDH1 altered invasive lobular cancer of the breast », Oncotarget, vol. 7, no 49, , p. 80655–80663 (ISSN 1949-2553, PMID 27811364, PMCID PMC5340256, DOI 10.18632/oncotarget.13019, lire en ligne, consulté le )
- (en) Parry Guilford, Justin Hopkins, James Harraway et Maybelle McLeod, « E-cadherin germline mutations in familial gastric cancer », Nature, vol. 392, no 6674, , p. 402–405 (ISSN 0028-0836 et 1476-4687, DOI 10.1038/32918, lire en ligne, consulté le )
- (en) Paul D.P. Pharoah, Parry Guilford et Carlos Caldas, « Incidence of gastric cancer and breast cancer in CDH1 (E-cadherin) mutation carriers from hereditary diffuse gastric cancer families », Gastroenterology, vol. 121, no 6, , p. 1348–1353 (DOI 10.1053/gast.2001.29611, lire en ligne, consulté le )
- (en) J. S Reis-Filho et S. E Pinder, « Non-operative breast pathology: lobular neoplasia », Journal of Clinical Pathology, vol. 60, no 12, , p. 1321–1327 (ISSN 0021-9746, PMID 17182661, PMCID PMC2095562, DOI 10.1136/jcp.2006.040642, lire en ligne, consulté le )
- (en) Karen Johnson, Deba Sarma et E Shelley Hwang, « Lobular breast cancer series: imaging », Breast Cancer Research, vol. 17, no 1, (ISSN 1465-542X, PMID 26163296, PMCID PMC4499185, DOI 10.1186/s13058-015-0605-0, lire en ligne, consulté le )
- (en) Jocelyn Luveta, Ruth M. Parks, David M. Heery et Kwok-Leung Cheung, « Invasive Lobular Breast Cancer as a Distinct Disease: Implications for Therapeutic Strategy », Oncology and Therapy, vol. 8, no 1, , p. 1–11 (ISSN 2366-1070 et 2366-1089, PMID 32700069, PMCID PMC7359988, DOI 10.1007/s40487-019-00105-0, lire en ligne, consulté le )
- (en) K N Krecke et J J Gisvold, « Invasive lobular carcinoma of the breast: mammographic findings and extent of disease at diagnosis in 184 patients. », American Journal of Roentgenology, vol. 161, no 5, , p. 957–960 (ISSN 0361-803X et 1546-3141, DOI 10.2214/ajr.161.5.8273634, lire en ligne, consulté le )
- (en) Wendie A. Berg, Lorena Gutierrez, Moriel S. NessAiver et W. Bradford Carter, « Diagnostic Accuracy of Mammography, Clinical Examination, US, and MR Imaging in Preoperative Assessment of Breast Cancer », Radiology, vol. 233, no 3, , p. 830–849 (ISSN 0033-8419 et 1527-1315, DOI 10.1148/radiol.2333031484, lire en ligne, consulté le )
- (en) Rachel F. Brem, Marina Ioffe, Jocelyn A. Rapelyea et Kristen G. Yost, « Invasive Lobular Carcinoma: Detection with Mammography, Sonography, MRI, and Breast-Specific Gamma Imaging », American Journal of Roentgenology, vol. 192, no 2, , p. 379–383 (ISSN 0361-803X et 1546-3141, DOI 10.2214/AJR.07.3827, lire en ligne, consulté le )
- (en) D J Hilleren, I T Andersson, K Lindholm et F S Linnell, « Invasive lobular carcinoma: mammographic findings in a 10-year experience. », Radiology, vol. 178, no 1, , p. 149–154 (ISSN 0033-8419 et 1527-1315, DOI 10.1148/radiology.178.1.1984294, lire en ligne, consulté le )
- (en) A M Hanby et T A Hughes, « In situ and invasive lobular neoplasia of the breast », Histopathology, vol. 52, no 1, , p. 58–66 (ISSN 0309-0167 et 1365-2559, DOI 10.1111/j.1365-2559.2007.02891.x, lire en ligne, consulté le )
- (en) Ramachandran Venkitaraman, « Lobular Neoplasia of the Breast: Lobular Neoplasia », The Breast Journal, vol. 16, no 5, , p. 519–528 (DOI 10.1111/j.1524-4741.2010.00971.x, lire en ligne, consulté le )
- (en) Harmine M Zonderland, « The role of ultrasound in the diagnosis of breast cancer », Seminars in Ultrasound, CT and MRI, vol. 21, no 4, , p. 317–324 (DOI 10.1016/S0887-2171(00)90026-X, lire en ligne, consulté le )
- (en) Matejka Rebolj, Valentina Assi, Adam Brentnall et Dharmishta Parmar, « Addition of ultrasound to mammography in the case of dense breast tissue: systematic review and meta-analysis », British Journal of Cancer, vol. 118, no 12, , p. 1559–1570 (ISSN 0007-0920 et 1532-1827, DOI 10.1038/s41416-018-0080-3, lire en ligne, consulté le )
- (en) January K. Lopez et Lawrence W. Bassett, « Invasive Lobular Carcinoma of the Breast: Spectrum of Mammographic, US, and MR Imaging Findings », RadioGraphics, vol. 29, no 1, , p. 165–176 (ISSN 0271-5333 et 1527-1323, DOI 10.1148/rg.291085100, lire en ligne, consulté le )
- (en) Alan J Porter, Elizabeth B Evans, Loani M Foxcroft et Peter T Simpson, « Mammographic and ultrasound features of invasive lobular carcinoma of the breast », Journal of Medical Imaging and Radiation Oncology, vol. 58, no 1, , p. 1–10 (ISSN 1754-9477 et 1754-9485, DOI 10.1111/1754-9485.12080, lire en ligne, consulté le )
- (en) Ritse M. Mann, Christiane K. Kuhl et Linda Moy, « Contrast‐enhanced MRI for breast cancer screening », Journal of Magnetic Resonance Imaging, vol. 50, no 2, , p. 377–390 (ISSN 1053-1807 et 1522-2586, PMID 30659696, PMCID PMC6767440, DOI 10.1002/jmri.26654, lire en ligne, consulté le )
- (en) Valeria Selvi, Jacopo Nori, Icro Meattini et Giulio Francolini, « Role of Magnetic Resonance Imaging in the Preoperative Staging and Work-Up of Patients Affected by Invasive Lobular Carcinoma or Invasive Ductolobular Carcinoma », BioMed Research International, vol. 2018, , p. 1–7 (ISSN 2314-6133 et 2314-6141, PMID 30046588, PMCID PMC6038675, DOI 10.1155/2018/1569060, lire en ligne, consulté le )
- Nicoletta Biglia, Luca Mariani, Luca Sgro et Paola Mininanni, « Increased incidence of lobular breast cancer in women treated with hormone replacement therapy: implications for diagnosis, surgical and medical treatment », Endocrine-Related Cancer, vol. 14, no 3, , p. 549–567 (ISSN 1351-0088 et 1479-6821, DOI 10.1677/ERC-06-0060, lire en ligne, consulté le )
- (en) Haitham Elsamaloty, Mohamed Salah Elzawawi, Shaden Mohammad et Nabeel Herial, « Increasing Accuracy of Detection of Breast Cancer with 3-T MRI », American Journal of Roentgenology, vol. 192, no 4, , p. 1142–1148 (ISSN 0361-803X et 1546-3141, DOI 10.2214/AJR.08.1226, lire en ligne, consulté le )
- (en) R. M. Mann, C. E. Loo, T. Wobbes et P. Bult, « The impact of preoperative breast MRI on the re-excision rate in invasive lobular carcinoma of the breast », Breast Cancer Research and Treatment, vol. 119, no 2, , p. 415–422 (ISSN 0167-6806 et 1573-7217, DOI 10.1007/s10549-009-0616-6, lire en ligne, consulté le )
- (en) Nehmat Houssami, Robin Turner et Monica Morrow, « Preoperative Magnetic Resonance Imaging in Breast Cancer: Meta-Analysis of Surgical Outcomes », Annals of Surgery, vol. 257, no 2, , p. 249–255 (ISSN 0003-4932, DOI 10.1097/SLA.0b013e31827a8d17, lire en ligne, consulté le )
- (en) Jocelyn Luveta, Ruth M. Parks, David M. Heery et Kwok-Leung Cheung, « Invasive Lobular Breast Cancer as a Distinct Disease: Implications for Therapeutic Strategy », Oncology and Therapy, vol. 8, no 1, , p. 1–11 (ISSN 2366-1070 et 2366-1089, PMID 32700069, PMCID PMC7359988, DOI 10.1007/s40487-019-00105-0, lire en ligne, consulté le )
- (en) Lior Z. Braunstein, Jane E. Brock, Yu-Hui Chen et Linh Truong, « Invasive lobular carcinoma of the breast: local recurrence after breast-conserving therapy by subtype approximation and surgical margin », Breast Cancer Research and Treatment, vol. 149, no 2, , p. 555–564 (ISSN 0167-6806 et 1573-7217, DOI 10.1007/s10549-015-3273-y, lire en ligne, consulté le )
- (en) Jerica Novak, Nikola Besic, Radan Dzodic et Barbara Gazic, « Pre-operative and intra-operative detection of axillary lymph node metastases in 108 patients with invasive lobular breast cancer undergoing mastectomy », BMC Cancer, vol. 18, no 1, (ISSN 1471-2407, PMID 29402252, PMCID PMC5800034, DOI 10.1186/s12885-018-4062-x, lire en ligne, consulté le )
- (en) George W. Sledge, Anees Chagpar et Charles Perou, « Collective Wisdom: Lobular Carcinoma of the Breast », American Society of Clinical Oncology Educational Book, no 36, , p. 18–21 (ISSN 1548-8748 et 1548-8756, DOI 10.1200/EDBK_100002, lire en ligne, consulté le )
- Konstantin J. Dedes et Daniel Fink, « Clinical Presentation and Surgical Management of Invasive Lobular Carcinoma of the Breast », Breast Disease, vol. 30, no 1, , p. 31–37 (DOI 10.3233/BD-2009-0277, lire en ligne, consulté le )
- (en) M Hussien, T.F Lioe, J Finnegan et R.A.J Spence, « Surgical treatment for invasive lobular carcinoma of the breast », The Breast, vol. 12, no 1, , p. 23–35 (DOI 10.1016/S0960-9776(02)00182-0, lire en ligne, consulté le )
- (en) Jocelyn Luveta, Ruth M. Parks, David M. Heery et Kwok-Leung Cheung, « Invasive Lobular Breast Cancer as a Distinct Disease: Implications for Therapeutic Strategy », Oncology and Therapy, vol. 8, no 1, , p. 1–11 (ISSN 2366-1070 et 2366-1089, PMID 32700069, PMCID PMC7359988, DOI 10.1007/s40487-019-00105-0, lire en ligne, consulté le )
- (en) Thao N. Vo, Funda Meric-Bernstam, Min Yi et Thomas A. Buchholz, « Outcomes of breast-conservation therapy for invasive lobular carcinoma are equivalent to those for invasive ductal carcinoma », The American Journal of Surgery, vol. 192, no 4, , p. 552–555 (DOI 10.1016/j.amjsurg.2006.06.020, lire en ligne, consulté le )
- (en) Anees B. Chagpar, Brigid K. Killelea, Theodore N. Tsangaris et Meghan Butler, « A Randomized, Controlled Trial of Cavity Shave Margins in Breast Cancer », New England Journal of Medicine, vol. 373, no 6, , p. 503–510 (ISSN 0028-4793 et 1533-4406, PMID 26028131, PMCID PMC5584380, DOI 10.1056/NEJMoa1504473, lire en ligne, consulté le )
- János Fodor, Tibor Major, József Tóth et Zoltán Sulyok, « Comparison of mastectomy with breast-conserving surgery in invasive lobular carcinoma: 15-Year results », Reports of Practical Oncology & Radiotherapy, vol. 16, no 6, , p. 227–231 (ISSN 1507-1367, PMID 24376985, PMCID PMC3863215, DOI 10.1016/j.rpor.2011.06.005, lire en ligne, consulté le )
- (en) Bernardo L. Rapoport, Georgia S. Demetriou, Shun D. Moodley et Carol A. Benn, « When and How Do I Use Neoadjuvant Chemotherapy for Breast Cancer? », Current Treatment Options in Oncology, vol. 15, no 1, , p. 86–98 (ISSN 1527-2729 et 1534-6277, DOI 10.1007/s11864-013-0266-0, lire en ligne, consulté le )
- (en) Artur Katz, Everardo D Saad, Peggy Porter et Lajos Pusztai, « Primary systemic chemotherapy of invasive lobular carcinoma of the breast », The Lancet Oncology, vol. 8, no 1, , p. 55–62 (DOI 10.1016/S1470-2045(06)71011-7, lire en ligne, consulté le )
- (en) V.F. Cocquyt, P.N. Blondeel, H.T. Depypere et M.M. Praet, « Different responses to preoperative chemotherapy for invasive lobular and invasive ductal breast carcinoma », European Journal of Surgical Oncology (EJSO), vol. 29, no 4, , p. 361–367 (DOI 10.1053/ejso.2002.1404, lire en ligne, consulté le )
- (en) I-SPY TRIAL Investigators, Esther H. Lips, Rita A. Mukhtar et Christina Yau, « Lobular histology and response to neoadjuvant chemotherapy in invasive breast cancer », Breast Cancer Research and Treatment, vol. 136, no 1, , p. 35–43 (ISSN 0167-6806 et 1573-7217, PMID 22961065, PMCID PMC5702179, DOI 10.1007/s10549-012-2233-z, lire en ligne, consulté le )
- « Classified », The Lancet, vol. 349, no 9049, , p. 1–13 (ISSN 0140-6736, DOI 10.1016/s0140-6736(97)80076-1, lire en ligne, consulté le )
- (en) M.-C Mathieu, R Rouzier, A Llombart-Cussac et L Sideris, « The poor responsiveness of infiltrating lobular breast carcinomas to neoadjuvant chemotherapy can be explained by their biological profile », European Journal of Cancer, vol. 40, no 3, , p. 342–351 (DOI 10.1016/j.ejca.2003.08.015, lire en ligne, consulté le )
- Boughey JC, Wagner J, Garrett BJ, Harker L, Middleton LP, Babiera GV, et al. Neoadjuvant chemotherapy in invasive lobular carcinoma may not improve rates of breast conservation. Ann Surg Oncol (2009) 16(6):1606–11. doi: 10.1245/s10434-009-0402-z
- (en) Pieter Vant Veer, Frans J Kok, Rudolph J J Hermus et Ferd Sturmans, « Alcohol Dose, Frequency and Age at First Exposure in Relation to the Risk of Breast Cancer », International Journal of Epidemiology, vol. 18, no 3, , p. 511–517 (ISSN 0300-5771 et 1464-3685, DOI 10.1093/ije/18.3.511, lire en ligne, consulté le )
- (en) J. M. Dixon, « Endocrine Resistance in Breast Cancer », New Journal of Science, vol. 2014, , p. 1–27 (ISSN 2356-7740 et 2090-8520, DOI 10.1155/2014/390618, lire en ligne, consulté le )
- (en) Otto Metzger Filho, Anita Giobbie-Hurder, Elizabeth Mallon et Barry Gusterson, « Relative Effectiveness of Letrozole Compared With Tamoxifen for Patients With Lobular Carcinoma in the BIG 1-98 Trial », Journal of Clinical Oncology, vol. 33, no 25, , p. 2772–2779 (ISSN 0732-183X et 1527-7755, PMID 26215945, PMCID PMC4550691, DOI 10.1200/JCO.2015.60.8133, lire en ligne, consulté le )
- (en) Hillary Stires, Mary M. Heckler, Xiaoyong Fu et Zhao Li, « Integrated molecular analysis of Tamoxifen-resistant invasive lobular breast cancer cells identifies MAPK and GRM/mGluR signaling as therapeutic vulnerabilities », Molecular and Cellular Endocrinology, vol. 471, , p. 105–117 (PMID 28935545, PMCID PMC5858970, DOI 10.1016/j.mce.2017.09.024, lire en ligne, consulté le )
- (en) Judy C. Boughey, Jamie Wagner, Betsy J. Garrett et Lori Harker, « Neoadjuvant Chemotherapy in Invasive Lobular Carcinoma May Not Improve Rates of Breast Conservation », Annals of Surgical Oncology, vol. 16, no 6, , p. 1606–1611 (ISSN 1068-9265 et 1534-4681, PMID 19280264, PMCID PMC4338983, DOI 10.1245/s10434-009-0402-z, lire en ligne, consulté le )
- Portail de la médecine