Adénome colorectal
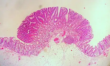
Les polypes adénomateux colorectaux, adénomes colorectaux ou polype adénomateux, s'observent le plus souvent sur le rectosigmoïde avec une fréquence maximale entre 50 et 60 ans. Ils réalisent une formation en saillie sur la muqueuse, arrondie ou polylobée, de 2 à 10 mm de diamètre, sessile ou pédiculée, le pédicule pouvant être très long (5 cm et plus). Ils prédisposent à l'adénocarcinome colorectal (cancer colorectal).
Types macroscopiques
    
- Adénome colorectal sessile (voir polype sessile)
 - Adénome colorectal pédiculé (voir polype pédiculé)
- En cas de cancérisation, ils doivent être classé en selon la classification de Haggitt des polypes adénomateux cancérisés.
 
 
Types microscopiques
    
    Adénome tubuleux
    

L'adénome tubuleux est constitué d'une prolifération de glandes identiques aux glandes de Lieberkühn dont elles naissent. Les cellules sont cylindriques, avec une mucosécrétion sous forme d'une vacuole ouverte au pôle apical. Il peut exister une dédifférenciation marquée par une diminution ou une disparition de la mucosécrétion et un aspect basophile du cytoplasme.
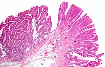
Adénome villeux
    
Les adénome villeux, plus rares, forment des masses sessiles ou polypoïdes, molles, recouvertes de mucus, et constituées de fines digitations. Elles sont constitués d'axes conjonctifs recouverts d'une couche de cellules épithéliales cylindriques et mucosecrétantes, comportant ou non une mucosécrétion comme l'épithélium colique superficiel dont elles dérivent.

Comme les adénomes tubuleux, les tumeurs villeuses peuvent présenter des aspects dédifférenciés. Les récidives après exérèse sont très fréquentes.
Adénome tubulo-villeux
    

Les adénome tubulo-villeux sont mixtes, à la fois tubuleux et villeux.
Adénome festonné
    
L'adénome festonné est également un sous-type de polype festonné.
Adénome mixte
    
Il est mixte entre un adénome tubuleux/villeux et un adénome festonné est également un sous-type de polype festonné.
Grade
    
- Dysplasie de bas grade
 - Dysplasie de haut grade
 
Transformation - Cancérisation
    
Au cours de la progression tumorale, certains adénomes peuvent se transformer (se cancériser) avec apparition dans un adénome siège d'une dysplasie de haut grade, d'un foyer d'adénocarcinome colorectal invasif envahissant la muqueuse (« polype malin »). Un foyer de cancérisation est observé dans 5 à 10 % des polypectomies coliques par voie endoscopique. Il peut s'agir d'un envahissement de la muqueuse (TNM pTis) ou de la sous-muqueuse (pT1).
Le risque de métastase ganglionnaire est dépendant de la morphologie du polype. Pour les adénomes pédiculés transformés, le risque est de 0 % pour les formes intra-muqueuses (pTis) et de 10 - 15 % pour les formes envahissant la sous-muqueuse (pT1). Il est de respectivement 0 % et 27 % pour les adénomes plans transformés .
Adénome pédiculé cancérisé
    
En fonction de l'invasion de l'axe et du pied du polype, ils sont classées selon Haggitt
- 0 : intramuqueux (pTis)
 - 1 : superficiel - 1/3 supérieur de l'axe (équivalent du pTis m)
 - 2 : partie moyenne et inférieure du pédicule du polype
 - 3 : partie inférieure du pédicule, sous le collet
 - 4 : extension à la sous-muqueuse colique
 
Adénome sessile cancérisé
    
En fonction de la profondeur de l'envahissement, on distingue:
- SM1 (si l'adénocarcinome mesure moins de 1 mm)
 - SM2 (si l'adénocarcinome mesure plus de 1 mm)
 - Taille non évaluable
 
Différenciation
    
L'adénocarcinome colorectal sur polype adénomateux peut-être:
- un adénocarcinome Lieberkuhnien bien différencié
 - un adénocarcinome Lieberkuhnien moyennement différencié
 - un adénocarcinome Lieberkuhnien peu différencié
 - un adénocarcinome mucineux(si plus de 50 % de zone colloïde)
 
Traitement
    
Le traitement est endoscopique: rectosigmoïdoscopie ou coloscopie.
- Polypectomie (Ablation à la pince biopsiqueen plusieurs fragments biopsiques)
 - Polypectomie (à l'anse diathermique)
 - Mucosectomie (en injectant du sérum physiologique dans la sous-muqueuse, sous la musculaire muqueuse)
 - Résection parcellaire (Piece-meal resection)
 - Dissection sous-muqueuse
 - Exérèse chirurgicale locale
 
Voir aussi
    
    Articles connexes
    
- Polype colorectal
 - Cancer du côlon
 - Adénome
 - Polypose colorectale
 - rectosigmoïdoscopie
 
Liens externes
    
- Portail de la médecine