Tumeur tératoïde rhabdoïde atypique
La tumeur tératoïde rhabdoïde atypique (abrégé ATRT, selon l'anglais atypical teratoid rhabdoid tumor) est un type de tumeur rare, surtout diagnostiquée chez les enfants[1]. Elle se situe le plus souvent dans le cerveau, mais peut se trouver à n'importe quel autre endroit dans le système nerveux central, moelle épinière incluse[réf. souhaitée].

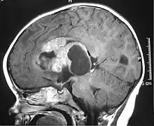
IRM d'une tumeur tératoïde rhabdoïde atypique.
Aux États-Unis, trois enfants sur un million en sont atteints, ce qui fait 30 cas par an[réf. souhaitée]. Les ATRTs représentent moins de 5 % des cancers pédiatriques du système nerveux central[1].
Références
    
- (en) Cet article est partiellement ou en totalité issu de l’article de Wikipédia en anglais intitulé « Atypical teratoid rhabdoid tumor » (voir la liste des auteurs).
 
- (en) Tekautz TM, Fuller CE, Blaney S, et al., « Atypical teratoid/rhabdoid tumors (ATRT): improved survival in children 3 years of age and older with radiation therapy and high-dose alkylator-based chemotherapy », J. Clin. Oncol., vol. 23, no 7, , p. 1491–9 (PMID 15735125, DOI 10.1200/JCO.2005.05.187, lire en ligne)
 
- Portail de la médecine
 - Portail des neurosciences
 - Portail de l'enfance
 
    Cet article est issu de Wikipedia. Le texte est sous licence Creative Commons – Attribution – Partage à l’identique. Des conditions supplémentaires peuvent s’appliquer aux fichiers multimédias.