Babésiose du chien
La babésiose du chien ou piroplasmose du chien est une maladie due à un protozoaire intraérythrocytaire transmis au chien par la morsure d'une tique infestée. Souvent grave, l'affection, qui touche en particulier les chiens de chasse, se caractérise par une hémolyse et des complications rénales.
Agent pathogène et transmission
L'agent causal de la piroplasmose est un hémoprotozoaire du genre Babesia. Il peut s'agir de Babesia canis, très répandu à la surface du globe[1] ou de Babesia gibsoni, moins étendu géographiquement[2]. Le parasite est inoculé au chien par une tique, elle-même infectée par un repas de sang pris sur un autre chien malade. Babesia se réplique alors dans le chien infecté, parasitant exclusivement les érythrocytes et provoquant leur lyse[3].
Symptômes et pathogenèse


La maladie peut se présenter sous forme suraigüe[4], aigüe ou chronique[5] et avoir une expression clinique classique ou atypique. Sa gravité dépend de la variété et de la souche parasitaires, ainsi que de l'âge de l'animal, les jeunes chiens étant plus susceptibles[3],[6].
Classiquement, les symptômes caractéristiques sont une température élevée[7], l'abattement et l'anorexie, parfois accompagnée de vomissements. Dans un second temps, les urines, qui évacuent l'hémoglobine relâchée par les érythrocytes, sont fréquemment colorées de brun (hémoglobinurie), tandis que le sang se charge de bilirubine (bilirubinémie). L'hémolyse provoque également une anémie et une splénomégalie, et parfois un début d'ictère. La maladie évolue sur une semaine environ. Les sujets guéris peuvent rester porteurs pendant une longue période[3],[6].
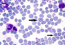
Diagnostic
Cliniquement, la babésiose du chien, même dans ses formes typiques, peut être confondue avec d'autres affections. Le diagnostic de certitude repose sur l'identification du parasite, présent dans les érythrocytes, sur un frottis sanguin coloré au Giemsa. Le nombre des parasites observés sur le frottis n'est pas un indicateur de la gravité de l'infection[3],[6].
Traitement
Le traitement spécifique fait appel à la pentamidine ou à l'imidocarbe, souvent administrés en deux fois pour éviter les rechutes. Selon la gravité des symptômes, il peut être nécessaire de recourir à la transfusion sanguine et à d'autres thérapies de soutien[3],[6].
Prévention
La prévention primaire consiste à éviter au chien d'être en contact avec une tique. Il existe, pour ce faire, de nombreux produits et dispositifs répulsifs ou acaricides. L'imidocarbe peut être administré, en chimioprévention, pendant la période à risque (printemps, automne)[6].
Il existe également un vaccin inactivé adjuvé qui permet de protéger le chien contre la piroplasmose. La primo-vaccination s'effectue en deux injections administrées à un mois d'intervalle. Les rappels ont lieu, selon le contexte, tous les six mois ou tous les ans[8],[2],[6].
Notes et références
- Avec trois sous-espèces : B. canis canis (Europe), B. canis vogeli (zones tropicales et subtropicales), et B canis rossi (Afrique du Sud). La première est transmise par Dermacentor reticularis, la seconde par Rhipicephalus sanguineus, la dernière par Haemaphysalis leachi.
- Merck Veterinary Manual, 2011.
- Gorman, 1995, p. 171.
- En cas d'érythrolyse massive : choc hypotensif.
- L'expression de la maladie est alors atypique : fièvre intermittente, perte de poids, atteinte respiratoire, nerveuse, musculaire etc.
- Moraillon et al., 2010, p. 86.
- 41 °C, voire plus.
- La protection n'est pas assurée à 100% chez tous les sujets.
Bibliographie
- Robert Moraillon, Yves Legeay, Didier Boussarie et Odile Sénécat, Dictionnaire pratique de thérapeutique. Chien, chat et NAC, Issy-les-Moulineaux, Elsevier Masson, , 909 p. (ISBN 978-2-294-70533-5).

- (en) « The Merck Veterinary Manuel - Babesiosis », sur merckmanuals.com, .
. - (en) Neil Gorman, Canine Medicine and Therapeutics, Oxford /London/Paris etc., Blackwell Science, , 4e éd., 1086 p. (ISBN 0-632-04045-9).

- Portail des canidés
- Portail de la médecine vétérinaire