Articulation transverse du tarse
L'articulation transverse du tarse (ou articulation médiotarsienne ou articulation de Chopart) est l'articulation qui joint les os du tarse antérieur aux os du tarse postérieur.
Description
    
L'articulation transverse du tarse est constituée de l'articulation talo-calcanéo-naviculaire en dedans et de l'articulation calcanéo-cuboïdienne en dehors. Ces deux articulations ne partagent pas la même capsule et membrane synoviale, mais restent solidarisées par le ligament bifurqué composé de deux faisceaux:
Anatomie fonctionnelle
    
L'articulation transverse du tarse et l'articulation subtalaire participent aux mouvements de torsion du pied en dedans et en dehors[1].
Cette articulation sert à adapter le pied au sol lors des appuis[2].
Aspect clinique
    
Historiquement, c'est sur cette ligne que se réalise la technique d'amputation mise en place par François Chopart.
Cette articulation peut être sujette à des entorses bénignes [3].
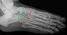
Galerie
    
Vue du dessus du pied selon Sobotta, avec l'articulation de Chopard dessinée d'une ligne verte.
Radiographie du pied: articulation de Chopart (talo-navicualire et calcanéo-cuboïdienne) en vert et articulations de Lisfranc (tarso-métatarsiennes) en rouge.
Notes et références
    
- Articulation de Chopard dans le dictionnaire de l'académie de médecine française
 - Site pour étudiants en podologie
 - Serveur des Urgences
 
Liens externes
    
- Ressources relatives à la santé :
 
- « Articulation transverse du tarse », sur le dictionnaire de l’Académie nationale de médecine
 
- Portail de l’anatomie
 - Portail de la médecine