Bridge (chirurgie dentaire)
Un bridge ou pont dentaire au Québec et Nouveau-Brunswick ou prothèse partielle fixe[1] est une prothèse dentaire formant un pont entre deux dents.

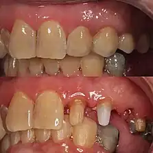
Dents de porcelaine fixées sur un pont de métal (Porcelain Fused to Metal ou PFM).
Le bridge permet de remplacer une dent absente, voire deux, en s'appuyant sur les dents adjacentes (une de chaque côté) ; au-delà le risque de fracture est trop élevé. Mais on peut également réaliser un bridge de plus grande portée, en prenant appui sur plusieurs dents piliers. Le principe est le même que pour la couronne.
Il peut être ainsi constitué de 3 matériaux :
- métal (solidité) ;
- céramique (esthétique, proche d'une dent) ;
- céramo-métal (combine solidité et esthétique).

Un bridge en zircone-céramique
Il existe également plusieurs types de bridges :
- Le bridge traditionnel : le plus classique, constitué de 3 couronnes (ou plus) adjacentes. Également le plus solide.
- Le bridge Maryland : les deux couronnes extérieures sont remplacées par des ailerons métalliques. Moins solide, mais moins cher.
- Le bridge cantilever : n'utilise qu'une dent appui. Le moins solide, mais le moins cher de tous. En anglais, cantilever signifie porte-à-faux.
Il est conçu et mis en place par le chirurgien-dentiste et réalisé par le prothésiste dentaire. Sa durée de vie peut aller jusqu'à 30 ans.
Notes et références
Liens externes
- Portail de la médecine
Cet article est issu de Wikipedia. Le texte est sous licence Creative Commons – Attribution – Partage à l’identique. Des conditions supplémentaires peuvent s’appliquer aux fichiers multimédias.